
大笑、咳嗽、搬重物……
总有尿液不由自主地溢出?
这些让人难以开口的症状
相信很多女性都有过……
究竟是什么原因导致的呢?
其实,以上症状都是
常见的女性盆底功能障碍性疾(FPFD)的表现!
谈“妇科”色变
盆底功能性障碍是啥?
女性盆底功能障碍性疾病(FPFD)指盆底支持结构缺陷、损伤及功能障碍造成盆腔器官移位所引起的一系列疾病,又称盆底缺陷。
那么如何检查呢,答案是——做盆底三维超声,盆底三维超声具有实时动态三维成像、智能盆底功能、TUI断层成像软件,能够为广大女性盆底疾病患者提供准确诊断,在临床症状出现之前通过物理治疗来加强盆底支持结构的恢复,为盆底健康保驾护航!
难言之隐
什么是盆底三维超声?
盆底三维超声是检查盆腔脏器是否有损伤而导致位置下降,比如膀胱、直肠,子宫是否因分娩等因素在用力向下排便时,从正常位置向下偏移,所以女性做盆底功能检查有效评估上述器官的功能情况,是非常必要的,特别是产后女性更应及时检查盆底功能,并及时进行盆底功能训练。

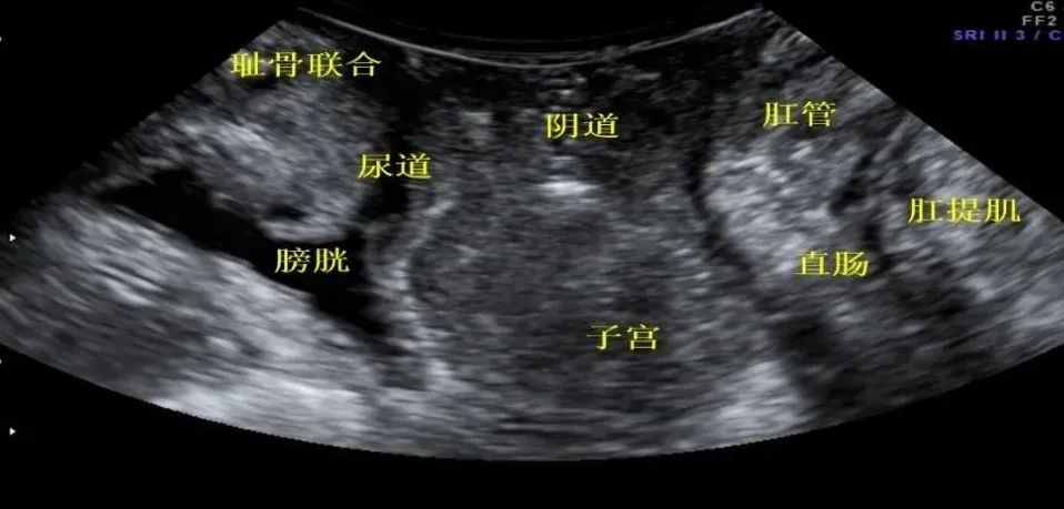
女性正常盆底结构的超声表现

盆腔脏器脱垂的超声表现
盆底三维超声具有无辐射、经济快捷、检查可重复性高的优势,还可以实时、动态观察,即使女性患者带着金属节育环也不影响检查,既能从静态图像观察到盆底解剖结构,又能从动态图像了解到盆底各盆底肌肉、脏器功能变化,是性价比最高的一项影像学检查。
难言之隐
盆底三维超声有哪些适应症!
盆底超声几乎适用于所有阴道分娩、剖腹产的妇女与尿失禁及盆腔脏器脱垂相关的患者,主要包括压力性尿失禁、盆腔脏器脱垂检查。慢性盆腔疼痛检查项目:如静脉淤血、内膜异位症等。
总之,建议产后42天产妇及围绝经期女性均行盆底超声筛查,所有疑似有盆底功能障碍的妇女都应该行盆底功能检查。
#部分图片来源网络,如有侵权,请联系删除