最近病房收了一位50岁的大姐,因为突然发热、头痛、呕吐起病入院。入院后查磁共振发现脑脓肿。经过感染科医生的仔细询问,患者发病前曾有牙痛病史。当时考虑是一个牙源性感染。

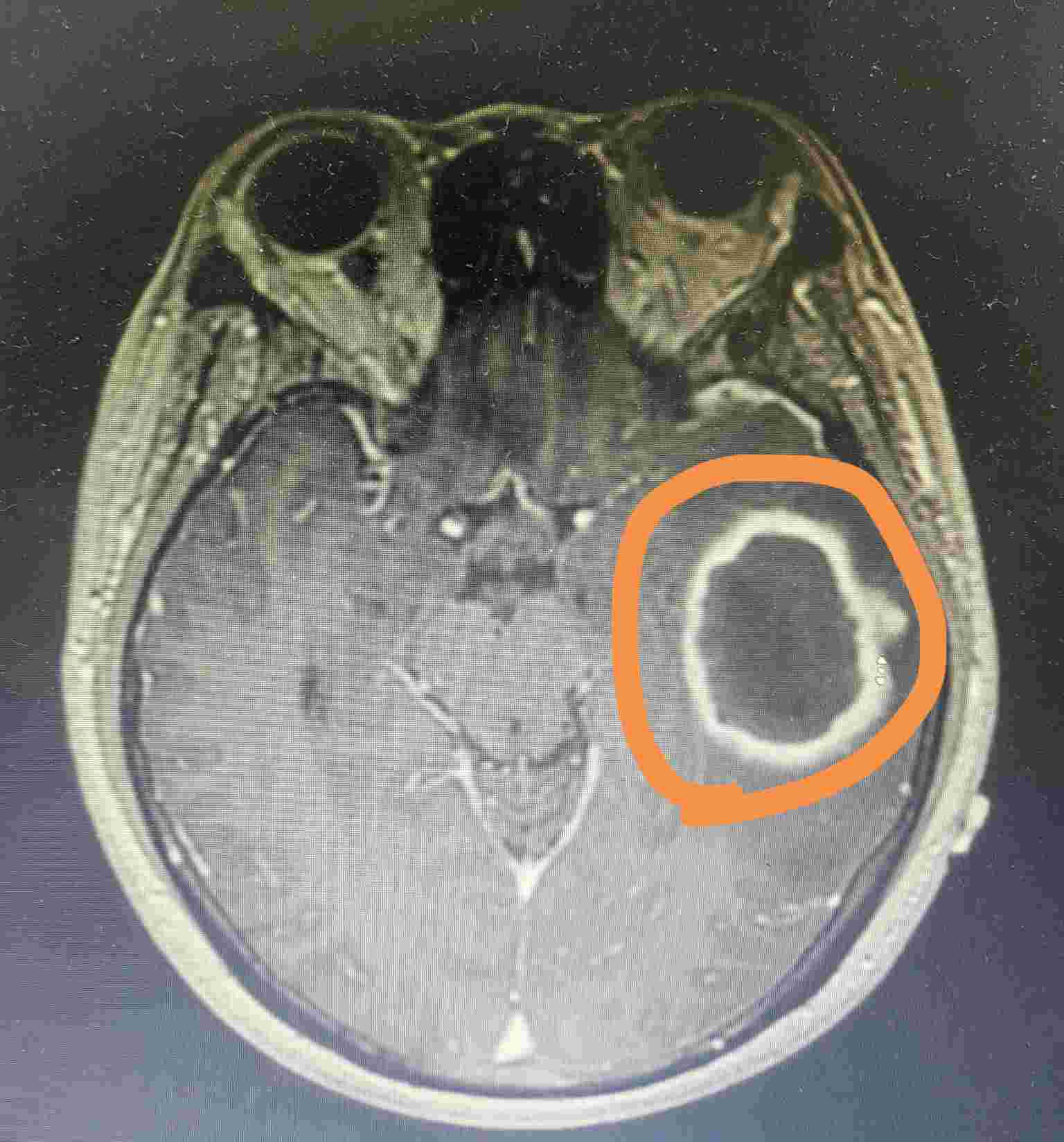
颅内脓肿图片(橙色圆圈内)
随后患者转入神经外科做了手术切除病灶,脓液培养出来了“咽峡炎链球菌”,这是一种口腔的常见定植菌,也再次证实了脑脓肿可能是牙源性来源。
这种“牙痛”引起的严重感染其实并不少见。
去年就碰到一个青年男子,突然意识障碍入院,完善检查发现脑脓肿,脑脊液二代测序测出来一堆的口腔定植菌,追问病史患者长期打游戏,不吃饭不睡觉也不刷牙……
在微信上搜索牙齿与脑脓肿,发现病例并不少。常见的情况是牙痛不去看病,吃点止痛药了事,拖了一段时间后发生了脑脓肿。
培养出来比较常见的细菌是:草绿色链球菌(尤其是咽峡炎链球菌)、放线菌、梭杆菌、微小单胞菌、牙龈卟啉单胞菌等口腔定植菌。
牙周区域的细菌是如何跑到“脑子里”了呢?常见的情况是细菌入血导致菌血症,细菌随着血流进入大脑。也有一些是上颌牙化脓后,因为临近大脑,细菌局部扩散至大脑。
脑脓肿是一个可能危及生命的严重疾病,早期表现多为发热、头痛起病,如不能得到及时有效救治,患者可能出现意识障碍,甚至脑疝等危及生命的情况。
除了牙源性感染外,慢性耳部感染也是脑脓肿的常见来源。因此,建议各位注意口腔、耳道卫生管理,有不舒服的话及时专科就诊,避免小病拖成大病!