前言:近年来,膝关节骨性关节炎的发病率逐渐增高,已成为中老年人的常见病、多发病。很多患者听到膝关节手术时,都会想到“换关节”,门诊中常有患者疑问“可不可以不要手术?不换关节还有没有其他治疗方法?……”
深圳市第二人民医院骨关节主任刘安庆教授介绍:目前的人工全膝关节置换术(total knee arthroplasty, TKA)已经是非常成熟、标准的骨科治疗技术,术后患者可有效地恢复膝关节的功能。而且其适应证较广泛、疗效满意、长期随访效果良好。但随着医学的发展,并非所有的患者都需要换关节,目前我们提倡顺应自然、遵循人体生物学与生物力学特性,术后快速康复, “保膝”治疗理念是我们首先考虑的问题,可以通过微创手术来恢复正常的下肢力线,挽救并保护自然的膝关节及功能。

为什么会得膝关节骨关节炎?
膝关节作为下肢的“运动轴”,表面有一层非常光滑的软骨,这层软骨既能起到减少摩擦的作用,又能起到缓冲压力的作用。
当人活动量过大,体重增加时,最容易损伤关节表面的软骨,导致骨性关节炎。而且关节软骨有一个特性,就是损伤之后很难修复。关节软骨损伤之后,它“减少摩擦、缓冲压力”的作用也会相应减弱。当膝关节负重时,约75%的载荷通过内侧间室,外侧间室仅有约25%的载荷。长期处于高负荷状态下的内侧间室软骨面逐渐退变、磨损,导致下肢力线向内侧偏移,加重软骨磨损,形成恶性循环,发展为膝内侧骨性关节炎。
膝关节骨关节炎被称为膝关节软骨变性、骨质增生而引起的一种慢性骨关节疾患,导致关节疼痛,肿胀,活动受限等不适,而且致残率高达53%,严重影响患者的生活质量。因此,我们的治疗目的就是改善膝关节疼痛等症状,恢复膝关节的运动功能,进而提高患者生活质量。

膝关节骨性关节炎,是“换”还是“保”?
深圳市第二人民医院骨关节科刘安庆教授介绍“膝关节保留还是去掉?修补还是置换?这是膝关节骨关节炎治疗问题上一直备受关注的热点与争议话题。作为一个骨关节科医生,我更多考虑的是患者的长期受益及预后问题,并非所有的患者都需要换关节。需遵循循序渐进的治疗原则,即先保守后手术的治疗原则。当膝关节骨关节炎进入中晚期后,药物、物理、注射玻璃酸钠等保守治疗对很多患者已无明显效果。手术成为唯一有效治疗方式,微创手术是首选治疗方法,术后能够明显的提高患者生活质量,恢复患者的运动状态。”
膝关节截骨术或比“换关节”更有效
本期我们一起了解膝关节骨性关节炎微创手术治疗--HTO
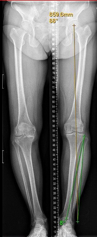
—胫骨高位截骨术(high tibial osteotomy, HTO),是通过胫骨近端微创楔形开槽,改变下肢力线的异常分布,降低内侧间室的压强,将其恢复到软骨能够承受的正常范围,使得受损的膝关节内侧不负重或者少负重,可明显缓解疼痛和改善步态,改善膝关节生物力学环境和有效血液循环,促进内侧间室关节软骨修复,减轻膝关节疼痛,恢复膝关节正常活动。从而避免换关节,或者推迟换关节的时间。特别适合相对年轻活跃、MPTA(胫骨近端内侧角)小于85度或大于90度的内侧骨关节炎患者。临床实践证明,约三分之二的患者并不需要膝关节置换,可以采用保膝手术治疗,有效率甚至超过全膝关节置



选择的优势:由于属于微创手术,创伤小,出血少,对软组织破坏少,所以患者术后锻炼的时间早,并发症少,恢复越快。
术后当天床上活动,术后第2天就开始患肢部分负重,4周开始逐渐增加负重,6-8周后可以完全负重。由于此微创手术不破坏关节内的任何重要结构,包括软骨、交叉韧带、半月板,因此被称为为真正的保膝手术,它可以完整的保留膝关节的功能和本体感觉。手术只相当于一次小腿的不全骨折的愈合,所以术后很少发生关节活动受限的情况,患者不需要很辛苦的进行关节屈伸锻炼,就可以达到关节活动自如。充分体现了“保膝”理念,保留了关节的自然运动功能与舒适性,延长患者膝关节的自然寿命。
保膝之路 与您前行——深圳市第二人民医院骨关节科
如何恢复正常的下肢力线,保护自然的膝关节?是膝关节骨性关节炎治疗的目标。但是,医生们无论是选择任何一种“保膝”术式或者关节置换手术都需要扎实的解剖知识,丰富的常规手术操作经验作为基础,需要经过严格的专业培训,严谨地筛选病例。
深圳市第二人民医院骨关节科同时开展关节保护性手术和关节置 换性手术,避免出现治疗的真空地带或关节置换适应症的扩大化。实现了一整套膝关节骨性关节炎的阶梯型标准化治疗体系,对于每一位需要手术的患者,全面评估个人情况,提出个体化的治疗方案(HTO,UKA或TKA)。实现“保膝!换膝”并举的阶梯治疗,真正做到“精准医疗”,造福患者。
深圳市第二人民医院(深圳大学第一附属医院)骨关节骨肿瘤学科是深圳市首个国家临床重点建设专科,也是广东省临床重点专科、深圳市医学优势重点学科群科室、深圳市医学重点专科。开展业务有人工髋、膝、肩、肘以及先天性髋关节发育不良等复杂人工关节置换及翻修术,恶性骨肿瘤综合保肢治疗,复杂骨创伤及皮肤软组织缺损的治疗,微创治疗高龄老年髋部骨折等。


学科带头人:刘安庆,主任医师,教授,深圳市第二人民医院国家重点学科骨关节骨肿瘤科主任,博士,硕导
现任国际矫形与创伤外科学会CICOT中国部关节外科学会委员
中国医师协会骨科医师分会关节外科工作委员会委员
中国老年医学会骨与关节分会委员
中国研究型医院学会关节外科膝关节保护与矫形学组委员
广东省医师协会骨科医师工作委员会副主任委员
广东省医学会关节外科学分会常务委员
广东省医师协会骨关节医师工作委员会常务委员
广东省健康管理学会骨科专业委员会常务委员
广东省药学会骨科用药专家委员会常务委员
深圳市骨科学会副主任委员兼骨关节学组组长
深圳市中医药学会骨质疏松与骨关节病专业委员会顾问
中华关节外科杂志常务编委
中华外科治疗学杂志编委
擅长:老年骨科,膝关节病,股骨头坏死,髋关节发育不良,骨关节畸形,保膝保髋治疗,强直性脊柱炎及血友病性关节病、风湿及类风湿性关节炎,骨纤维结构不良,骨肿瘤骨病,腓骨带血管移植治疗股骨头坏死及青壮年股骨颈骨折,老年髋部骨折,髋、膝、肩关节置换。