骨性龅牙案例分享

严丽谊医生 发布于2021-11-24 10:38 阅读量873

本文由严丽谊原创

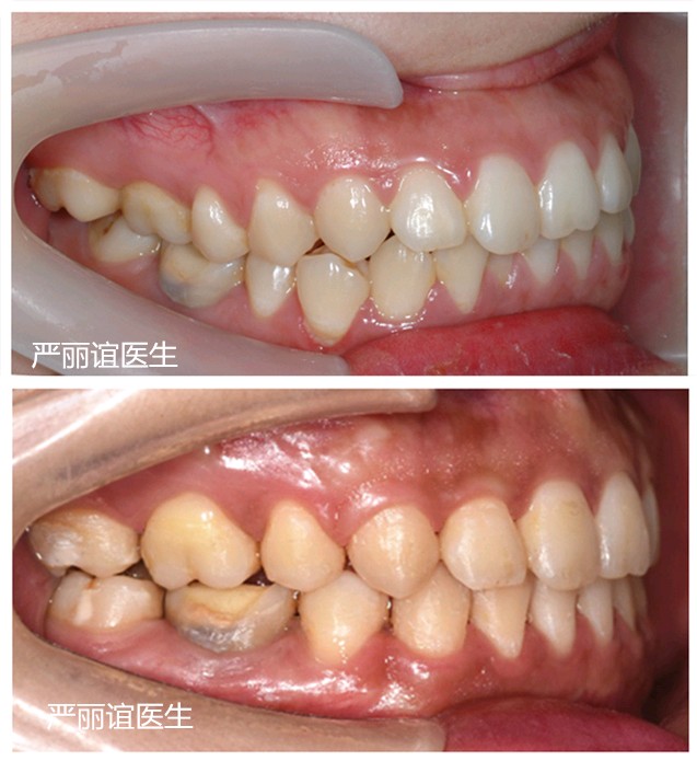
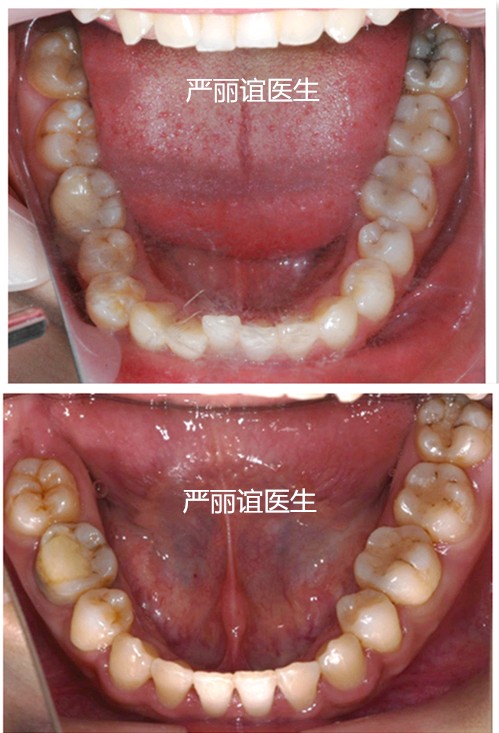
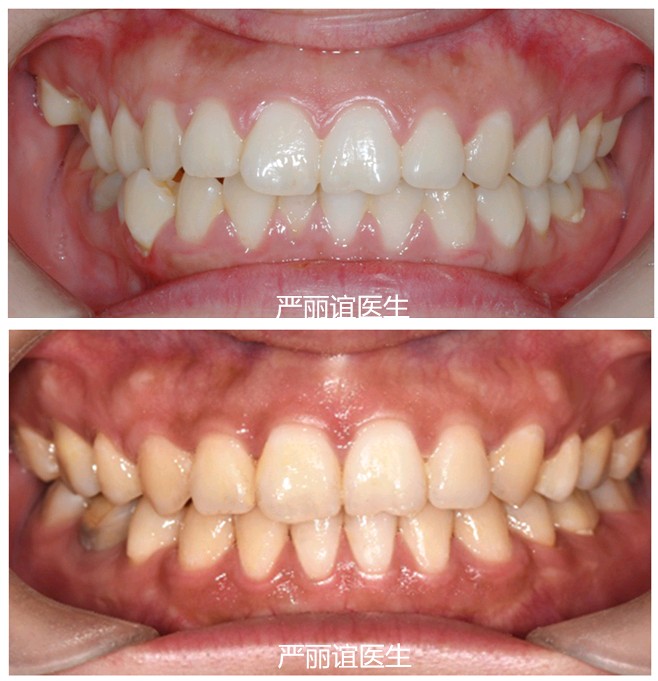
患者:成年女性

主诉:嘴凸,要求矫正。

检查:面相,口内像,X光片,口扫。

结果:骨性龅牙(下颌后缩)

矫正方案:拔牙矫正,拔除14 24 34 44,排齐整平上下颌牙齿,内收上下颌前牙(上颌种植钉辅助),改善侧貌

矫正时间:2年。


图片发自160App




图片发自160App




图片发自160App




图片发自160App
相关疾病: