远移磨牙排齐牙齿案例分享

严丽谊医生 发布于2021-05-06 17:56 阅读量7098

本文由严丽谊原创


图片发自160医生App




图片发自160医生App




图片发自160医生App

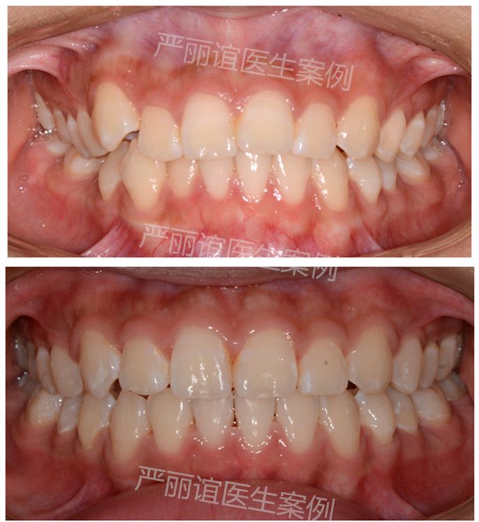
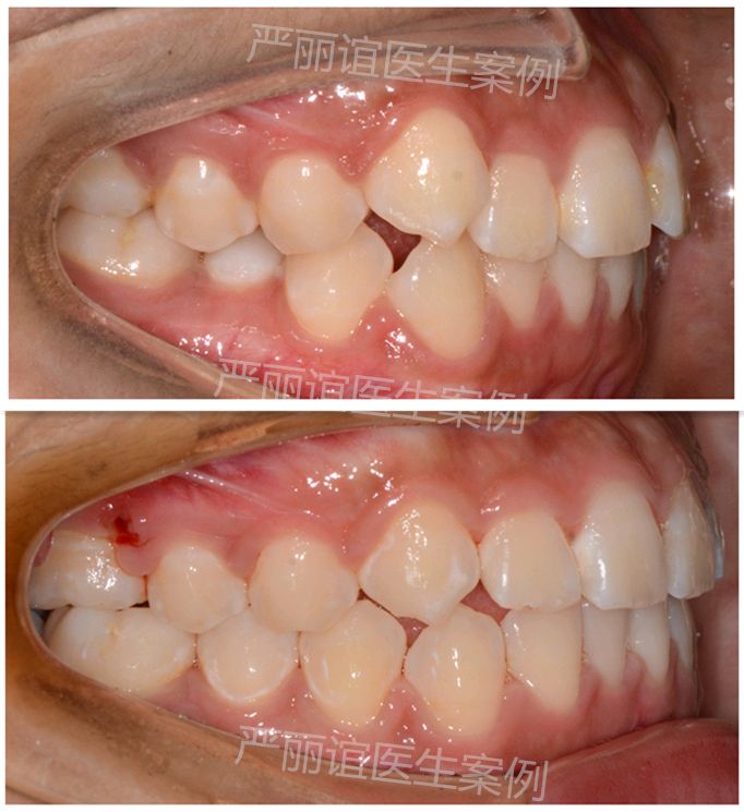
矫正一年多,拆牙套啦

小朋友右边上下牙齿都存在拥挤不齐,并且咬合不好的问题,因此换牙后一直都是左侧咀嚼食物,存在大小脸的问题。

通过种植钉辅助推磨牙远移,使上下颌牙齿完全排齐,咬合也更好了。最最重要的是,没有拔牙哦。现在小朋友两边的咬合都很好,偏侧咀嚼食物的习惯也完全改掉了。

相关疾病: