肺癌奶奶的诊疗故事

杨泽宇医生 发布于2024-08-08 17:16 阅读量342

本文由杨泽宇原创

  数月前曾接诊一位81岁的肺癌奶奶,诊治48天最终还是不幸离世,回顾这四十几天的治疗,有收获有遗憾,对生命和医道也有了些新的感悟。‍‍‍‍

      患者81岁老年女性,因“气喘、胸闷、咳嗽咳痰3周,加重3天”于2023年07月31日入住肺病科,既往食道恶性肿瘤术后病史、高血压病史;症见精神疲倦,喘息气促,夜间、活动后加重,胸闷,乏力,咳嗽咳痰,纳差;胸部CT提示多发转移。





    入住肺病科后08-03完善胸腔镜+胸膜活检术,留置引流管每日引流大量浑浊红色或黄色胸腔积液,免疫组化结果提示肺腺癌,考虑肺部恶性肿瘤、恶性胸腔积液,建议进一步评估是否存在多发转移占位,完善基因检测评估是否存在靶向/免疫治疗机会,患者家属暂拒,考虑姑息治疗。






08-10转入我科,症见神疲,喘息气促,夜间、活动后加重,胸闷乏力,两侧胁肋部闷痛,咳嗽咳痰,基本同前。西医治疗以止咳化痰、营养支持、纠正电解质、氧疗为主,留置胸腔引流管。中医方面,舌暗红、舌下络脉粗张,苔中后段黄腻,脉关聚数。中药予小柴胡汤合竹叶石膏汤为底,加减攻癌散结之品,针刺以调气机。






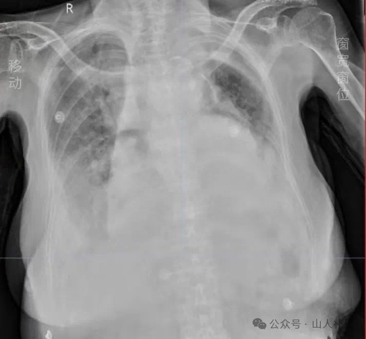
经过半个月的治疗,患者精神较前好转,胸闷稍好转,无明显两侧胁肋部闷痛及咳嗽咳痰,无明显胸腔引流液予拔出引流管,舌脉、纳眠、二便均较前好转,但仍喘息气促不适,告知患者应徐徐图之,但其反复要求请指定的退休老主任医师会诊治疗,无奈配合。08-26周六老中医会诊后方中给予麻黄汤合二陈汤合三子养亲汤加减,周日患者第一次服药后大汗淋漓、浸湿床单,下午再次服药再次大汗出,浸湿衣物。周一查房上述症状较前明显加重,11:30突发气喘气促,端坐呼吸,血氧降低至70%,血压210/150,心率150+,急请ICU、肺病科、心血管科会诊抢救治疗,指导扩冠、强心、抗炎平喘、降压、利尿、抗感染、胸腔穿刺引流一系列治疗后,生命体征平稳,抢救成功。






关于这次抢救,有的医师认为是急性左心衰发作、有的医师认为是胸腔积液压迫、有的考虑是肺部感染加重所致,而我始终认为,罪在麻黄、芥子,患者10余年前即有食道恶性肿瘤病史,手术切除了部分食道及胃,长期营养状态差,正气极虚,麻黄芥子解表后大汗出,肺气难存。这次抢救之后虽然患者没有发热,但考虑炎症指标的升高,遵从指示用了抗感染药物,患者出现了上吐下泻,甚至有完谷不化之象,脉也见结象。中药只能保胃气、救肾气,见效一般,难以调治,09-09复查胸片较前再次加重。






我开始尝试用道医治疗,用神炁去疏通气脉、法水滋养脏腑。每每施治时患者自感双下肺胀缩疏通感明显,左肺为甚;双侧肺经循行部位有白光环绕;口中甘甜。






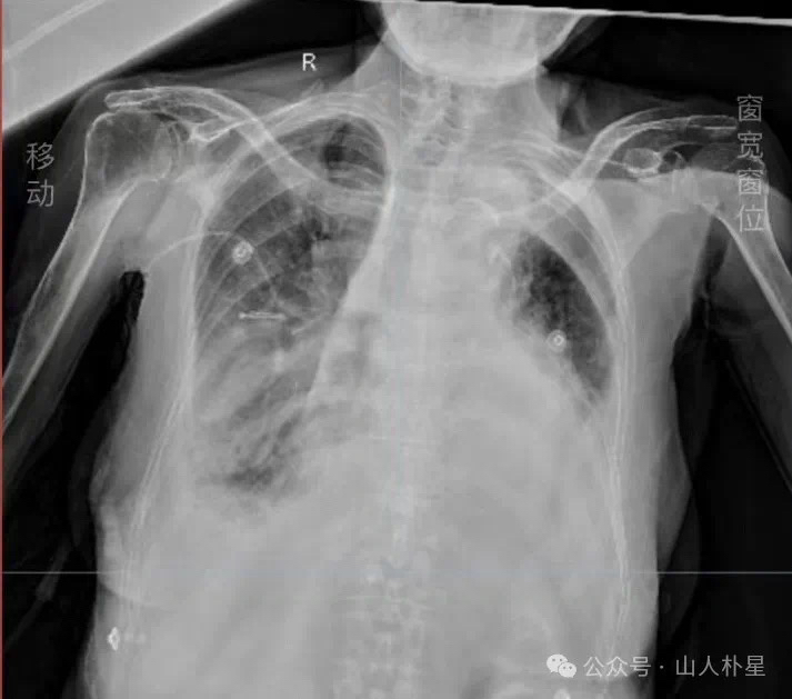
一周后虽仍是端坐呼吸,余症状均较前缓解,精神头不错,甚至跟家人聊了一下午天都不觉得累,说自己状态好!09-18复查胸片竟然还看到肺实质的改善。惊喜的跟大家分享这份喜悦,却没认识到法不可言,病情再次变化。






营养科建议口服肠内营养剂补充能量,19号患者服用后因甘腻阻碍脾胃,痰液明显增多,喘促加重,意识不清,肺性脑病急用针刺促醒。21号再次出现喘促,血氧降低,最低至42%,瞳孔反射减弱,双眼无神,有上级考虑心衰指示利尿,不予执行,因为患者四肢冰凉、冷汗淋漓脉虚数是为亡阳,急泵入参附注射液回阳救逆,抢救成功。






中药予破格救心汤加减浓煎,方中除附子外均为原量,浓煎50ml,这里要说一下很难想象60g干姜的煎剂仅有一点点姜味,又能有多少药性呢,医院环境下医药分家是每个中医的悲哀。  





      通过参附注射液及破格救心汤的治疗,患者肤温变暖,眼睛变得有神,但还总是感觉他的魂魄正在抽离出身体,每每用神意把魂魄压回黄庭之中,也不能阻止其外散的趋势。终于27号下午看到了生命的流逝,我观察到在心跳已经停止,呼吸非常微弱的终末,突然出了三大口气,三魂正式消散了,人才完全平息。       

      回顾整个诊疗,我一直在想当时没有发散如何;早点用道医的方法并且缄口不言会如何;代煎药物效果足效如何;可惜生命没有那么多的如果,只有不断增进智慧,损去杂念,惟善为宝,自治为先。惟事事内观,时时返照,过则改之,善则加勉。

相关疾病: