青少年龅牙案例

严丽谊医生 发布于2021-11-24 10:45 阅读量970

本文由严丽谊原创

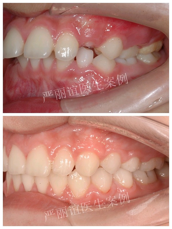
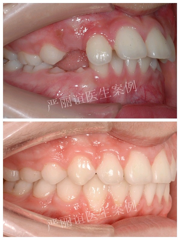
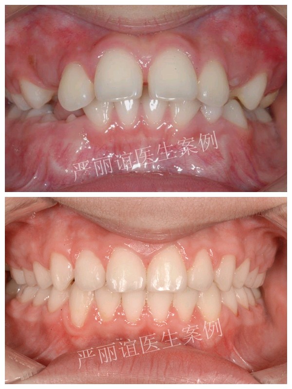
患者:换牙期小朋友

主诉:上牙较凸,影响美观。

检查:面相,口内像,X光片,口扫。

结果:牙性前突+骨性下颌后缩

矫正方案:排齐整平上下颌牙列,扩大上颌牙弓,内收上牙,导下颌向前,改善牙齿和骨骼问题。

矫正时间:2.5年。


图片发自160App




图片发自160App




图片发自160App




图片发自160App
相关疾病: