关于矫牙,一直是口腔专业的热门话题之一,在日常工作中经常有患者本人或带孩子咨询矫牙,许多家长早早开始焦虑孩子的“下巴后缩”、“嘴突”、或是“腺样体面容”,“地包天”等等。也能在自媒体平台上看到许多成年患者求矫牙攻略,甚至是发帖或在评论区给网友“科普”矫牙,需要满足哪些条件才能拆牙套等。随着人们对面容美观的要求日益增高,以及自媒体平台的大肆宣传,使得人们对矫牙越来越焦虑,总是担心如果自己不矫牙,小孩不早点干预,会变得越来越丑。但其实,你真的需要矫牙吗?
牙齿及颌骨影响面下三分之一的侧貌及正面美观,颌骨由上颌骨、下颌骨组成,上下两块颌骨的发育程度不一致、牙齿的过于唇倾或舌倾,牙弓的宽度不协调,牙量骨量的不协调,是人们需要正畸的原因。
1.乳牙期正畸
家长需关注患儿是否是“地包天”,以及是否有一些口腔不良习惯或是否受外伤,如咬唇、吮手指、不良吐舌习惯、异常吞咽习惯、睡觉张口呼吸、偏侧咀嚼、咬物、下巴及关节或牙磕碰等。地包天的矫治需尽早进行,若患儿三岁后,能配合医生的情况下,可进行地包天的早期矫治。乳牙列的地包天矫治有利于恒牙列的发育,但由于地包天家族遗传性较强,因此,地包天较易复发,家族遗传性的地包天在乳牙列纠正后,恒牙期可能再次出现地包天,家长需在不同阶段注意患儿的牙齿情况。口腔不良习惯也需尽早干预,咬唇、睡觉张口呼吸可能导致下颌发育不足,异常吞咽、不良吐舌习惯可能导致开颌、长期偏侧咀嚼将导致颜面部颌骨结构的不对称。下巴及关节受外伤磕碰,可能影响颌骨发育,导致偏颌、开颌、下巴严重发育不足等。

2.换牙期正畸
由于乳牙与恒牙的大小不一致,换牙期间,牙齿可能出现缝隙或者长歪,牙齿轻微不整齐时,家长不用太担心,在牙弓宽度足够,牙齿没有先天缺失的情况下,牙齿能够自行萌出,且随着发育,牙齿间隙、牙齿长歪能够在一定程度上自行调整。但有些患儿可能先天缺牙,或不良习惯未纠正,导致上下牙弓宽度不匹配,进而牙弓狭窄,牙齿排列、咬合出现问题。当患儿恒牙迟迟没有长出,或牙齿排列过于异常时,牙齿前突严重,牙弓异常狭窄,脸歪明显时可前往医院咨询。
颌骨发育不足的最佳矫治时间是生长高峰期前1-2年,若发现孩子下巴发育不足,或地包天,可在9-10岁时就诊,看是否适合进行早期矫治,适时的早期矫治可在一定程度上改善骨性发育问题,减少成年后做正颌手术的几率,但骨性问题的矫治往往需要双期矫治,即早期矫治结束后需配合固定正畸治疗。而较严重的骨性问题,可能需要正颌手术。


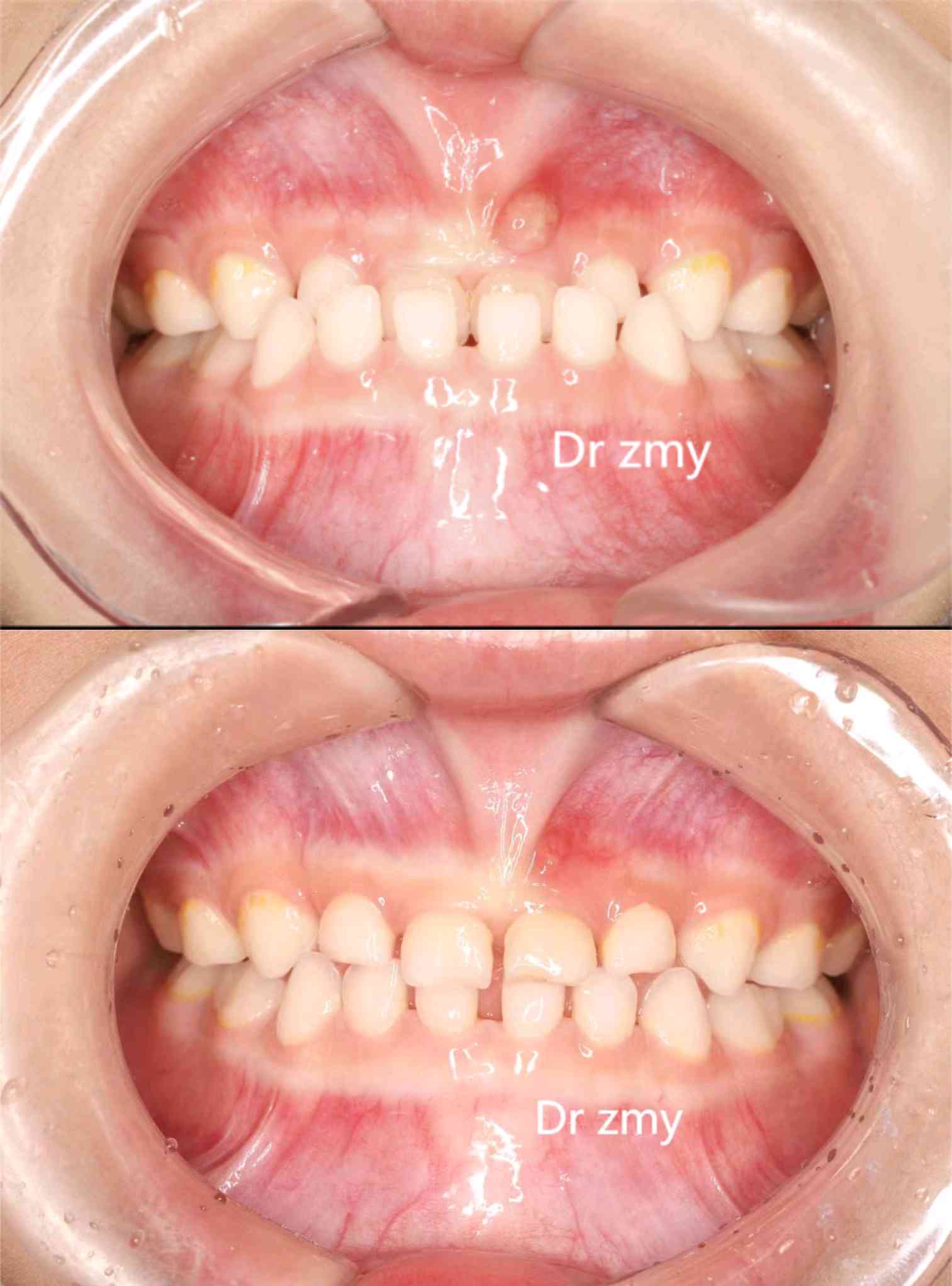
替牙期“下颌后缩”第一期早期矫治前后对比 :前牙覆盖改善,可进入第二期固定正畸治疗
3.成年人正畸
正畸的最佳矫治年龄是青少年时期,成年人生长潜力有限,组织反应慢,且成年人口腔健康状况往往较为复杂,因此,成年人矫治效果较青少年更差,且并发症多,如牙套脸、黑三角、牙根吸收、颞下颌关节紊乱等。成年人正畸治疗的目标为:个体化的最佳关系,前牙区的美观协调,保障牙周健康,维护颞下颌关节功能。
正确的,适时的正畸治疗能够具有较好的效果,但正畸并不是万能的,正畸能做到的首先是把牙齿排列整齐,恢复正常咬合功能,有些患者能通过正畸矫治达到脸型改变,甚至堪比“换头”,但并非每个人做完正畸都能达到这种效果。还有许多是单纯正畸无法解决的问题,如嘴歪、大小脸等。这些是由于骨骼不对称、肌肉发达情况不同等问题导致的,若想达到完美的效果,需结合正颌手术才能达到。
