重度牙列拥挤案例分享

严丽谊医生 发布于2021-11-21 11:30 阅读量808

本文由严丽谊原创

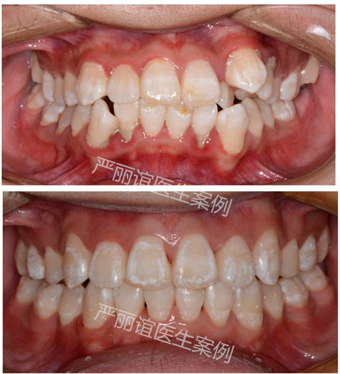
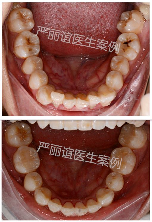
患者:成年男性

主诉:牙齿不齐,影响美观,要求矫正。

检查:面相,口内像,X光片,口扫。

结果:上下颌牙列重度拥挤

矫正方案:拔牙矫正,拔除14 24 34 44,排齐整平上下颌牙齿,内收上下颌前牙,调整前牙到正常的覆合覆盖,后牙到中性咬合关系。

矫正时间:1.5年。




图片发自160App




图片发自160App




图片发自160App
相关疾病: