上颌牙缝案例

严丽谊医生 发布于2021-11-24 10:55 阅读量941

本文由严丽谊原创

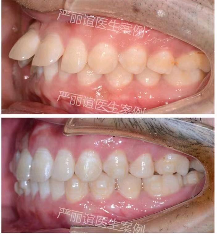
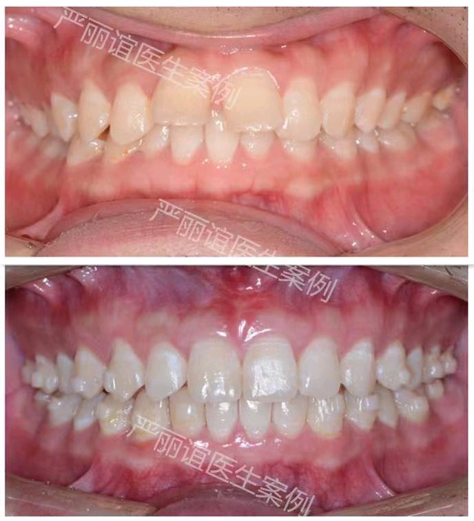
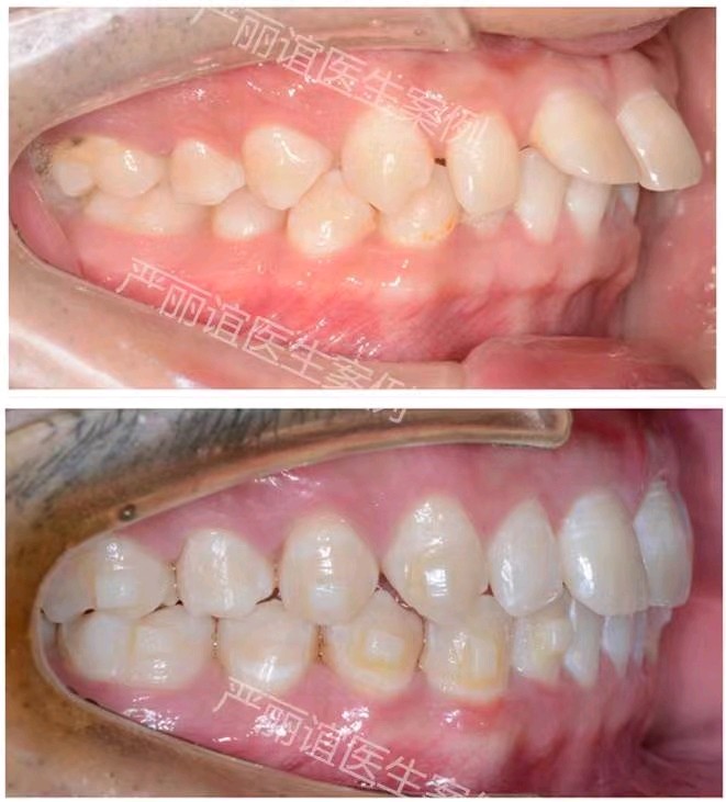
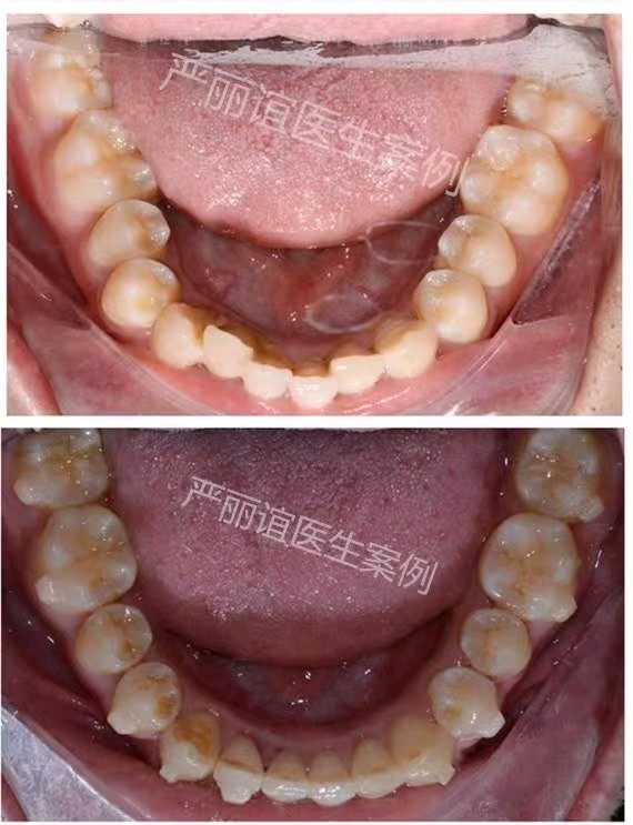
患者:成年男性

主诉:微笑时门牙有缝影响美观,要求矫正。

检查:面相,口内像,X光片,口扫。

结果:牙性前突    深覆合II    深覆盖II

矫正方案:不拔牙矫正,下颌前牙少量片切,排齐整平上下颌牙齿,压低下颌前牙,内收上颌前牙,关闭上颌牙缝。

矫正时间:1.5年。


图片发自160App


图片发自160App

图片发自160App




图片发自160App




图片发自160App




图片发自160App
相关疾病: