开合案例分享

严丽谊医生 发布于2021-11-21 11:41 阅读量819

本文由严丽谊原创

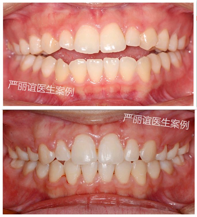
患者:成年女性

主诉:上下门牙挨不到,咬不断面条。

检查:面相,口内像,X光片,口扫。

结果:骨性+牙性开合

矫正方案:拔牙矫正,拔除14 24 34 44,排齐整平上下颌牙齿,内收上下颌前牙,压低后牙,解除前牙开合,改善侧貌。

矫正时间:2年。




图片发自160App




图片发自160App
相关疾病: