健康160首页
|
咨询
|
挂号
|
疾病
|
资讯
|
药房
|
登录
注册
快速取消订单
您好,
用户中心
私人医生
消息
退出
下载APP
关注微信
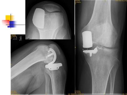
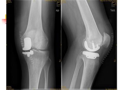
膝关节单髁置换
刘安庆医生
发布于2025-09-22 10:01
阅读量15
南方科技大学医院
本文由刘安庆原创
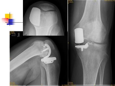
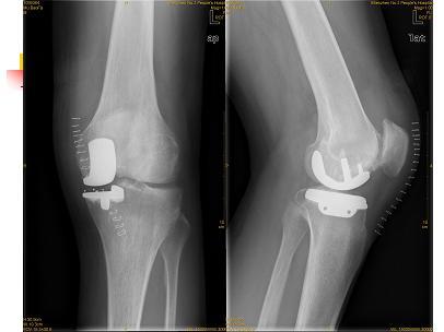
男性,25岁,行走疼痛2年。
术中见单髁破坏严重,病理为:剥脱性骨软骨炎
相关疾病:
膝关节软骨损伤
骨炎