牙齿不齐,拥挤

殷保藏医生 发布于2021-11-23 14:35 阅读量201

本文由殷保藏原创

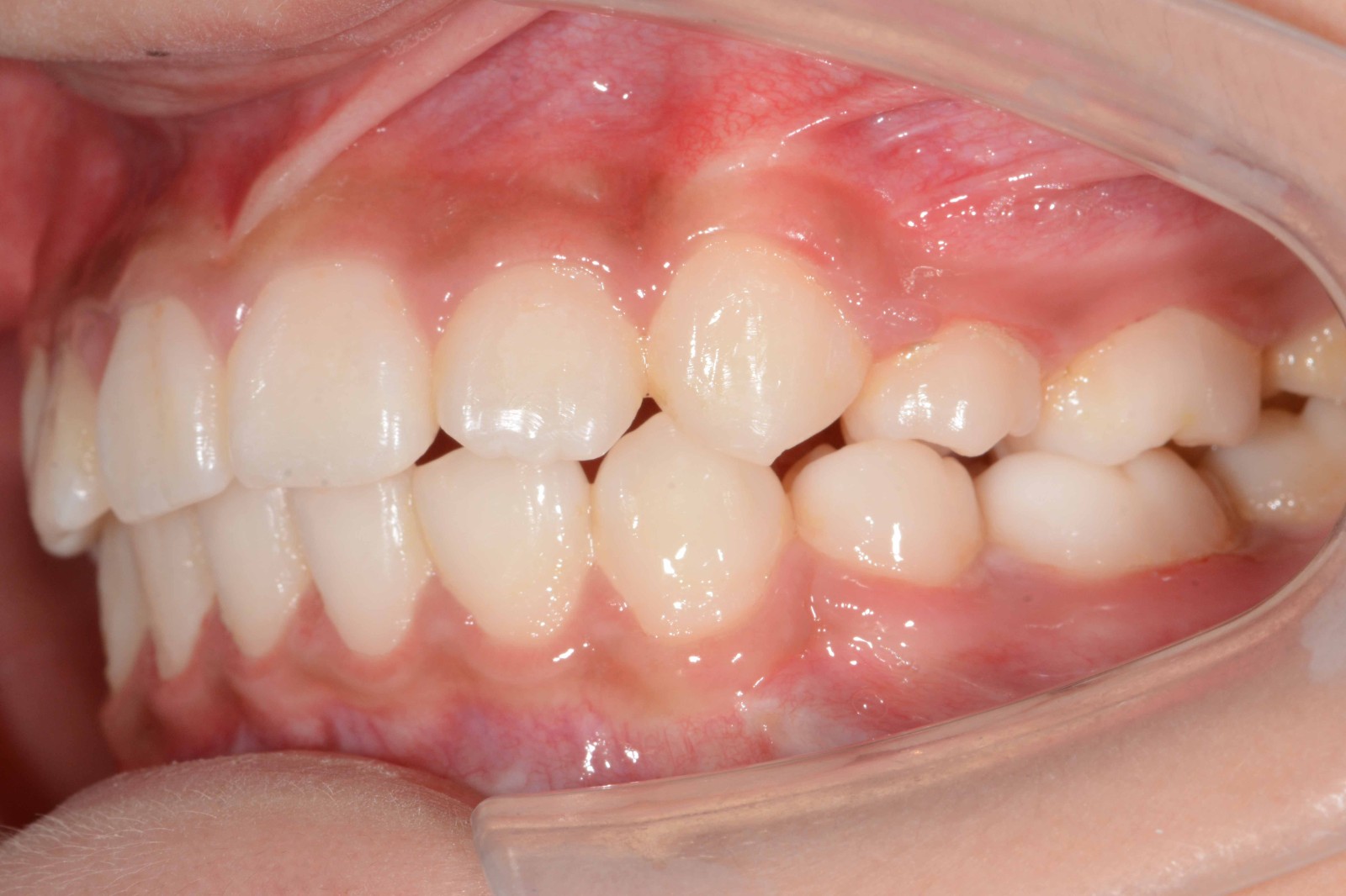
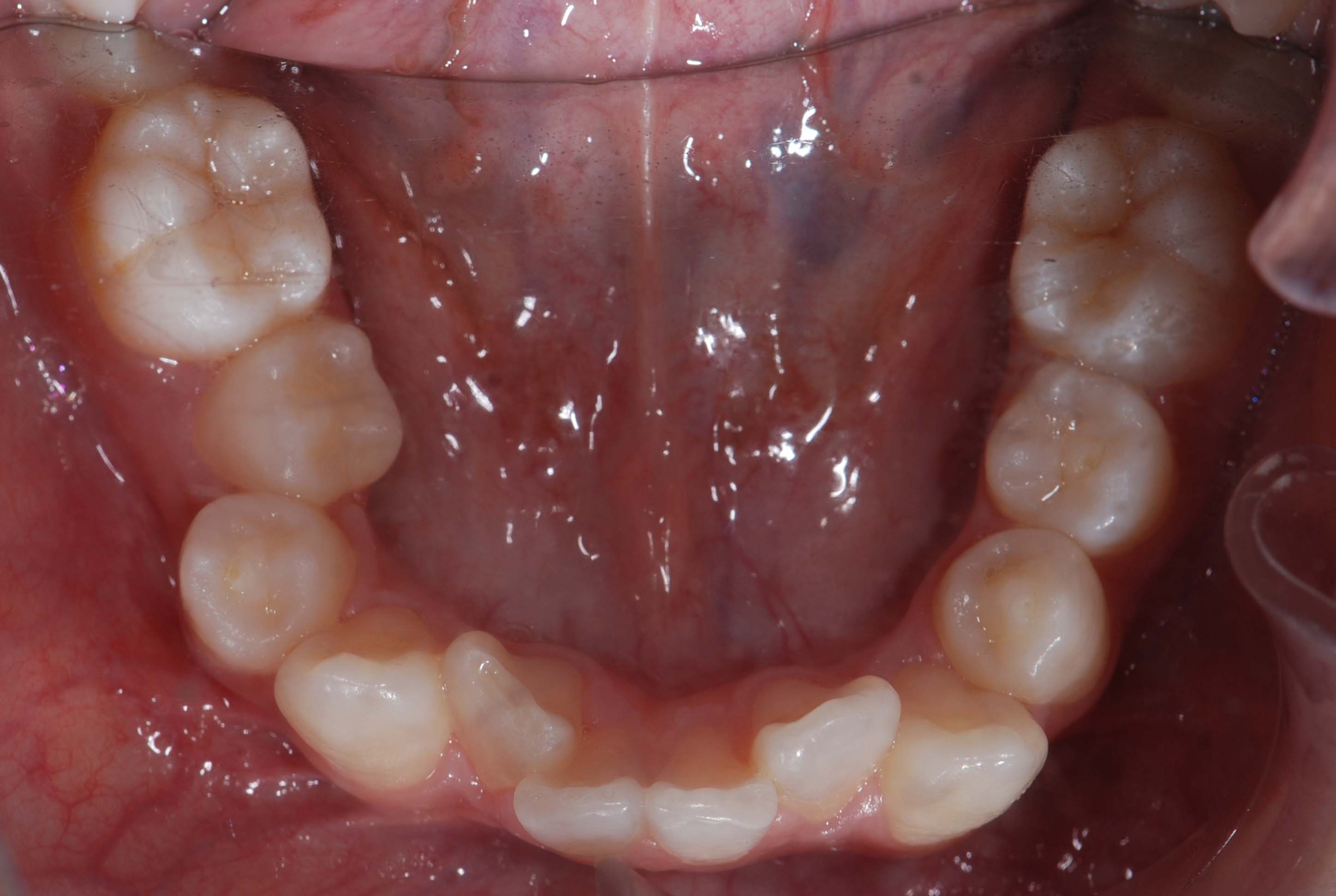
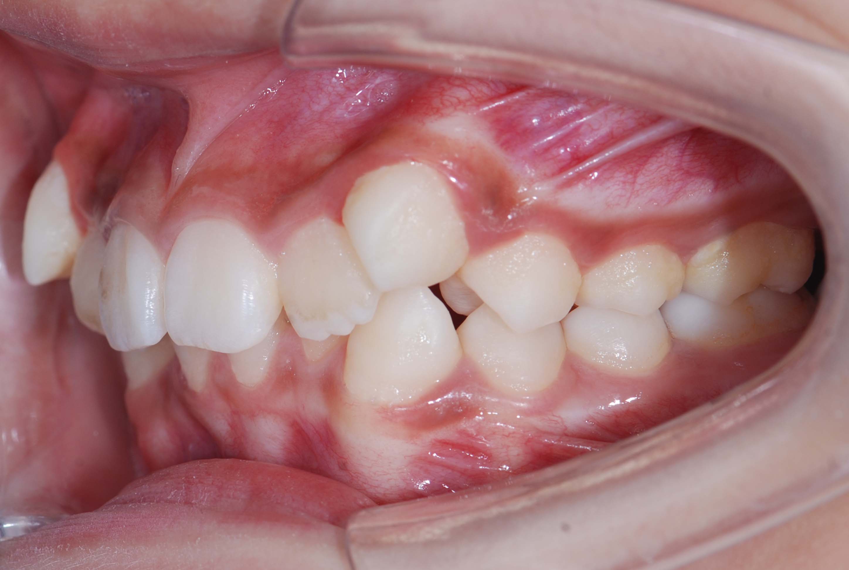
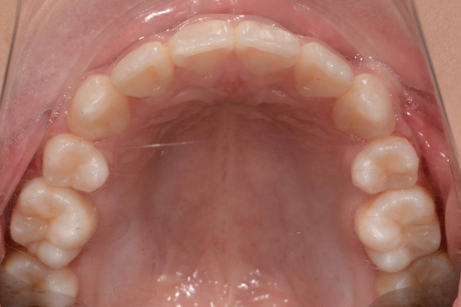
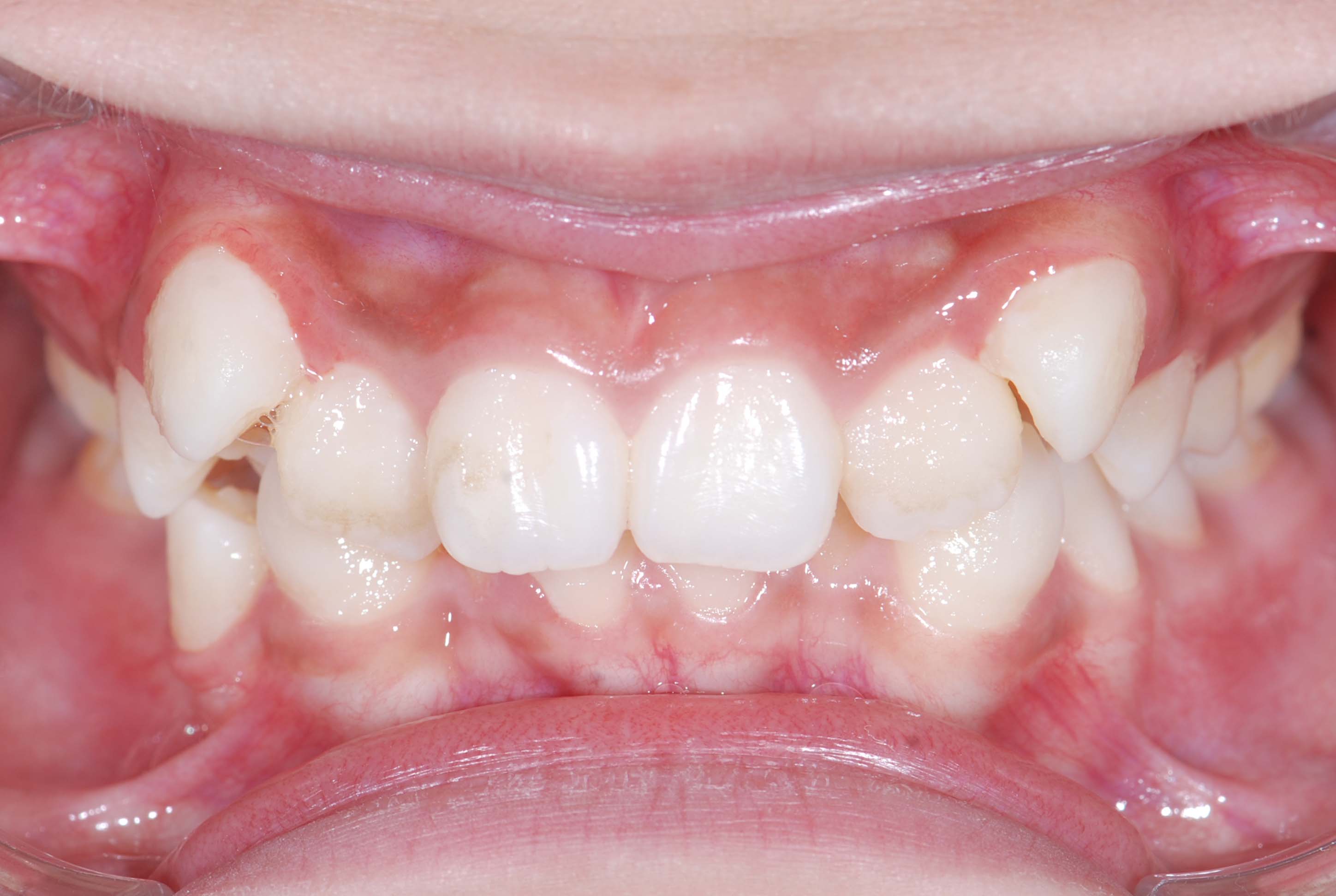
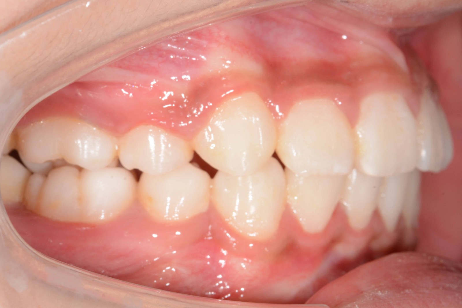
患者:26岁女性

主诉:牙齿不齐,影响美观

检查:拍摄口内面像照片,全景片,侧位片,口扫。

上下颌牙列II-III度拥挤,中线不齐,II深覆合

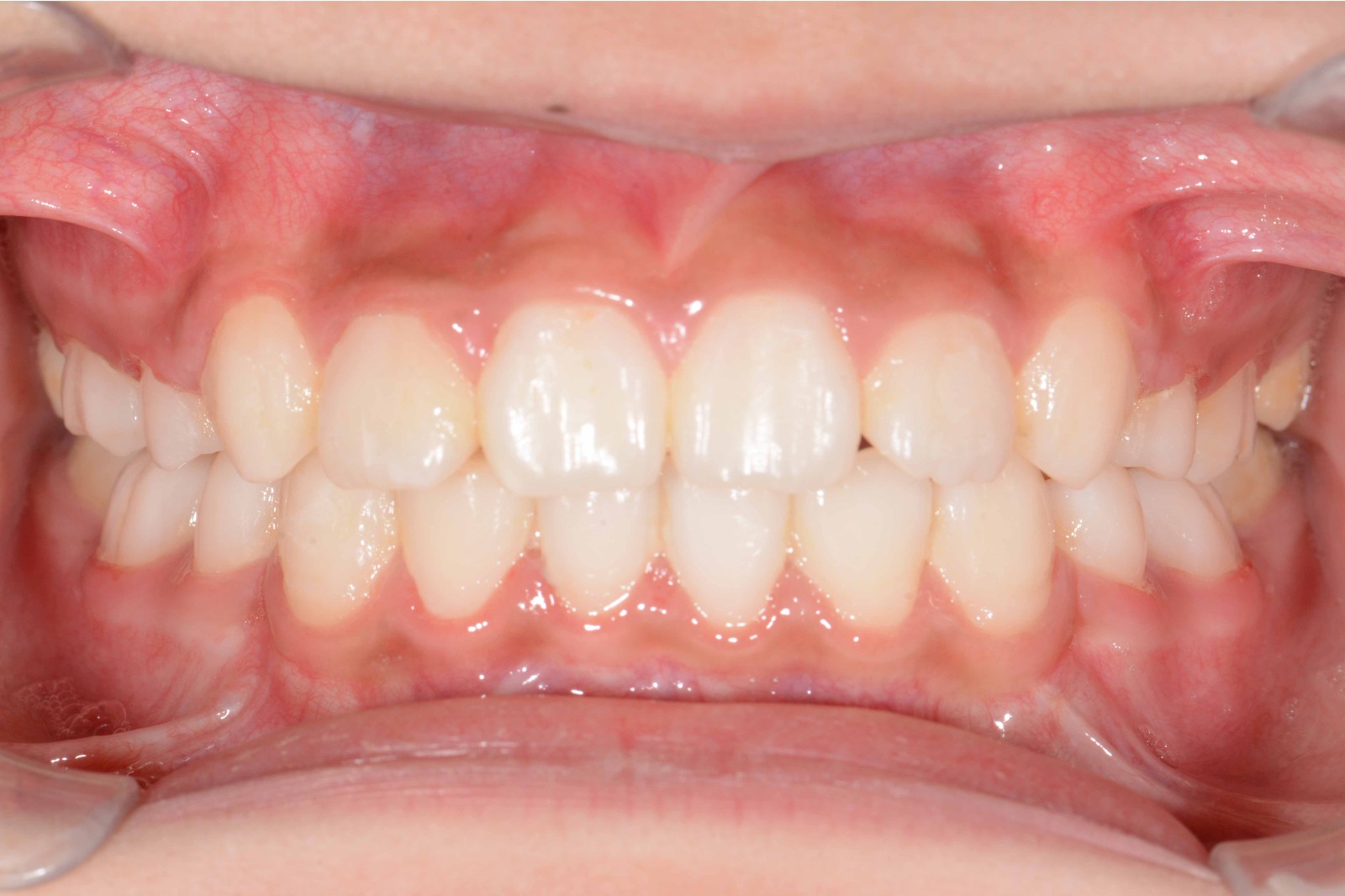
治疗方案:拔除四个双尖牙,排齐整平牙列,调整覆合覆盖,关闭间隙,精调,保持,定期复查。


矫治前:



矫治后:

DSC_7671.JPG


相关疾病: