今天无意中翻阅朋友圈,发现了病理科同事推送的一篇《纪念Juan Rosai教授》的文章。心中一惊,莫非是以其名字命名“Rosai-Dorfman病”的那位Rosai教授?通读了文章,发现果真是国际著名的病理学专家Juan Rosai。

我也不是病理学专业的,对Juan Rosai教授也并不了解。只因10年前治疗过一例Rosai-Dorfman病的患者,所以对“Rosai”这个字眼格外敏感。
思绪飞到了10年前的那个秋天
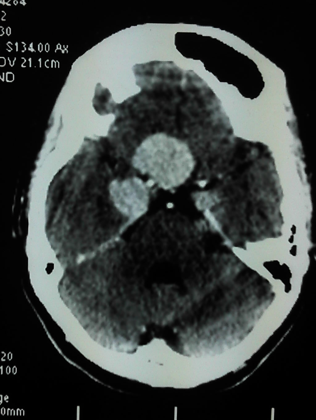
一名因头痛多年来就诊的中年女性病人来到我们医院,其就诊经历也颇为坎坷,最早是在我们泰安当地算规模较大的一家医院诊断为鼻硬结症,治疗后不见好转,后辗转至另一家也算规模比较大诊断为脑膜瘤。病变范围较大,无法手术切除。后病人来到我院考虑放疗。当时多家医院影像科都诊断为脑膜瘤,且病人也拿影像资料到省里某影像研究所会诊,得到也是同样的结论。
下面是病人的最早的影像资料:



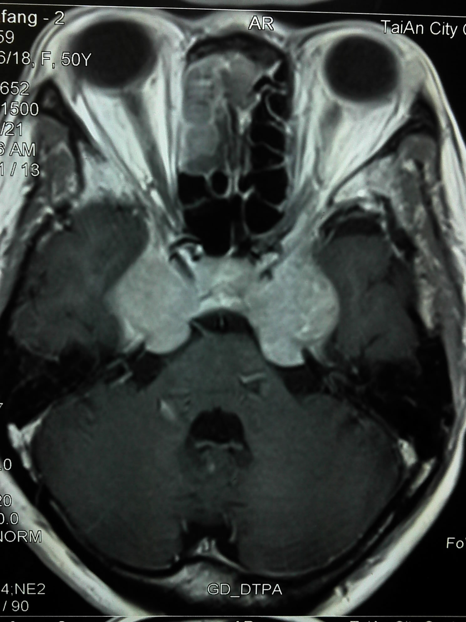
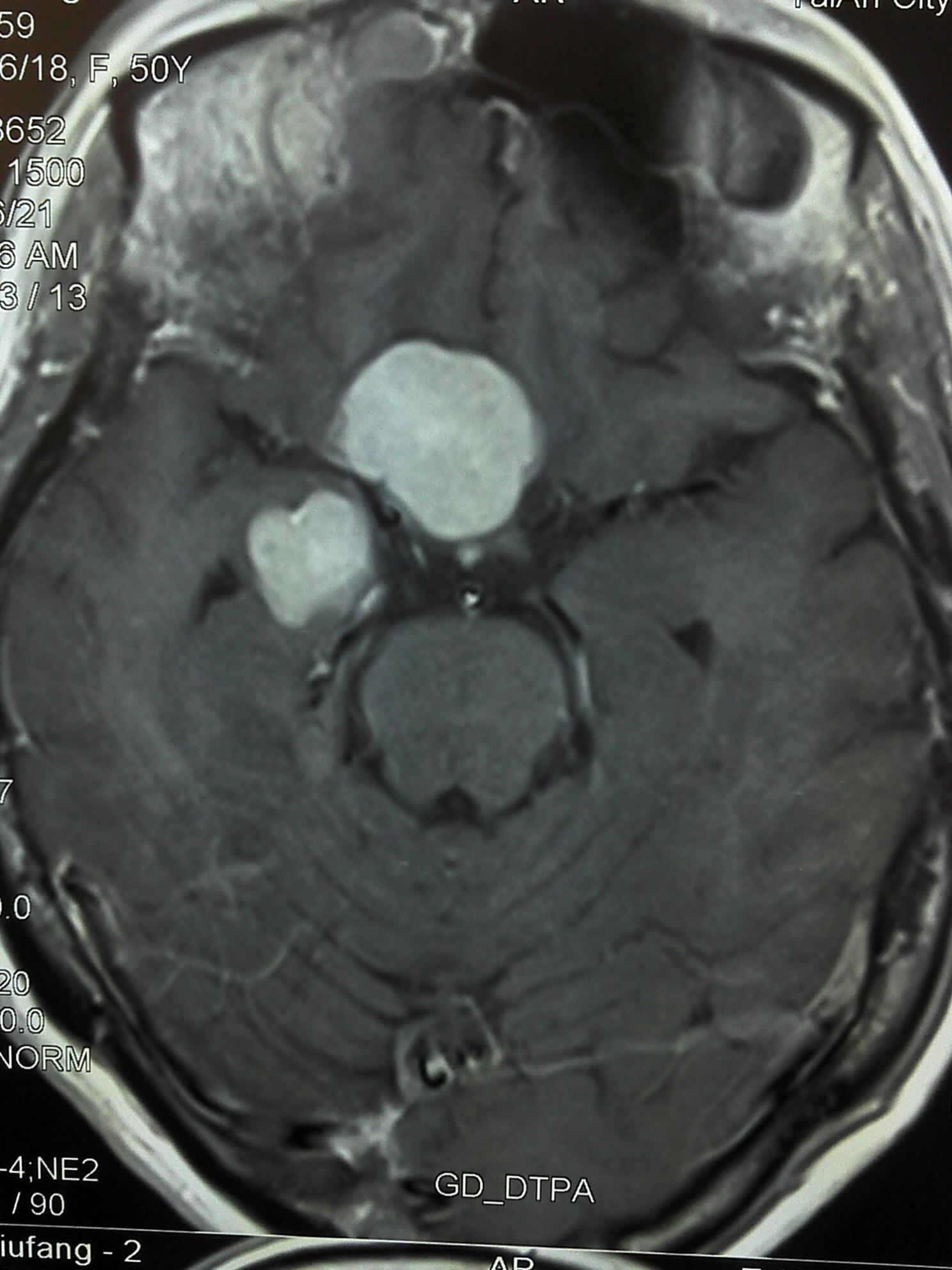
当时我们给这个病人进行了放疗,放疗结束后病灶竟然缩小地非常明显,且头痛症状快速缓解。当时心生怀疑,莫非该患者不是脑膜瘤?哪有这么敏感的脑膜瘤?
下图是放疗结束后复查的脑核磁:

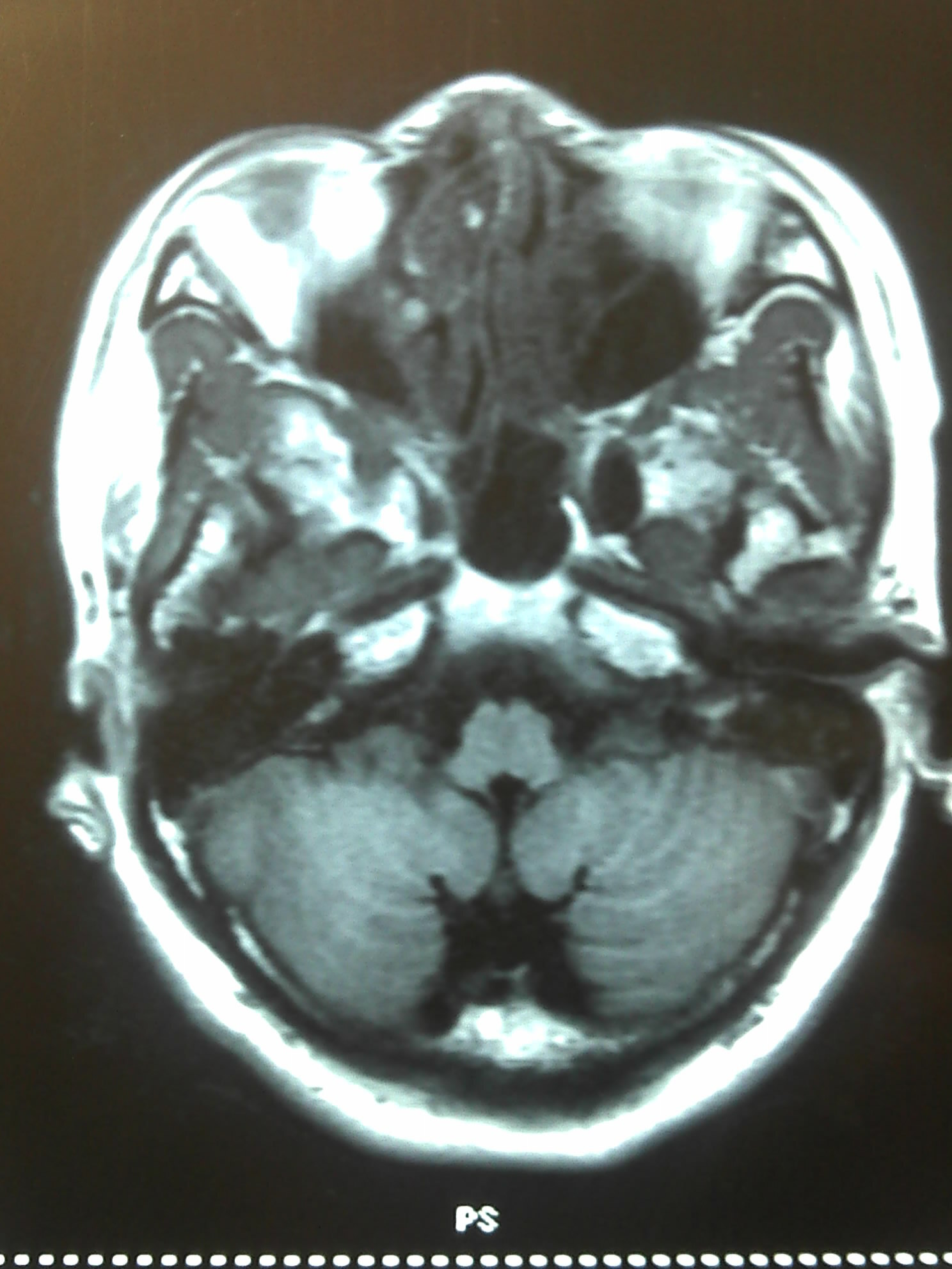
放疗疗效非常好,病人及家属非常满意,但好景不长,幸福的时光往往那是短暂的。好像没过多长时间,病人出现了双下肢无力的症状,检查脊椎核磁显示椎管内多发占位性病变,并出现了胳膊及大腿部位的多个皮下结节。
下图是患者的影像表现:


我们后来将病人转到外科进行手术,术后病理竟是Rosai-Dorfman病。椎管内病灶和皮下结节切除下来都符合该诊断。抓紧查找文献,推断颅内病灶也是Rosai-Dorfman病的表现!虽然经多家医院误诊(也包括我们),万幸没有误治。因为在不可手术的患者,放疗也是一重要的治疗手段,我们的这个病例也验证了这一点,并且放疗效果还是不错的。另外,误诊对这种极其罕见的病例来说也不足为奇,据说就算高度发达的美国,每年的误诊率也达到了惊人的30%。
下图是患者的病理报告:


说到这里要感谢Juan Rosai教授,让我认识了该病;感谢我们的外科大夫、病理科大夫、影像科大夫;更重要的感谢我们的这位病人和家属,非常配合我们的治疗。顺便感谢一下我自己,10年了,电脑换了好几台,还保留着这些资料(因为我平时是不太习惯搜集照片的)。
简要介绍一下Rosai-Dorfman病
Rosai-Dorfman病是一种罕见的组织细胞病变,1969年Rosai教授和Dorfman博士最早将该病描述为“窦性组织细胞增生伴巨大淋巴结病”,1987年组织细胞学会工作组将其归为非朗格汉斯细胞的组织细胞病变。2016年该学会由根据病理学、遗传学及分子特征,将相关分类做了进一步更新。该分类将非朗格汉斯细胞的组织细胞病变分为“R组”和“C组”,其中R组包括了家族性Rosai-Dorfman病、散发性Rosai-Dorfman病以及其他多种非皮肤的、非朗格汉斯细胞组织细胞的其他病变,C组则是专指皮肤的Rosai-Dorfman病。
小酌一杯之后,码下以上文字,以致敬Juan Rosai教授!