牙齿不齐,散缝

殷保藏医生 发布于2021-11-23 14:28 阅读量229

本文由殷保藏原创

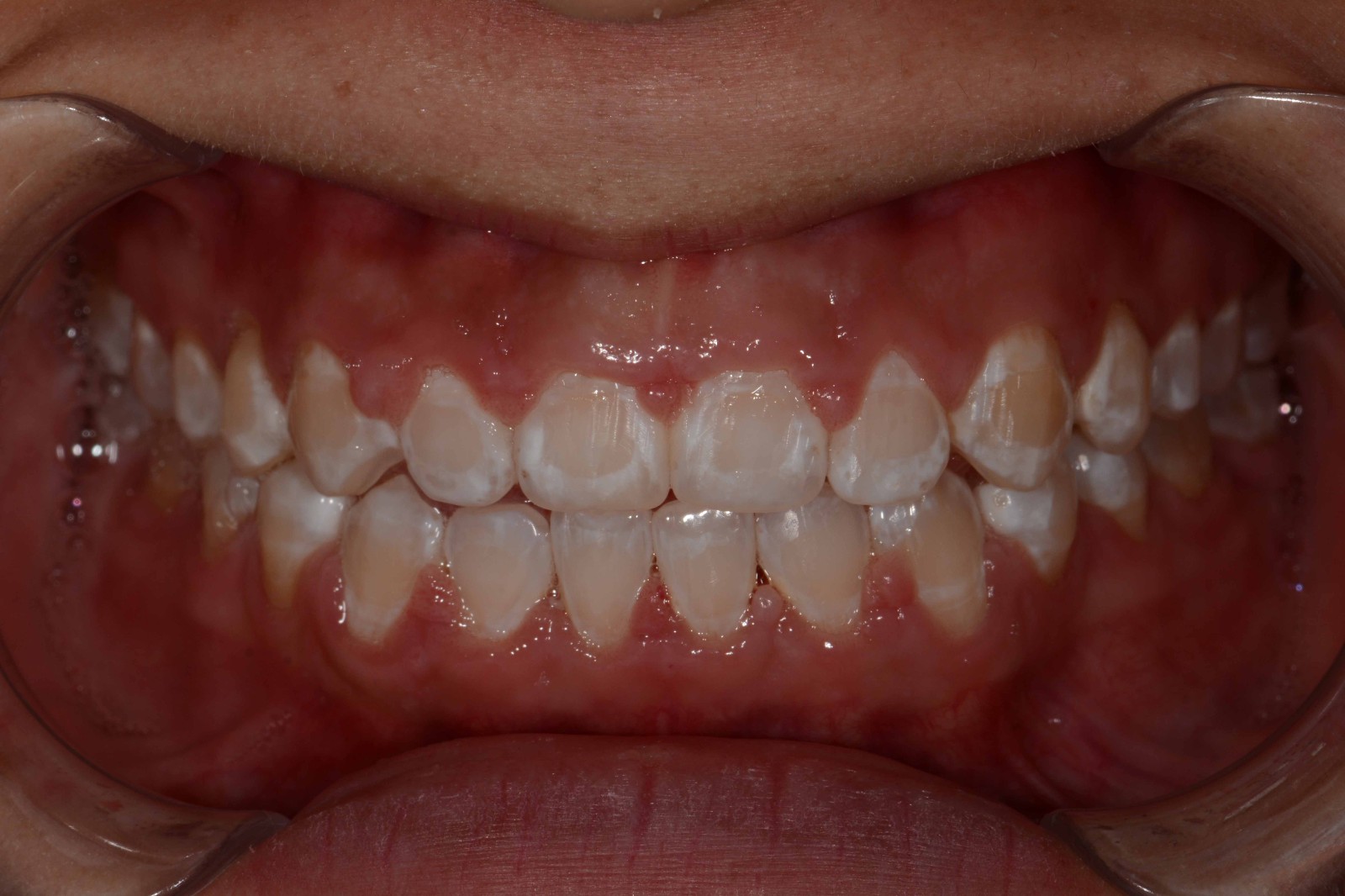
患者:女性 30岁

主诉:牙齿有缝,影响美观,要求矫正

检查:拍摄口内口外照片,全景片,侧位片,口扫。

上下颌前牙区散在间隙,磨牙基本中性关系

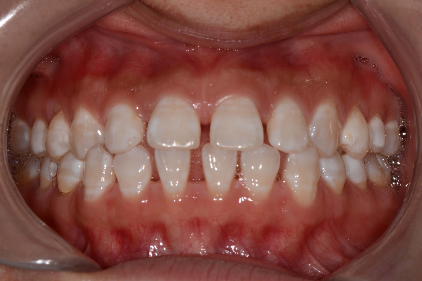
治疗方案:固定金属自锁托槽矫治,内收上下前牙,关闭缝隙,调整覆合覆盖,精调,保持,定期复查。


矫治前:


矫治后:


相关疾病: