成人地包天案例分享

严丽谊医生 发布于2024-06-08 15:19 阅读量279

本文由严丽谊原创

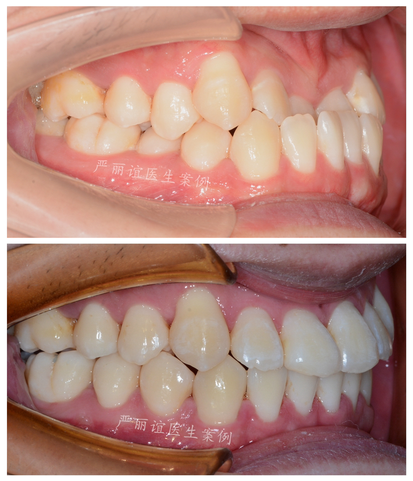
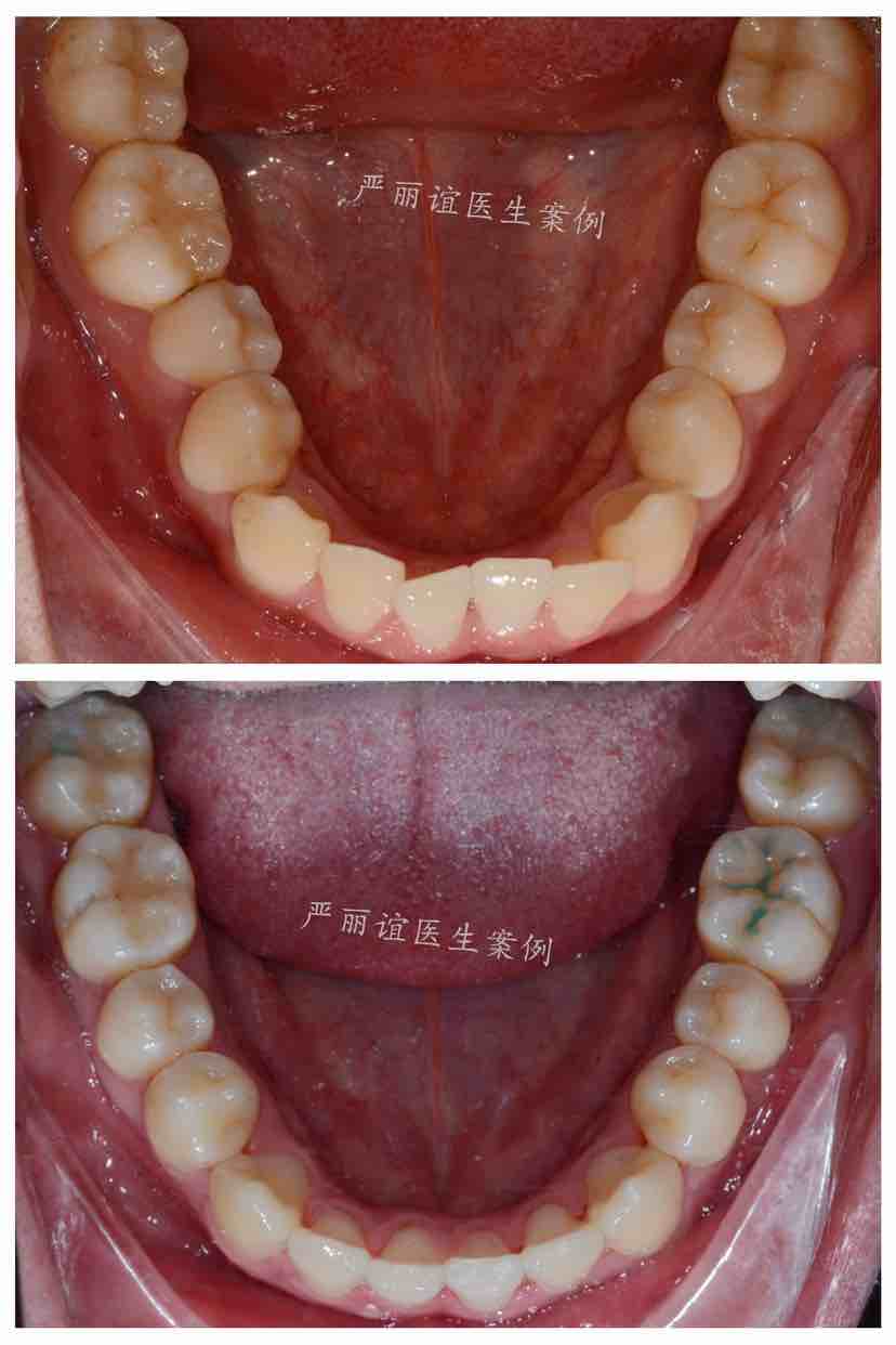
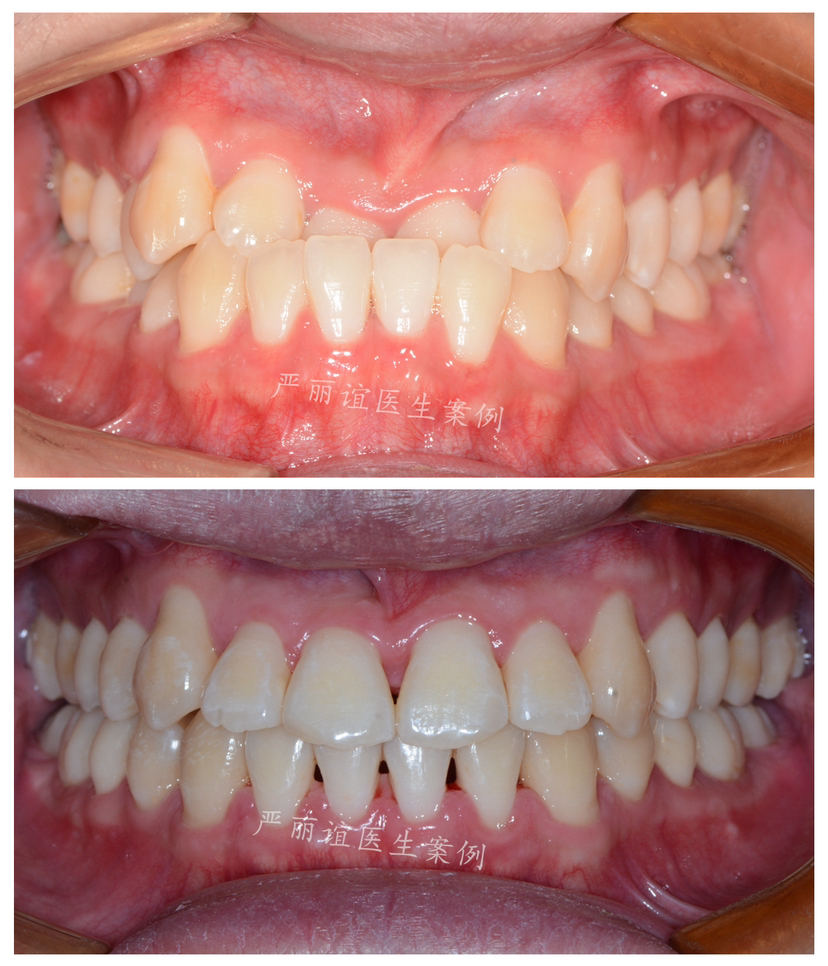
患者:成年男性

检查:面相,口内像,X光片(全景片,侧位片)口扫。

结果:前牙反合(下巴能后退),骨性III类下颌发育过度。

矫正方案:排齐整平上下颌牙齿,内收下颌前牙解除前牙反合问题(种植钉辅助),调整前牙关系到正常的覆合覆盖,后牙到中性咬合关系。

矫正时间:2年。


图片发自160医护App



图片发自160医护App



图片发自160医护App



图片发自160医护App



图片发自160医护App



图片发自160医护App



图片发自160医护App


相关疾病: