
刘安庆 尚宏喜 丁强 岑景文 高明宏
深圳市第二人民医院 骨关节科
【摘要】目的 探讨严重内翻畸形的股骨近端骨纤维结构不良(fibrous dysplasia,FD)的有效治疗方法。方法 2001年1月-2011年12月,收治26例股骨近端严重髋内翻伴肢体短缩畸形的FD患者。颈干角35~100°,平均78°,股骨相对长度较对侧短缩2.0~9.5cm,平均4.2 cm。26例均行股骨近端畸形顶点附近外翻截骨,股骨头、颈及截骨断端打压式植骨,嵌插复位DHS或DCS钢板固定。结果 术后23例获得随访,随访时间6个月~10.5年,平均4.8年。22例内固定可靠,1 例DHS内固定物股骨头螺纹钉术后1年切割出股骨头2mm,疼痛,经取出内固定物后治愈。股骨力线均基本矫正,截骨面达骨性愈合,髋内翻畸形的颈干角矫正为95~130°,平均119°,股骨相对长度矫正后较术前延长2.5 ~8.6cm,平均3.7cm,术前肢体短缩基本纠正。术后17例患者步态正常;2例扶单拐行走,5例不扶拐轻度跛行。术后19例疼痛消失,4例疼痛明显减轻。所有患者无感染、再骨折和畸形进展。结论 股骨近端FD严重髋内翻伴肢体短缩畸形行股骨近端畸形顶点附近外翻截骨,股骨头、颈及截骨断端打压式植骨,嵌插复位DHS或DCS钢板固定是一个简单有效的治疗方法。同时,股骨近端加长的DHS或DCS钢板对FD患者的骨质结构有明显的加强作用,特别是维持股骨近端及颈干角的解剖力线能起到很大的作用,以避免畸形复发。
【关键词】股骨近端 骨纤维结构不良 严重髋内翻畸形 外翻截骨 DHS钢板内固定
骨纤维结构不良(fibrous dysplasia, FD)又称骨纤维异常增殖症,是一组以骨纤维变性为特征的类肿瘤疾患,约占类肿瘤疾病的7%[1]。FD一直被认为是多发于儿童的相对常见的良性疾病,以正常骨髓组织被增生的纤维组织替代为组织病理学特征,其中包括形状不规则的化生的编织骨[1]。FD临床表现复杂多样,可表现为单发性FD、多发性PD和McCune-Albright综合征(MAS)。好发于股骨近端,以严重内翻畸形、肢体短缩、跛行、疼痛和病理性骨折为特点,严重影响患肢功能,甚至致残。2001年1月-2011年12月,我们手术治疗26例股骨近端FD严重内翻畸形伴肢体短缩患者并获随访,取得较好疗效。报告如下。
1临床资料
1.1一般资料
本组男9例,女17例;年龄8~58岁,平均28岁。单侧9例,双17例。单骨型6例,多骨型20例。均伴有股骨近端FD伴严重髋内翻畸形,颈干角为35°~100°,平均78°;股骨相对长度较对侧短缩2.0~9.5 cm,平均4.2 cm。患者均有髋部疼痛,其中13例扶拐行走,3例病理性骨折不能行走,7例不扶拐跛行,3例步态基本正常。其中12例曾有病理性骨折史,8例曾于外院行1-4次手术。本组患者病程4个月~36年,平均10.3年。
1.2手术方法
患者仰卧位,患侧稍垫高,采用股骨近端外侧直切口入路,显露股骨近端,保护周围软组织及骨膜,先在股骨大转子处对准股骨颈中心打入2.5mm直径导针,用C型臂或G型臂X光机检查正、侧位是否在股骨颈和股骨头的中心,测量长度后旋入动力髋(DHS)或动力髁(DCS)之螺纹钉,根据术前测量设计好的方案打入DHS或DCS钢板,此时,再在转子下区股骨畸形顶点处附近按术前设计模板截骨,由于重度畸形患者常伴有股骨颈前倾角改变及股骨轴线旋转畸形,截骨时应同时矫正,截骨后复位固定前,先用刮匙或球形磨钻尽量去除股骨颈及截骨处髓腔内病变组织,送病理活检,采用打压式自体髂骨加同种异体骨植骨(山西骨库提供),充填股骨头、颈及截骨断端,植骨完成后牵引状态下试行复位,畸形严重者复位对合欠佳时,可用尖刀点状松解臀中肌及周围挛缩组织;若股骨破坏较严重,股骨距已破坏,骨质条件较差,截骨时应采用内移外翻截骨,将截骨远端修整后擦入近端,复位后固定钢板,因股骨病变广泛,骨质菲薄,因此尽可能选用加长的DHS或DCS钢板,但螺钉不要打的太满,以达到固定范围即广泛又牢靠,易于愈合。
1.3 术后处理
术后常规使用抗生素 1 ~ 3 d,术后 24 ~ 36 h 拔除引流管后即开始股四头肌等长收缩锻炼及髋膝关节被动活动。对于术前内翻畸形及肢体短缩严重术后内收受限及外展畸形者可采用健侧卧位,两腿间加垫逐渐减少的方法,以伸张挛缩的臀中肌及外侧挛缩组织。待术后2周植骨区稳定后可扶助行器患肢部分负重行走;术后 1、3、6、12个月定期随访 X 线片。
2 结果
术中病变组织经病理检查均确诊为 FD。26例中23例获得随访,随访时间 6 个月~ 10.5 年,平均 4.8 年。术后 X线片示:23例股骨近端FD严重髋内翻伴肢体短缩畸形患者经行股骨近端畸形顶点附近外翻截骨,股骨头、颈及截骨断端打压式植骨,嵌插复位DHS或DCS钢板固定患者中22例内固定可靠,1 例患者 DHS内固定物股骨头螺纹钉术后1年切割出股骨头2mm,疼痛,经取出内固定物后治愈。术后6个月时多数患者植骨区均有轻度骨吸收,9 ~ 16个月植骨区骨结构渐致密。股骨近端 FD 严重髋内翻伴肢体短缩畸形患者股骨力线均基本矫正,截骨面达骨性愈合,髋内翻畸形的颈干角矫正为 95 ~ 130°,平均 119°,股骨相对长度矫正后较术前延长 2.5 ~ 8.6 cm,平均 3.7 cm,术前肢体短缩基本纠正。术后 17 例患者步态正常;2 例扶单拐行走,5 例不扶拐轻度跛行。术后 19 例疼痛消失,4例疼痛明显减轻。所有患者无感染、再骨折和畸形进展。如无因内固定钢板引起的并发症均建议永久不取出钢板,因股骨近端加长的DHS或DCS钢板对FD患者的骨质结构有明显的加强作用,特别是维持股骨近端及颈干角的解剖力线能起到很大的作用,以避免畸形复发。
3 讨论
股骨近端FD的治疗主要根据其病变范围及程度决定,由于病损股骨解剖结构的部分破坏和生物力学强度降低,随着病变持续进展,患者长期负重和髋周肌肉的牵拉易造成股骨病理性骨折和患髋疼痛、内翻畸形加剧。因此股骨近端FD治疗关键在于:①及早发现并治疗,阻止病变进一步发展;②充分在畸形严重及股骨头、颈处植骨,防止股骨头塌陷,改善骨强度及股骨解剖结构;③合理坚强的内固定以促进骨愈合,并防止病理性骨折再次发生;④截骨矫形充分恢复股骨生物力线。
病变刮除植骨是治疗所有FD的主要方法,但对多发且病变广泛、骨强度不佳的患者效果较差。儿童患者因股骨头骨骺未闭合,为避免伤及骨骺仅采用病变刮除植骨,术后长腿石膏托外固定3~ 6个月。Lejman 等[3]通过对伴有骨折和畸形的股骨FD患者的治疗效果分析后认为,单纯病变刮除植骨往往是无效的,采用截骨及Rush钉内固定能取得良好效果。本组26例,随访23例股骨近端FD严重髋内翻伴肢体短缩畸形患者经行股骨近端畸形顶点附近外翻截骨,股骨头、颈及截骨断端打压式植骨,嵌插复位加长DHS或DCS钢板固定患者中22例内固定可靠,提示该方法对于股骨近端内翻畸形严重、病变范围广泛、骨强度不佳的患者效果好。Enneking 等(1986)认为,对具有偏心力矩附近的负重骨(如股骨颈)应给予积极的手术治疗,可采用皮质骨移植以提高病骨强度,防止病理性骨折;同时强调在同一解剖区,病理性骨折后病骨与正常骨的骨愈合能力相同。本组植入的自体骨和同种异体骨均有不同程度的骨吸收,但总的骨质量和骨强度均较原病骨有明显提高;同时截骨面或病理性骨折的骨愈合能力与正常骨相当,表明高质量的打压式植骨可提高病损区骨强度,有助于病理性骨折及截骨断面的愈合。
对于股骨近端FD伴髋内翻畸形的患者,为防止单纯外翻截骨矫形术后应力集中导致再骨折,有学者采用了内移外翻截骨的方法。胥少汀等(1984)对5例股骨近端FD采用转子间斜行外展截骨嵌插植骨螺钉内固定治疗,但由于截骨区稳定性较差,术后需髋部“人”字管型石膏固定4个月。Guille 等[2]对 22 例股骨近端 FD 采用转子下内移截骨,对伴有髋内翻畸形者同时行外翻截骨,结果表明该方法可有效避免应力集中,防止病理性骨折发生,改善步态及稳定性,能有效防止畸形进一步加重。
对于股骨近端FD内固定的选择目前尚未统一[4-15]。传统的钢板螺钉内固定在病变范围广、骨强度不佳的患者中效果较差,因为钢板螺钉所固定的部位常是病变区,该区骨皮质薄且固定臂短,内固定物易松动。非带锁髓内固定物不具有抗旋作用,病变骨髓腔宽大且骨皮质菲薄,不能满足其稳定性。Freeman 等(1987)采用截骨矫形、Zickel钉髓内固定治疗股骨近端FD伴髋内翻畸形患者,他认为截骨矫形后Zickel钉髓内固定至股骨远端,减少了远端应力集中,通过股骨颈固定至股骨头可有效恢复颈干角,术后患者并发症及复发率均明显降低。但Zickel钉最大的缺点是仅有1根近端加压锁钉,无法防止头颈部旋转,故对股骨转子区或转子下区截骨者不适合,且Zickel钉的远端无锁钉,无法防止截骨后肢体远端旋转。近年,一些学者通过对于股骨近端FD患者的治疗效果分析后认为,对于股骨近端病变范围广、骨质强度差者,或伴有严重髋内翻畸形行截骨矫形者,必须采用坚强内固定,将股骨近端维持于一个更加符合股骨生物力学轴线的位置才能促进骨愈合,降低术后复发率。要达到上述标准,必须选择合适内固定,加长的DHS或DCS钢板固定系统固定效果强,即克服了单纯解剖钢板无法维持颈干角的力线,又解决了股骨广泛病变时髓腔宽大,骨皮质菲薄而股骨近端髓内针难于插入和维持稳定的风险,且操作简单,易于掌握。
本组26例,随访23例严重髋内翻畸形者术后颈干角及股骨相对长度均较术前有明显矫正,大部分患者疼痛消失,步态正常。我们认为髋内翻畸形角度若 <100°,应尽量截骨矫正恢复其生物力线,以有效防止病理性骨折及改善患肢功能;若仅采用病变刮除植骨,无法从根本解决髋部疼痛、跛行和病理骨折等。
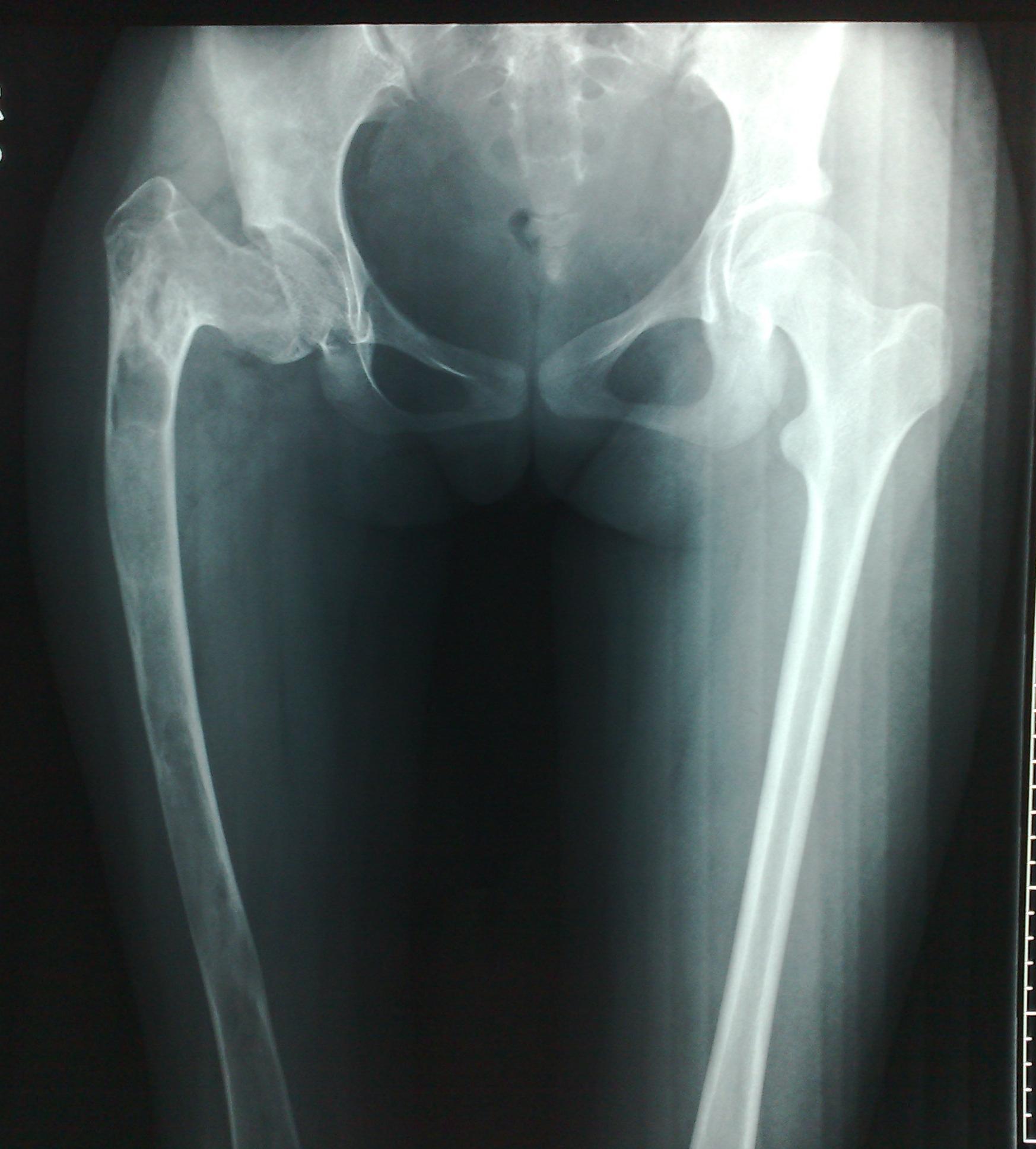
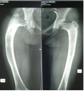
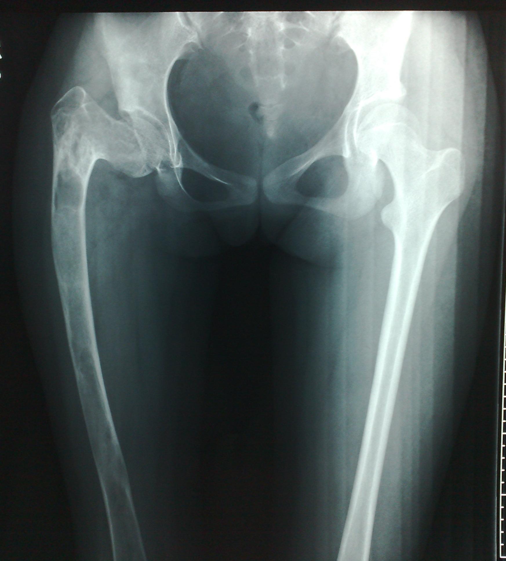
对于严重髋内翻畸形颈干角<60°,且股骨头下方有骨赘形成(如图1),肢体短缩严重者:如果继续使用DHS钢板,力求使颈干角恢复到120°时,此时髋关节头臼咬合已不匹配,臀中肌张力会更大,甚至肢体延长过多会引起坐骨神经症状。对这类患者我们采用DCS钢板,缩减颈干角为95-105°,术后患者髋关节头臼咬合基本匹配,臀中肌经轻度松解也可适应,同时也减少了坐骨神经损伤的风险。26例中我们使用DCS钢板6例,术后均达到满意的效果。
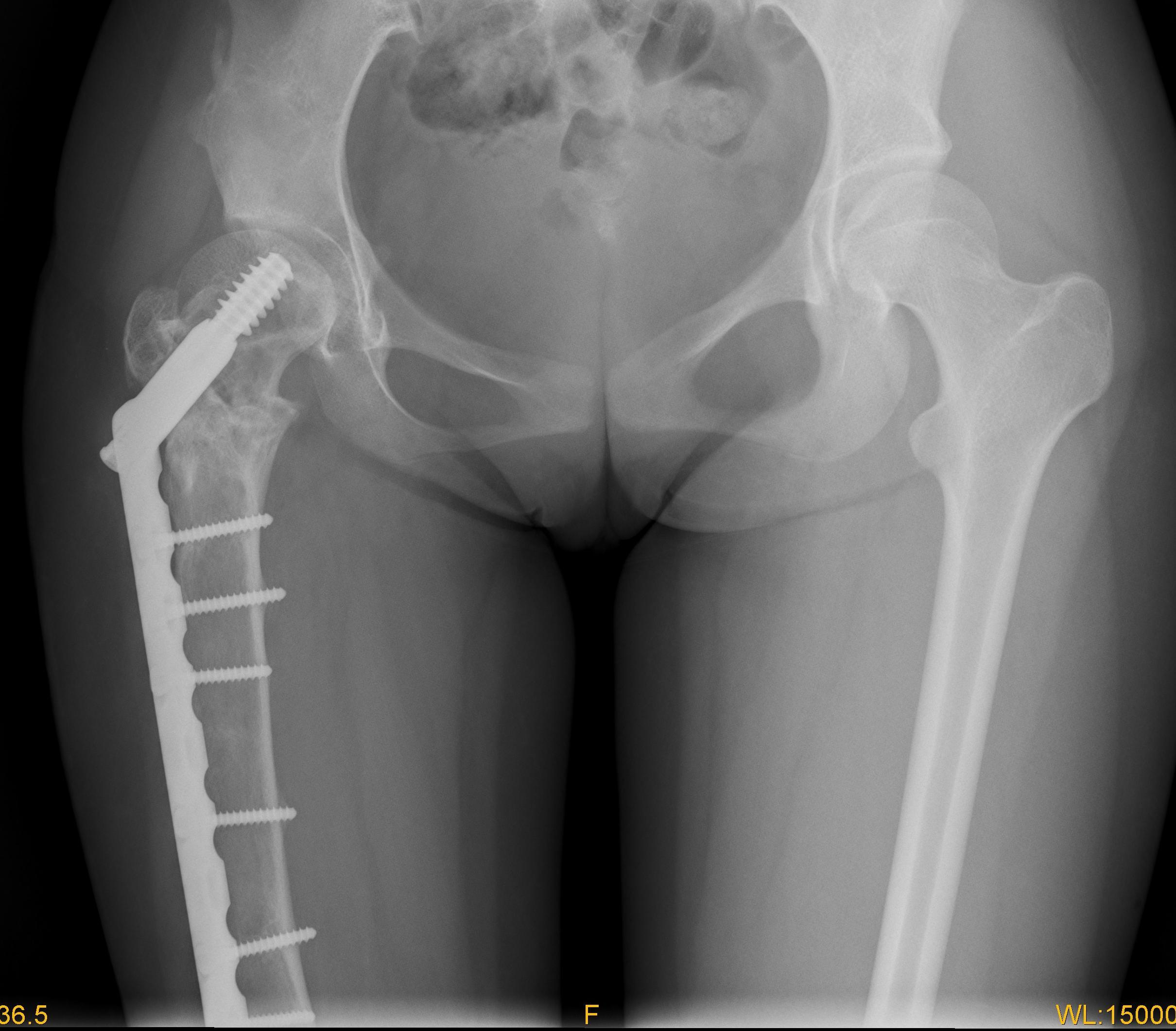
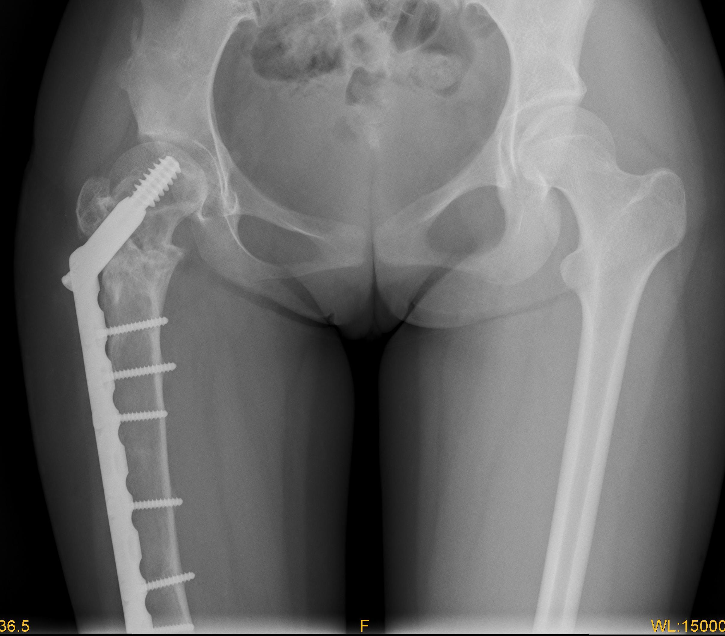
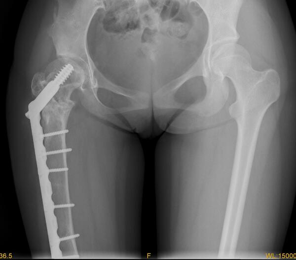
图1女性,18岁,术前肢体短缩9cm图2 术后力线纠正
图3 术后肢体等长
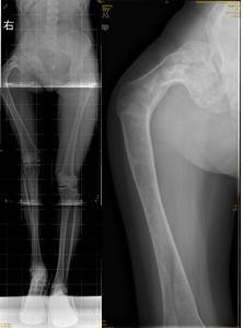
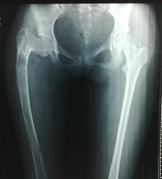
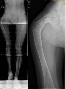
图4 女性,17岁,术前肢体短缩4cm图5 术后2年复查肢体等长,截骨处愈合
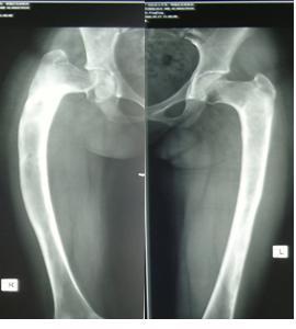
图6 女性,21岁,双侧DF 图7 术后5年力线正常,截骨愈合好
参考文献
1 Chow LT, Griffith J, Chow WH, et al. Arch Orthop Trauma Surg, 2000; 120(7-8): 460464.648-658.
2 Guille JT, Kumar SJ, MacEwen GD. Fibrous dysplasia of the proximal part of the femur. Long-term results of curettage and bone-grafting and mechanical realignment. J Bone Joint Surg (Am), 1998, 80(5):648-658.
3 Lejman T, Sulko J. Orthopedic management in children with brous dysplasia of bone. Chir Narzadow Ruchu Ortop Pol, 1999, 64(3):303-310.
4 Campanacci M. Bone and soft tissue tumors: clinical features, imaging, pathology and treatment. 2nd ed. New York: Springer, 1999: 88-101.
5 Parekh SG, Donthineni-Rao R, Ricchetti E, et al. Fibrous dysplasia. J Am Acad Orthop Surg, 2004, 12(5): 305-313.
6 DiCaprio MR, Enneking WF. Fibrous dysplasia. Pathophysiology, evaluation, and treatment. J Bone Joint Surg (Am), 2005, 87(8):1848-1864
7 Kumta SM, Leung PC, Griffith JF, et al. Vascularized bone grafting for brous dysplasia of the upper limb. J Bone Joint Surg (Br), 2000, 82(3): 409-412.
8 O’Sullivan M, Zacharin M. Intramedullary rodding and bisphospho-nate treatment of polyostotic brous dysplasia associated with the McCune-Albright syndrome. J Pediatr Orthop, 2002, 22(2): 255-260.
9 Jung ST, Chung JY, Seo HY, et al. Multiple osteotomies and intramed-ullary nailing with neck cross-pinning for shepherd’s crook deformity in polyostotic brous dysplasia: 7 femurs with a minimum of 2 years follow-up. Acta Orthop, 2006, 77(3): 469-473.
10 Chen WJ, Chen WM, Chiang CC, et al. Shepherd’s crook deformity of polyostotic brous dysplasia treated with corrective osteotomy and dynamic hip screw. J Chin Med Assoc, 2005, 68(7): 343-346.
11 Watanabe K, Tsuchiya H, Sakurakichi K, et al. Double-level correc-tion with the Taylor Spatial Frame for shepherd’s crook deformity in brous dysplasia. J Orthop Sci, 2007, 12(4): 390-394.
12 Dunstan E, Tilley S, Briggs TW, et al. A customised replacement for polyostotic brous dysplasia of the upper femur. A 51-year follow-up.J Bone Joint Surg (Br), 2005, 87(1): 114-115.
13. 朱翔,董扬,杨庆诚. 四肢长骨大段纤维结构不良的临床特征和治疗。国际骨科学杂志2011;31(4):245-247
14.张学东,胡艳萍,于振山等. 骨纤维异常增殖症的临床分析.中外医疗2010;28:11-12
15.张龙海 ,胥少汀 ,朱兵 ,等. 四肢骨纤维异常增殖症的手术治疗[J].中国矫形外科杂志,2002,10(11):1054~1056.