牙齿不齐(不拔牙矫治)

殷保藏医生 发布于2021-11-23 13:50 阅读量318

本文由殷保藏原创

患者:男性19岁

主诉:牙齿不齐,影响美观

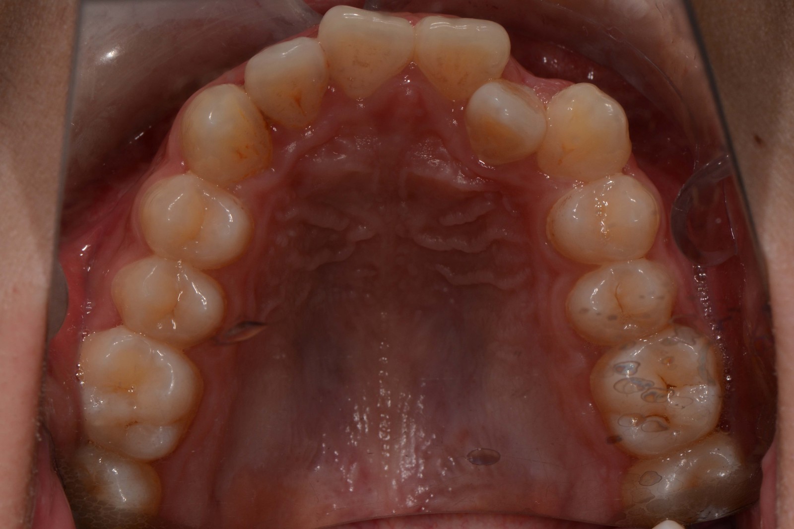
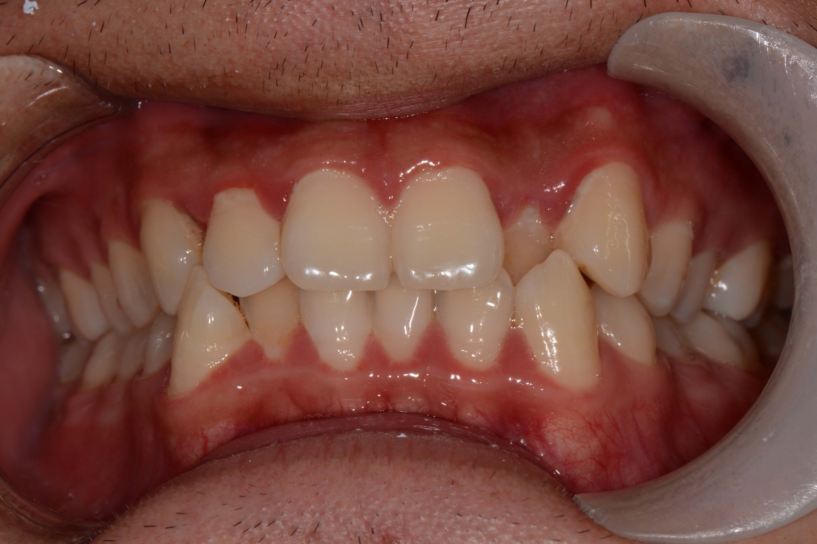
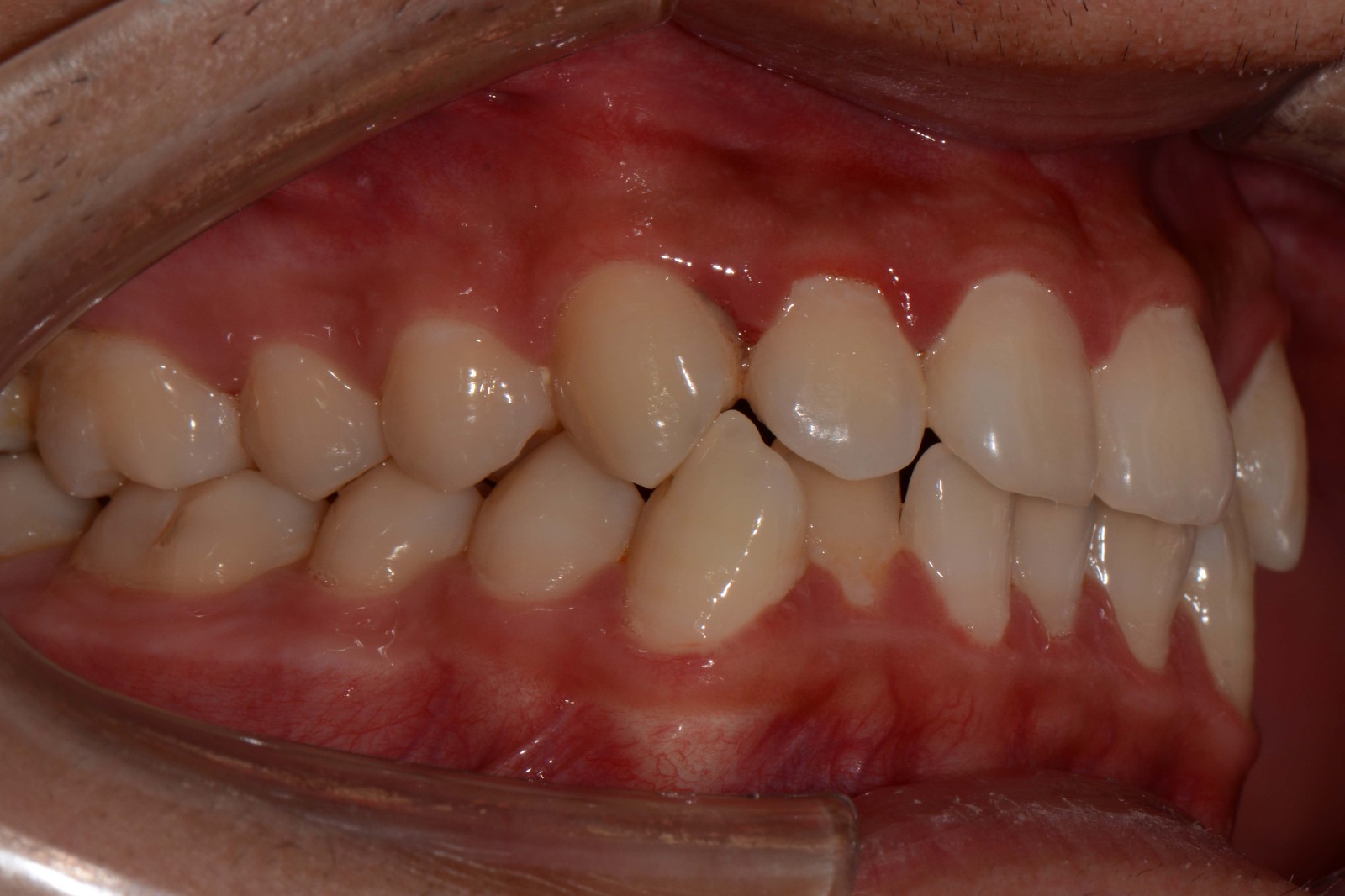
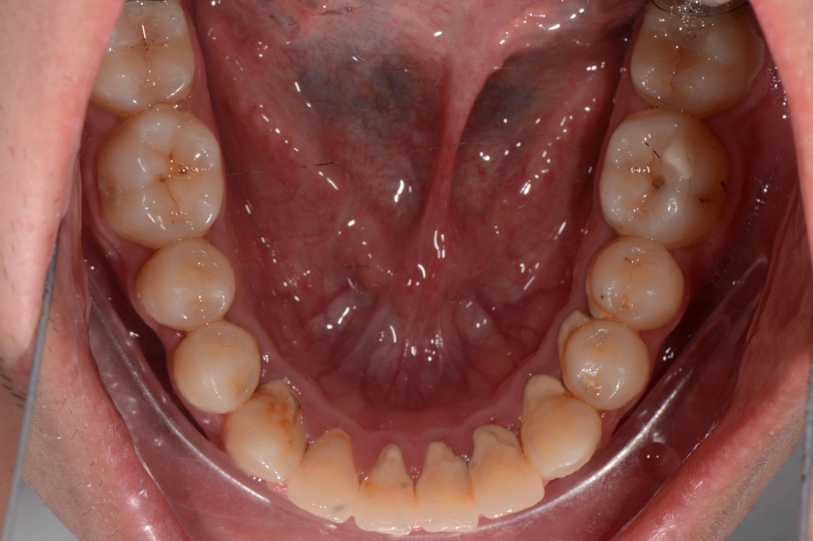
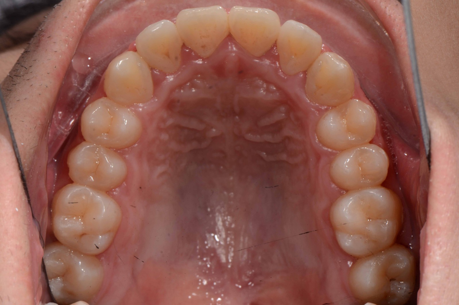
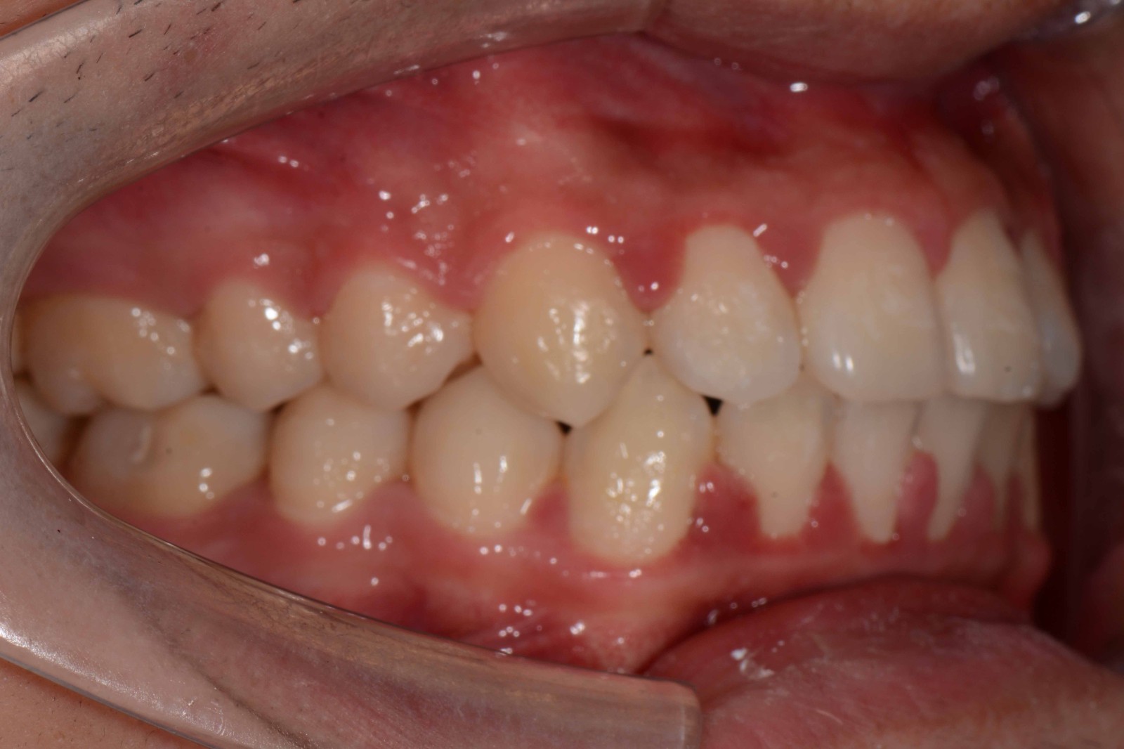
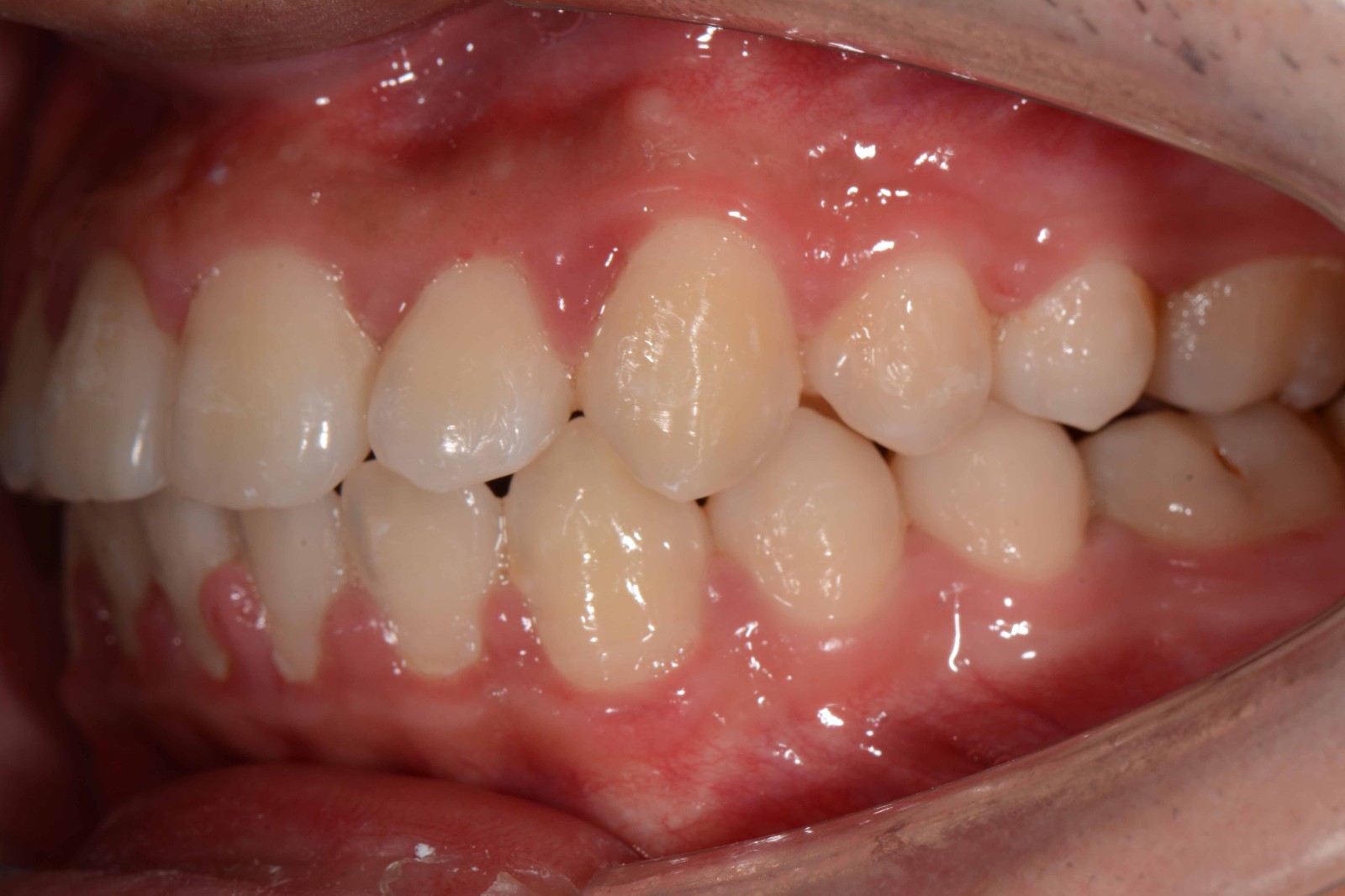
检查:拍摄口内面像照片,拍摄全景片侧位片,口扫,上下颌I-II度拥挤,中线不齐,局部反合,磨牙基本中性关系,上下前牙比较直立。

诊断:安氏I类错颌畸形

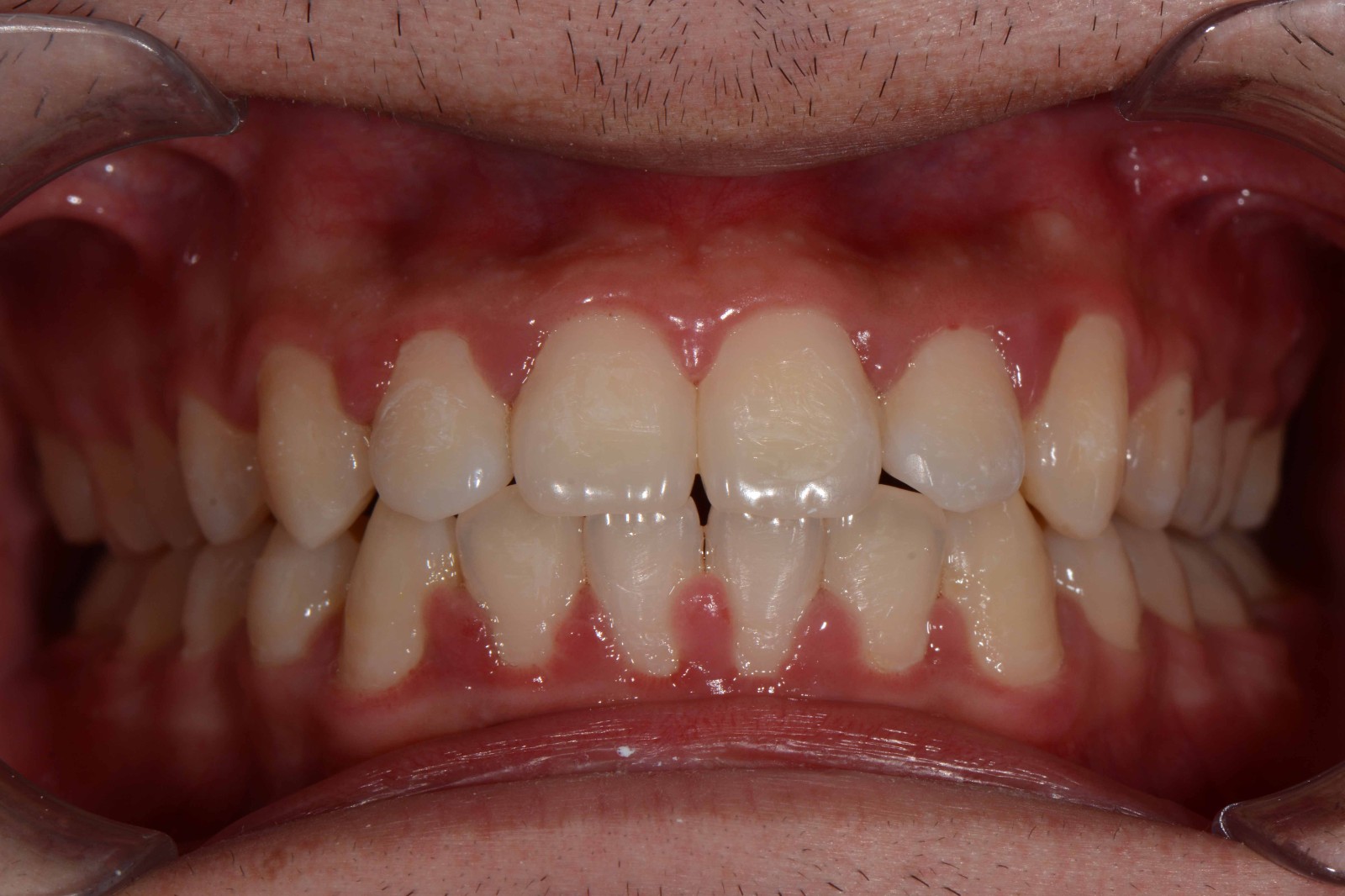
治疗方案:不拔牙矫治,适量扩弓,唇倾前牙排齐整平上下颌牙列,视情况做IPR,调整覆合覆盖,精调,保持,定期复查。


矫治前:




矫治后:


相关疾病: