开合

殷保藏医生 发布于2021-11-23 13:42 阅读量252

本文由殷保藏原创

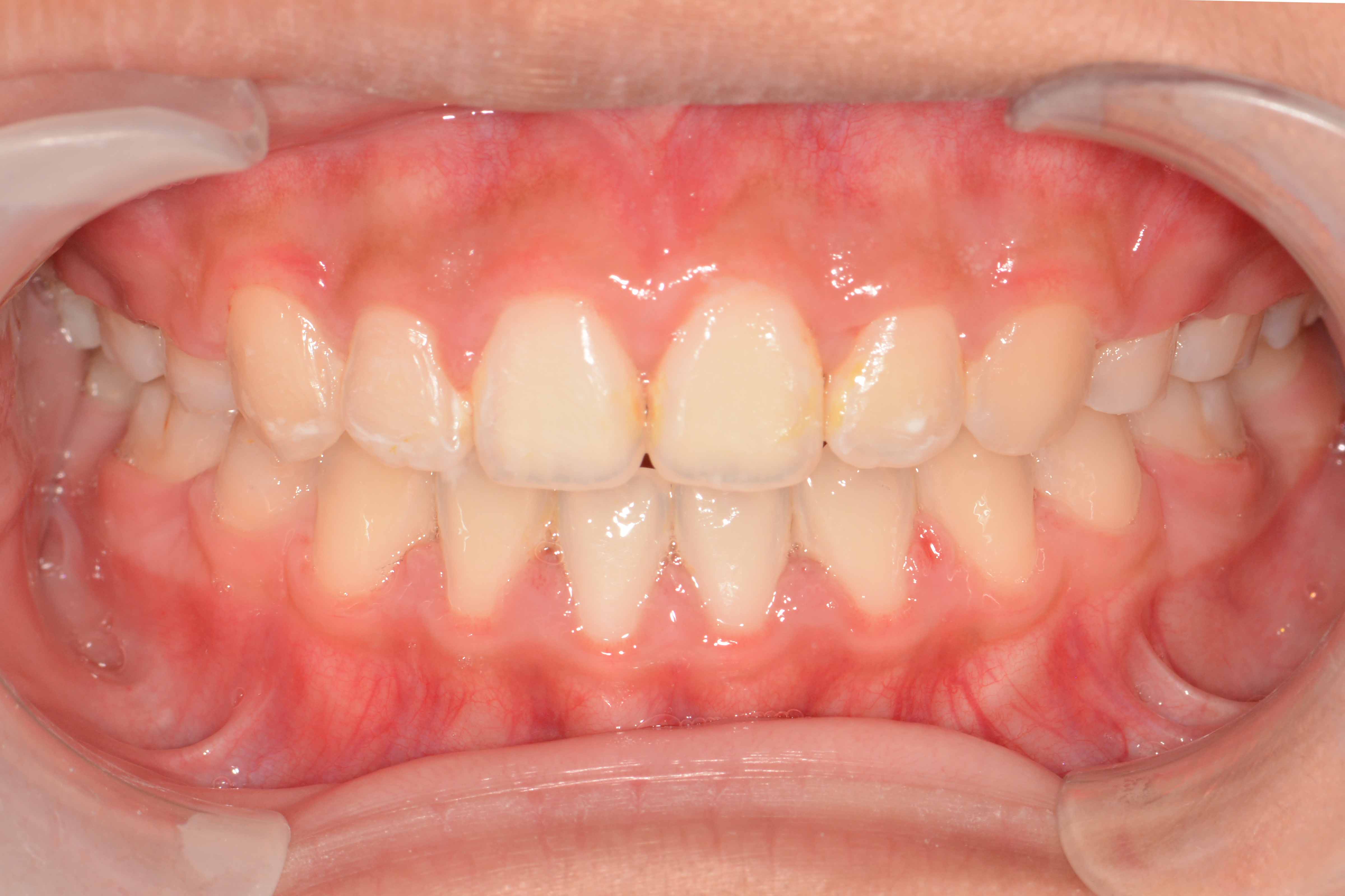
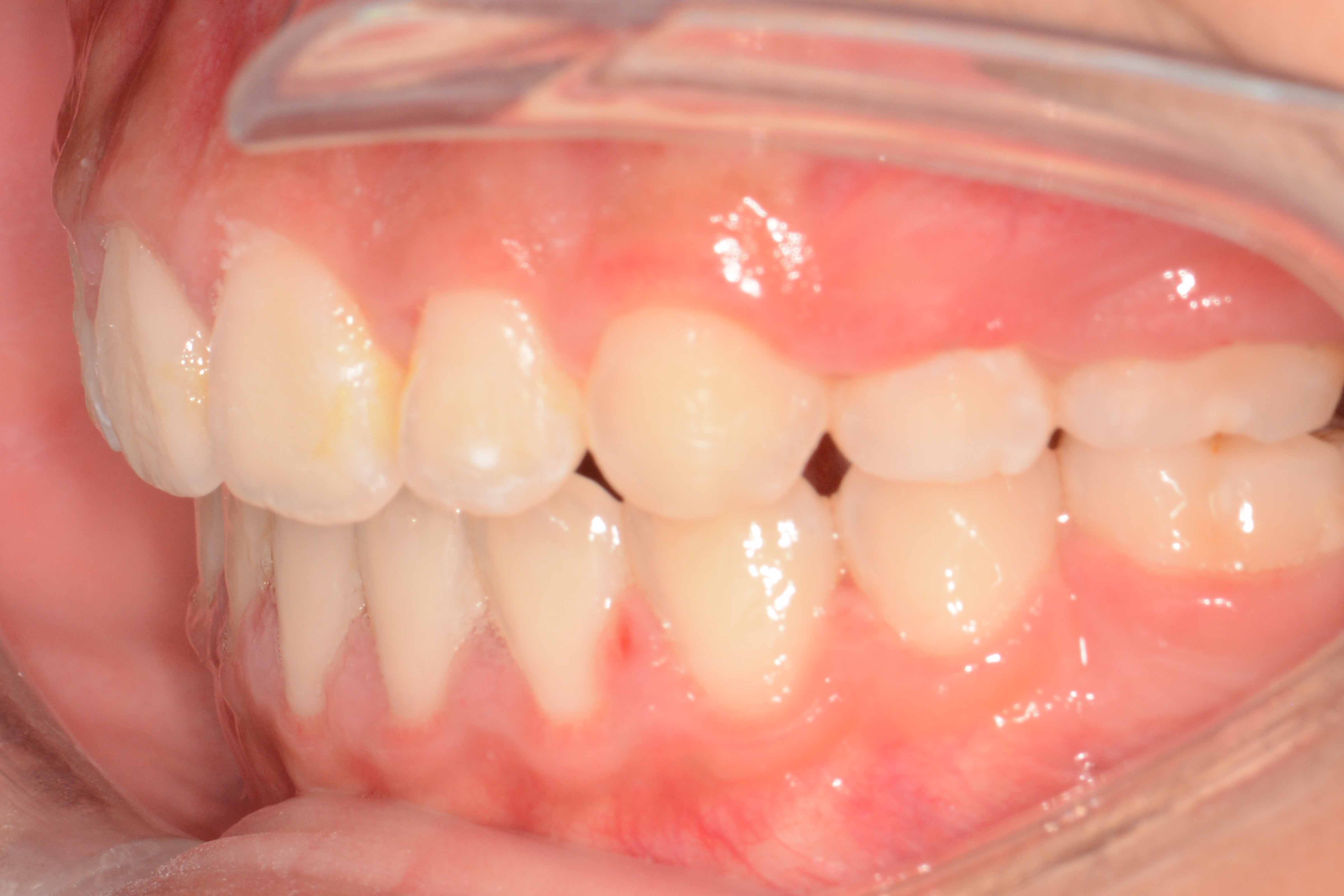
患者:14岁女性

主诉:前牙咬不住,进食不便

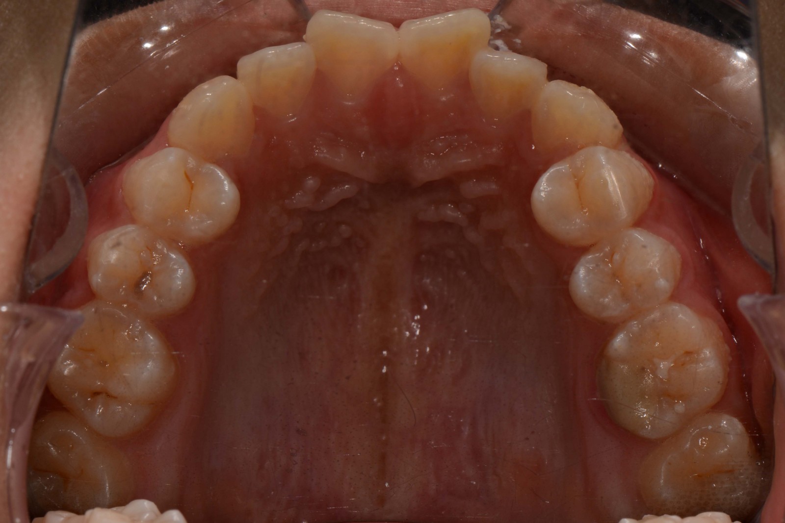
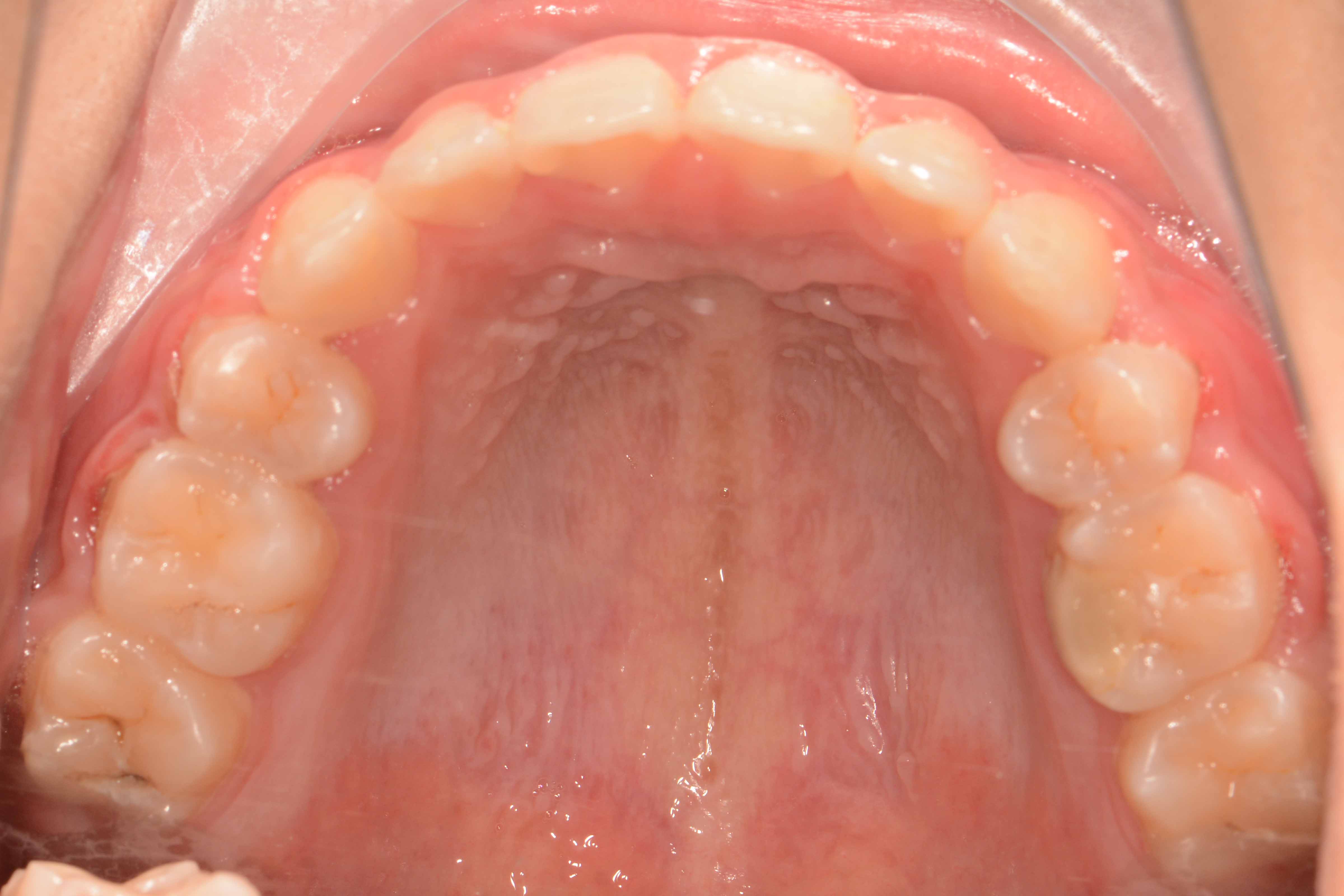
检查:拍摄口内口外照片,侧位片,全景片,口扫;

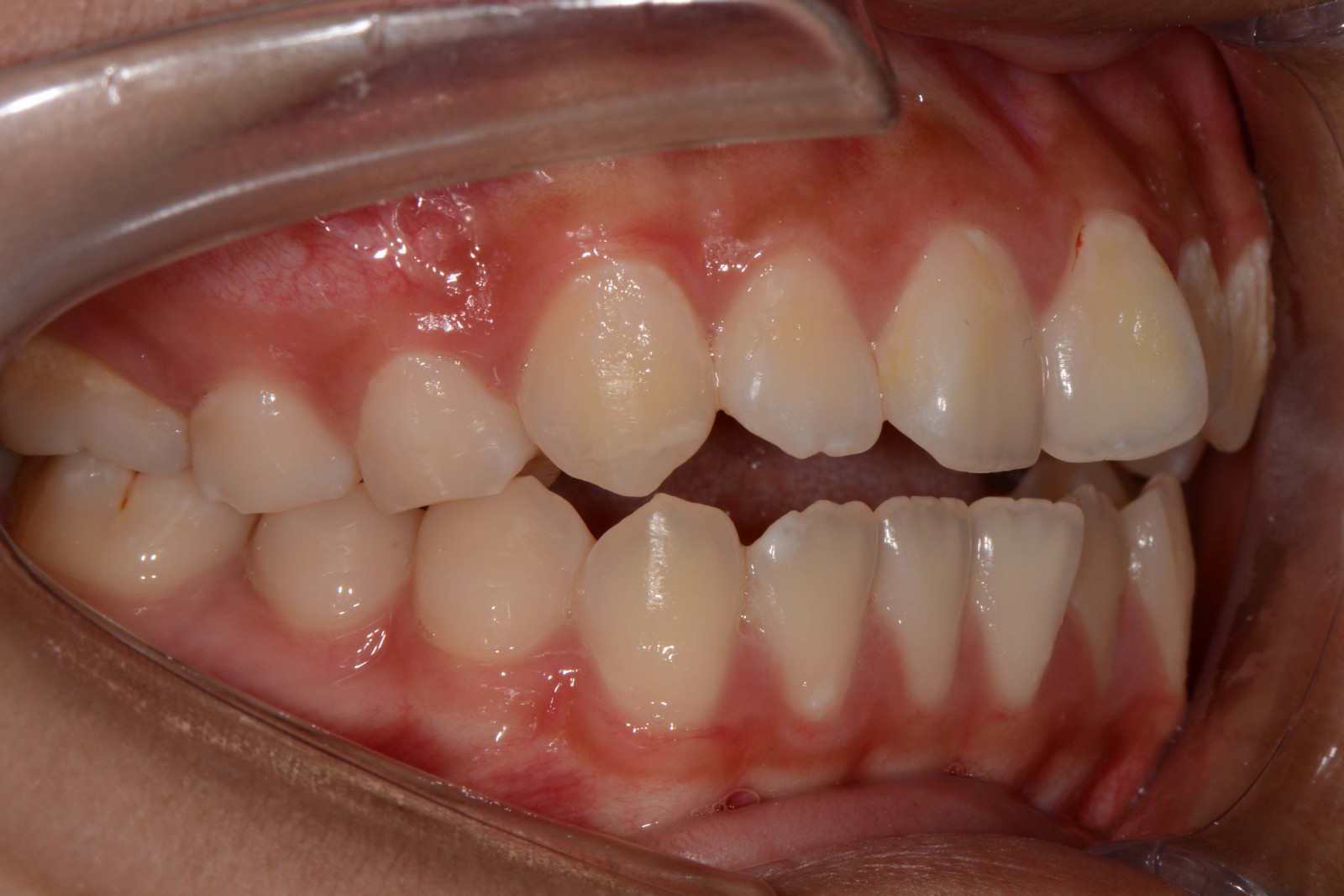
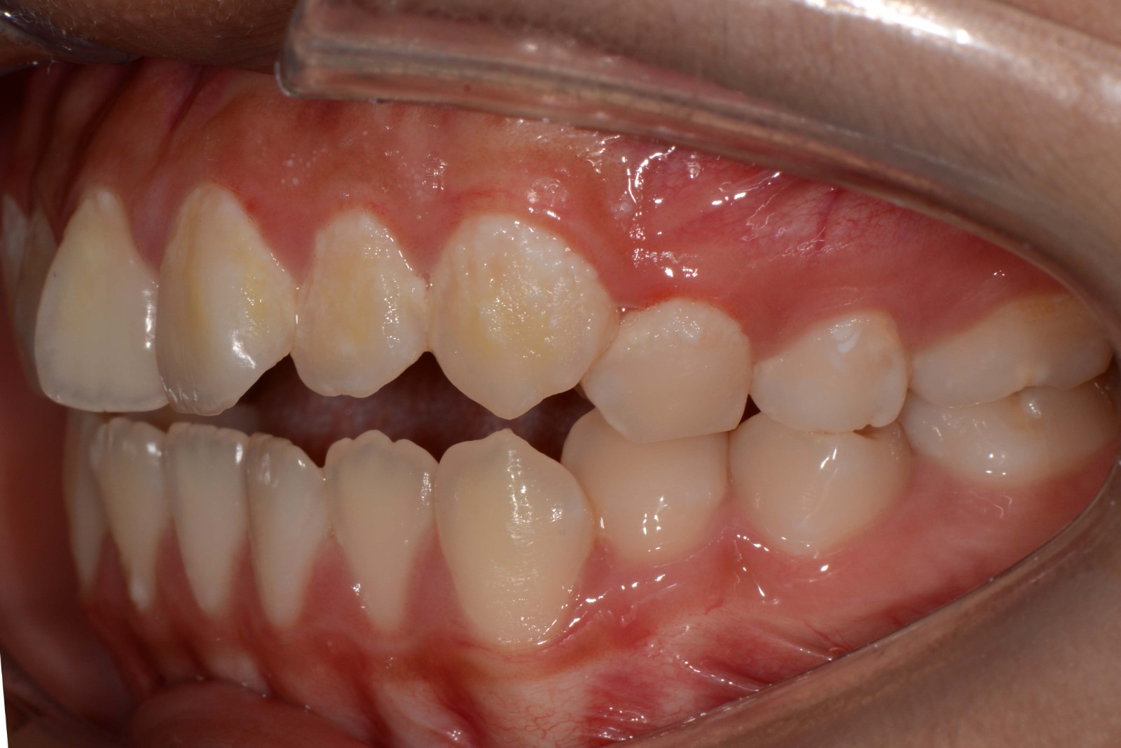
前牙区开颌3mm

诊断:安氏II类错颌畸形  开颌

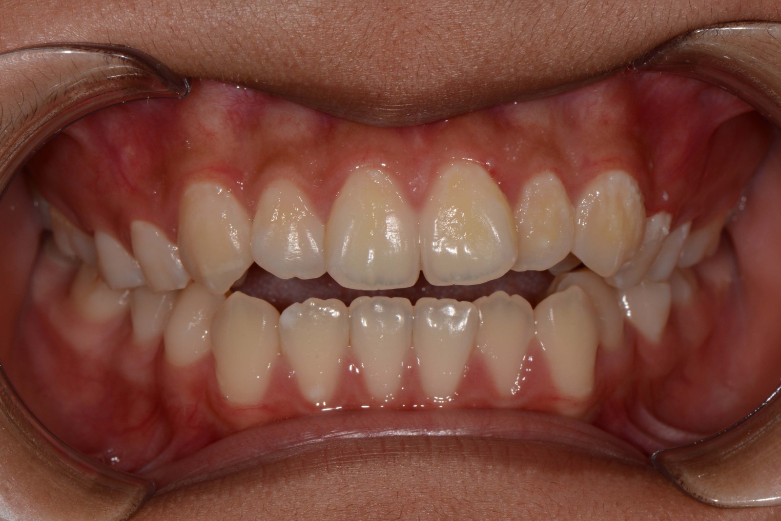
治疗方案:拔除14 24 35 45,排齐整平牙列,调整覆合覆盖至正常,关闭间隙,精调,保持。


矫治前:

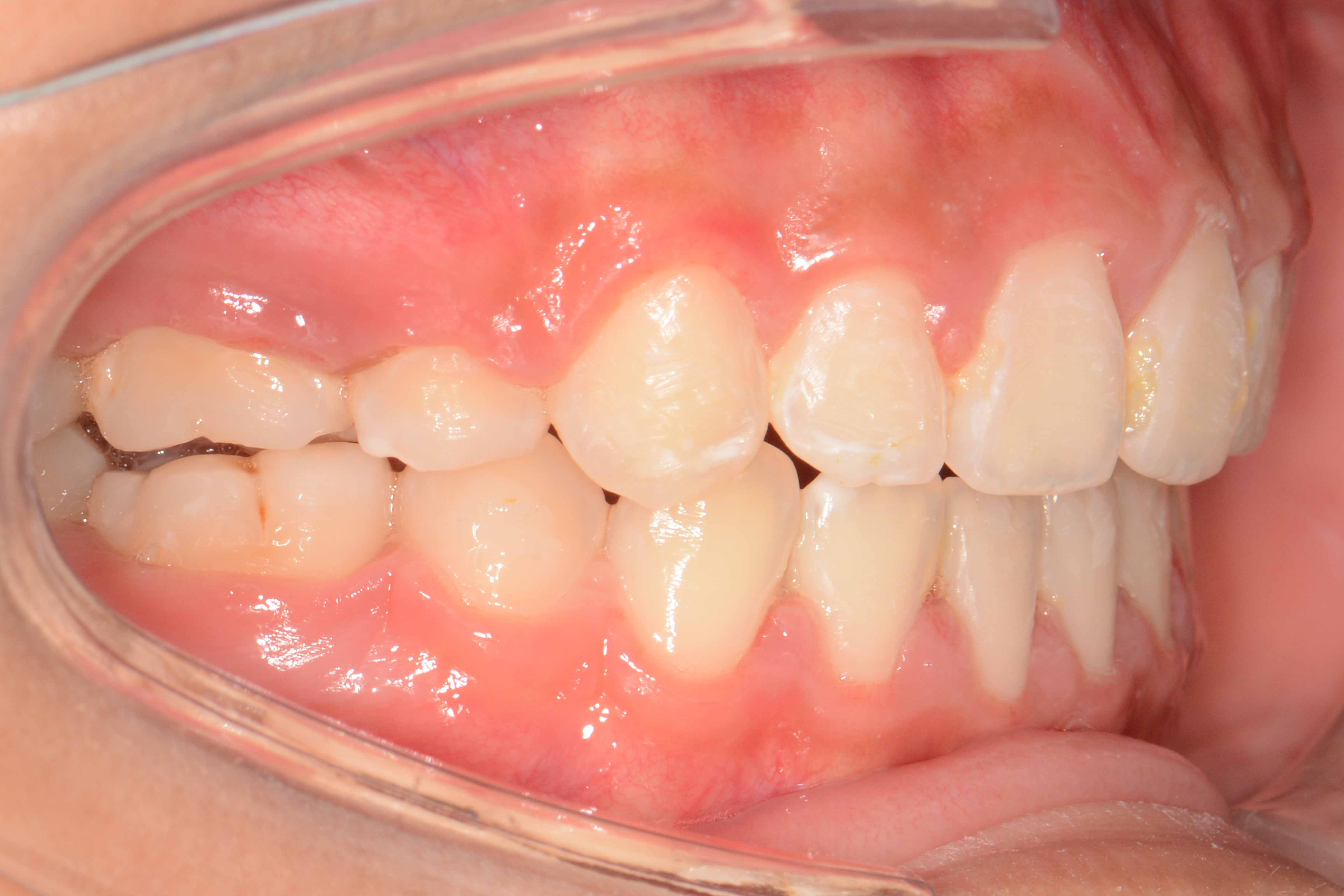
矫治后:


相关疾病: