推磨牙远移案例分享

严丽谊医生 发布于2021-04-26 16:34 阅读量6877

本文由严丽谊原创

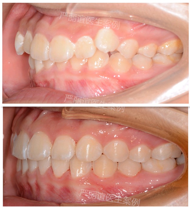
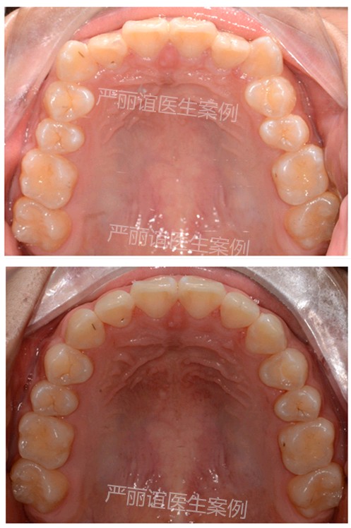
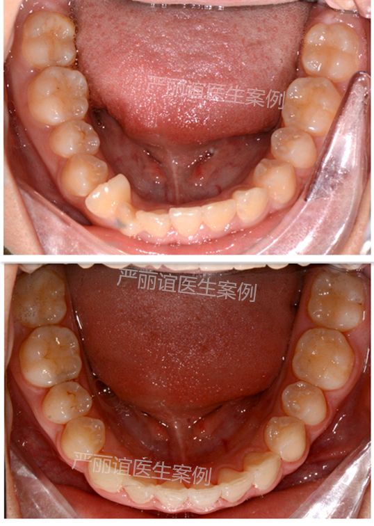
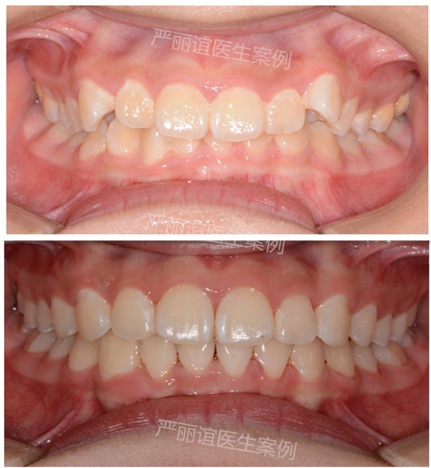
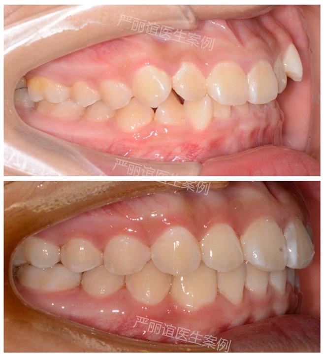
        这个患者上颌两个小虎牙外凸,下颌一个畸形过大牙,自觉很影响颜值,想通过矫正改善。

        检查发现她上颌最后还有一定的骨量,加上两个小虎牙外凸不是特别严重,需要2-3mm就可以排齐。下颌的畸形过大牙外面的保护层比其他牙齿厚,沟通后选择了上颌推磨牙远移,下颌片切的矫治方案。

        一年半时间,矫正结束前后对比图如下。




图片发自160医生App




图片发自160医生App




图片发自160医生App




图片发自160医生App




图片发自160医生App




图片发自160医生App





相关疾病: