


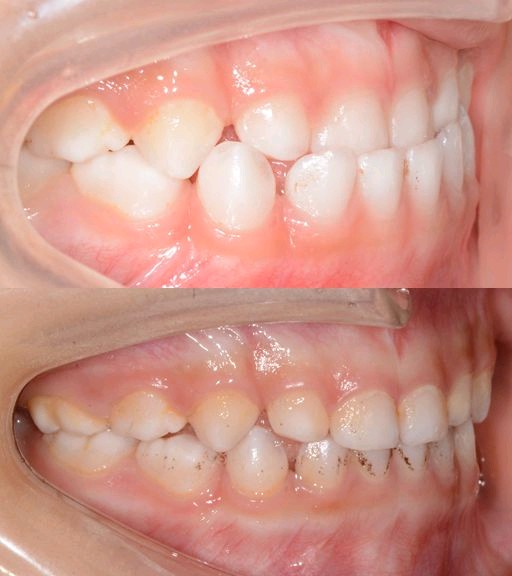
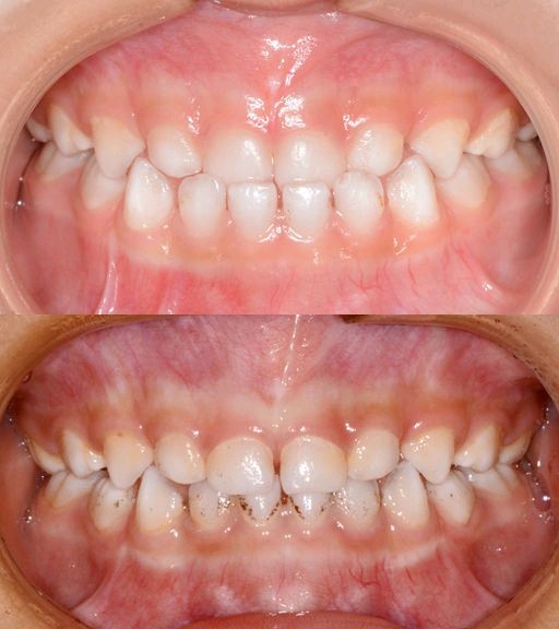
地包天"又称前牙反合,是临床上常见的畸形之一。一般而言,矫治应越早越好。地包天患者,会严重地影响口腔、颜面、颌骨的生长发育,会使患儿面中1/3发育受限,面下l/3发育过度,这样的儿童,从侧面看,面形呈月牙状脸,影响美观和功能。
乳牙期不矫正,就会丧失矫治时机,替牙之后一般是继续形成垣牙的反合,且反合面形随着年龄的增长,使畸形愈加严重。如在生长发育期不纠正,长至成人后.虽经努力,可以纠正牙齿的反合关系,但严重的骨性畸形必须经手术才能改正。因此从预防的角度讲,反合应该早发现早治疗。
地包天矫正的时期:
地包天矫正的时期可以归纳为以下三个时期。首先是乳牙期,婴儿3~6岁时,这个阶段矫治目的主要是促进儿童颌面部正反颌、下颌前突以及后牙反颌等异常发肓,改变患儿不良的口腔习惯。
第二阶段就是替牙期了,也就是婴儿6~12岁时。这个阶段的婴儿会出现局部牙列不整齐,这个时候其实不必过于心急矫正。反倒是前牙反颌以及下颌功能性后缩,或者是上下颌间异常更需要及时矫正。
第三个阶段就是恒牙期了,孩子在12岁左右,就会开始出现恒牙列了,这个时候一旦牙齿,那么牙列不齐等异常都不会再自动消失了,只能进行口腔正畸专科进行矫正治疗了。