青少年不拔牙矫正案例分享

严丽谊医生 发布于2021-05-16 16:09 阅读量6841

本文由严丽谊原创

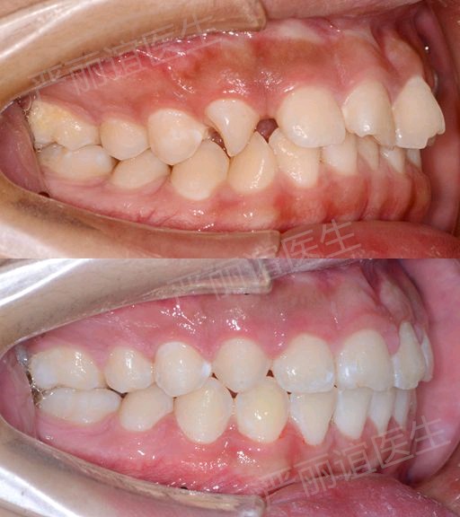
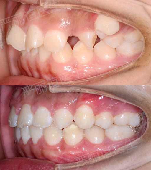
患者为11岁男孩,

主诉牙齿不整齐,

面型检查:直面型

口内检查:上颌牙齿扭转,个别牙齿颊侧异位,下颌轻度拥挤不齐

X光片检查:上下颌骨发育协调,没有骨性问题。上下颌牙齿唇倾度基本正常,牙根发育及牙槽骨基本处于正常情况。

矫正方案:不拔牙矫正。排齐整平上下颌牙列,将颊倾的四号牙纳入牙弓,调整前牙到正常的覆合覆盖,后牙达到中性咬合关系。

矫正时间:1.5年。



图片发自160医生App




图片发自160医生App




图片发自160医生App
相关疾病: