深覆合深覆盖案例分享

严丽谊医生 发布于2022-06-01 14:40 阅读量1061

本文由严丽谊原创

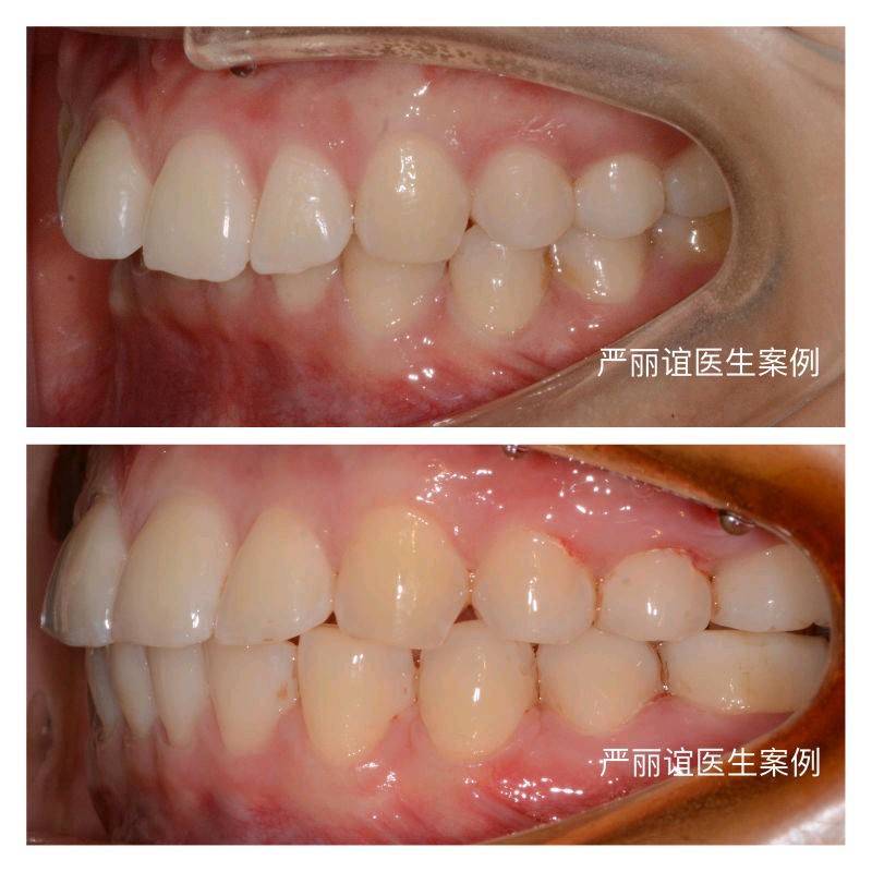
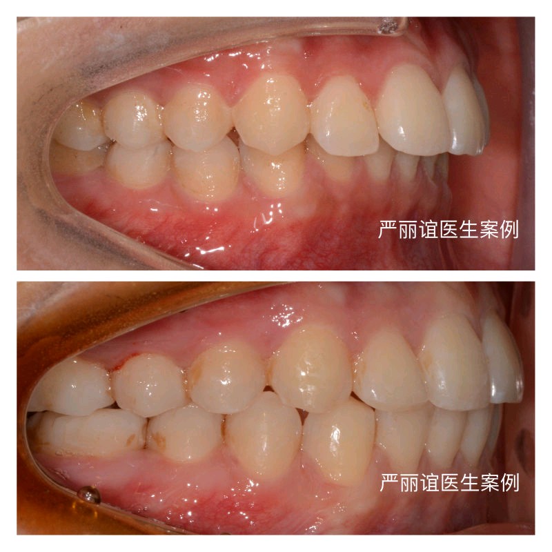
主诉:嘴凸,门牙有牙缝,前牙咬合深,要求矫正。

检查:面相,口内像,X光片(全景片,侧位片),口扫模拟测量。

结果:双侧远中咬合关系,前牙深覆合深覆盖

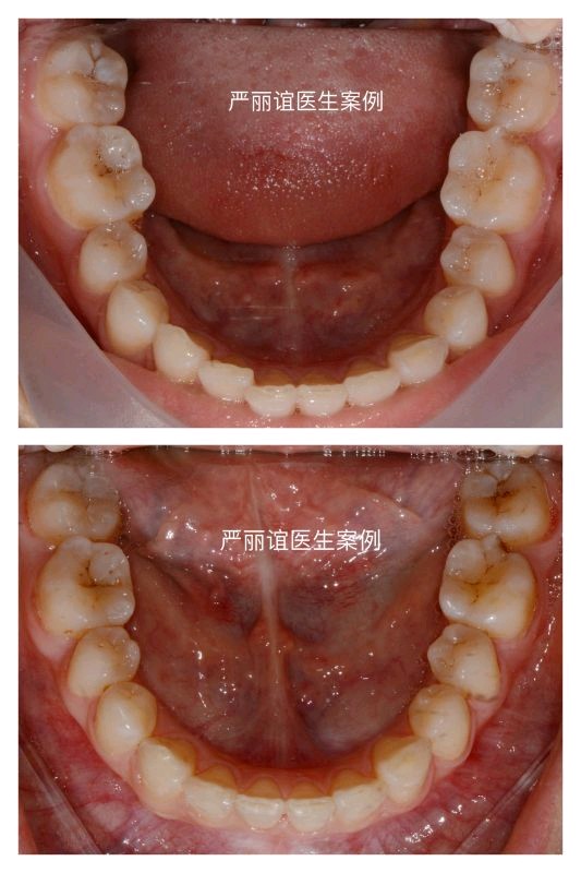
矫正方案:拔除上颌两颗智齿,排齐整平上下颌牙齿,内收上颌前牙(种植钉辅助)改善侧貌,压低下颌前牙解除前牙深覆合,调整前牙到正常的覆合覆盖,后牙到中性咬合关系。


图片发自160App


图片发自160App


图片发自160App


图片发自160App


图片发自160App


图片发自160App


矫正时间:2年。

相关疾病: