牙性龅牙案例分享

严丽谊医生 发布于2021-05-30 11:48 阅读量6876

本文由严丽谊原创

患者:成年女性

主诉:微笑时侧面牙齿前突影响美观,要求矫正。

检查:面相,口内像,X光片,口扫。

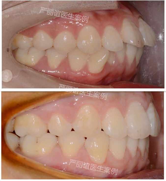
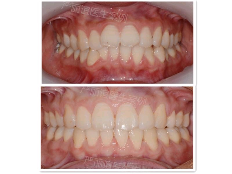
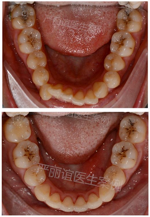
结果:牙性前突(侧貌微突,笑起来牙齿倾斜外突)

矫正方案:拔牙矫正,拔除14 24 34 44,排齐整平上下颌牙齿,内收上下颌前牙,改善前牙倾斜度,改善侧貌。

矫正时间:1.5年。




图片发自160医生App




图片发自160医生App




图片发自160医生App




图片发自160医生App




图片发自160医生App
相关疾病: