反颌(地包天,兜齿)

殷保藏医生 发布于2021-11-23 13:32 阅读量190

本文由殷保藏原创


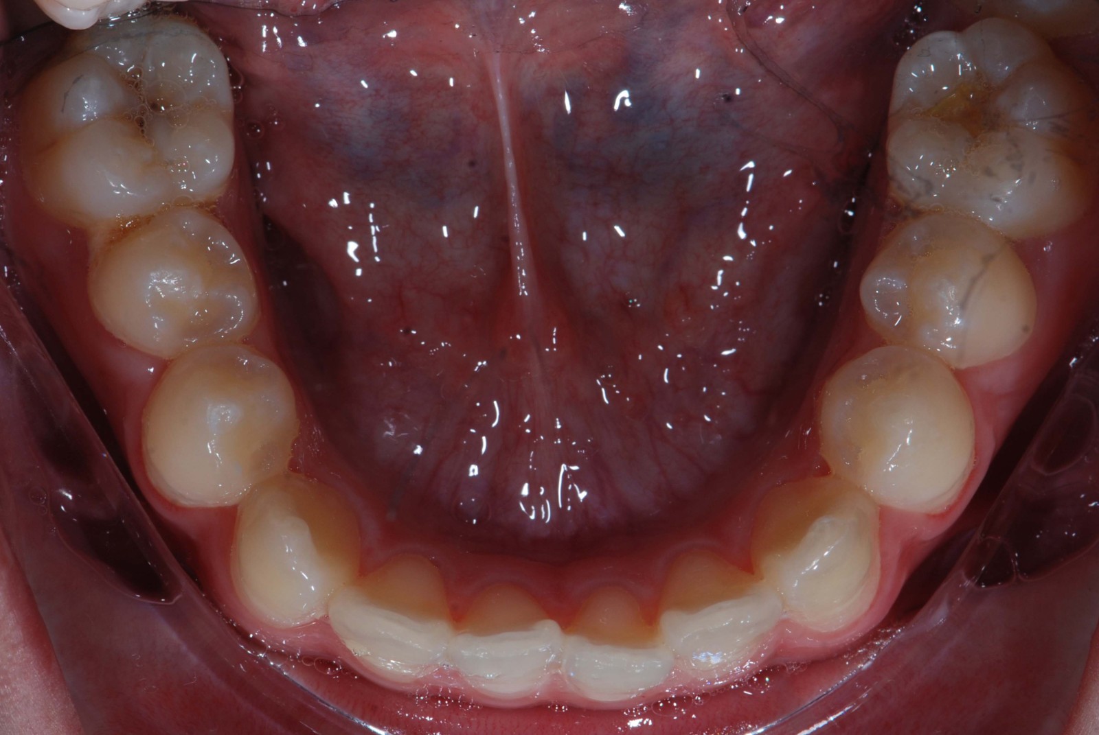
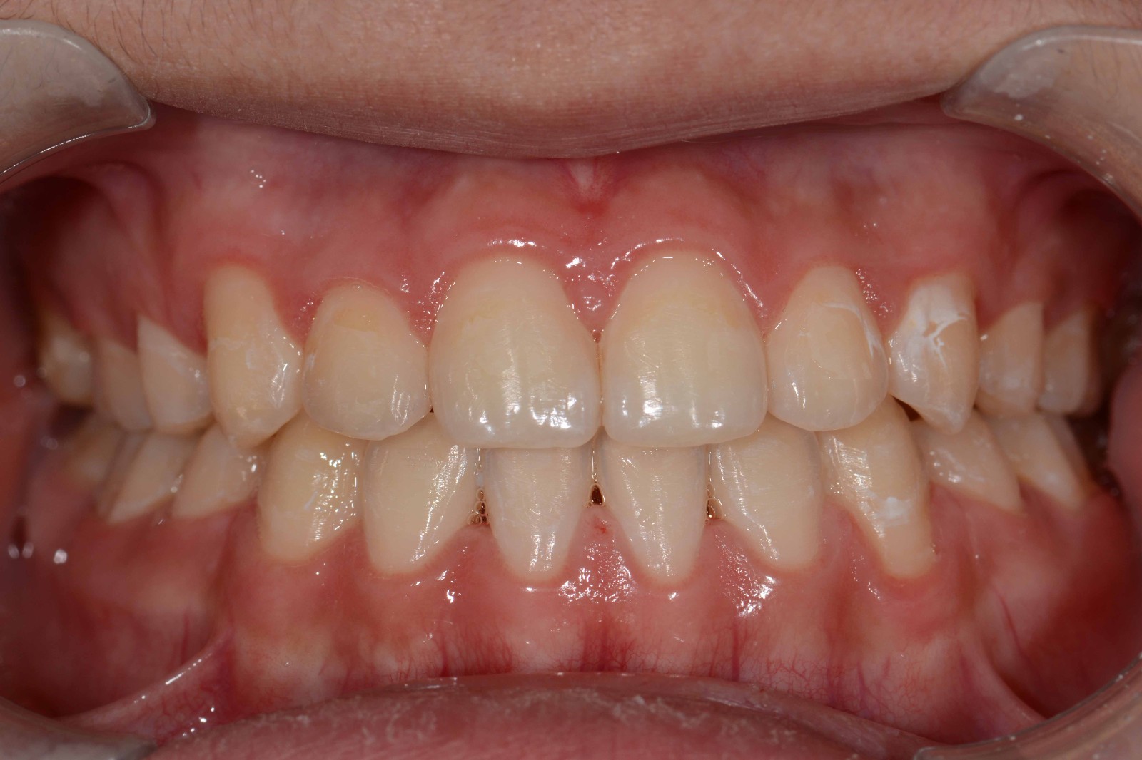
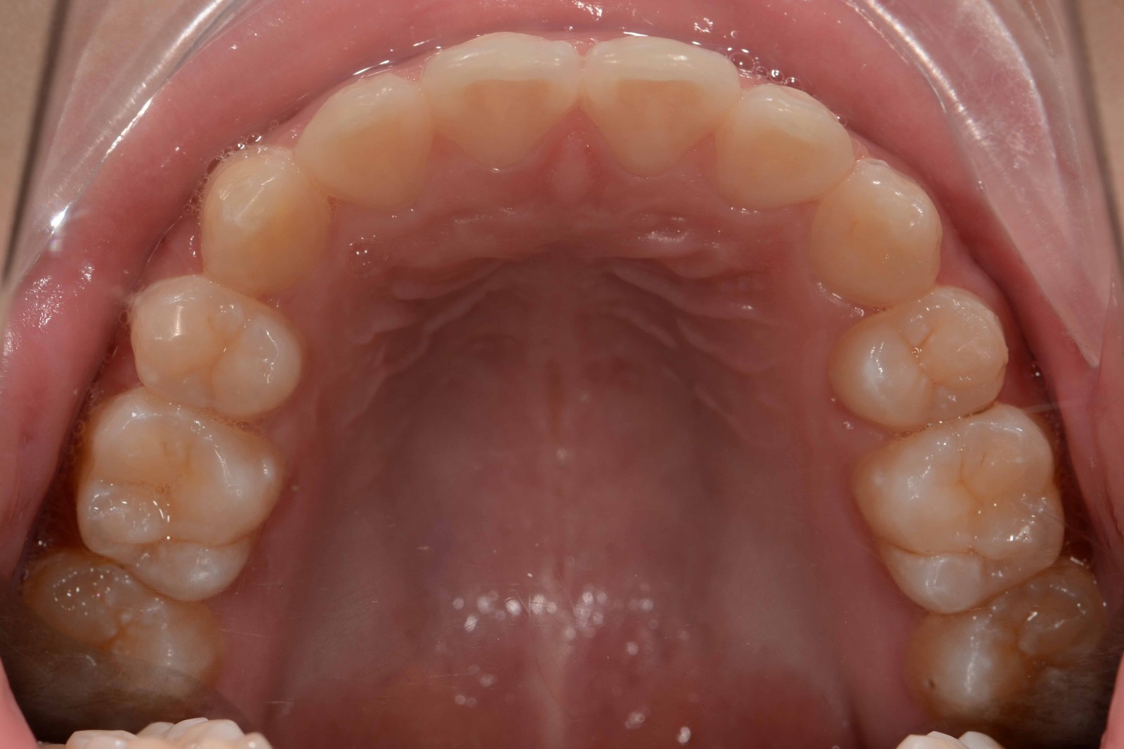
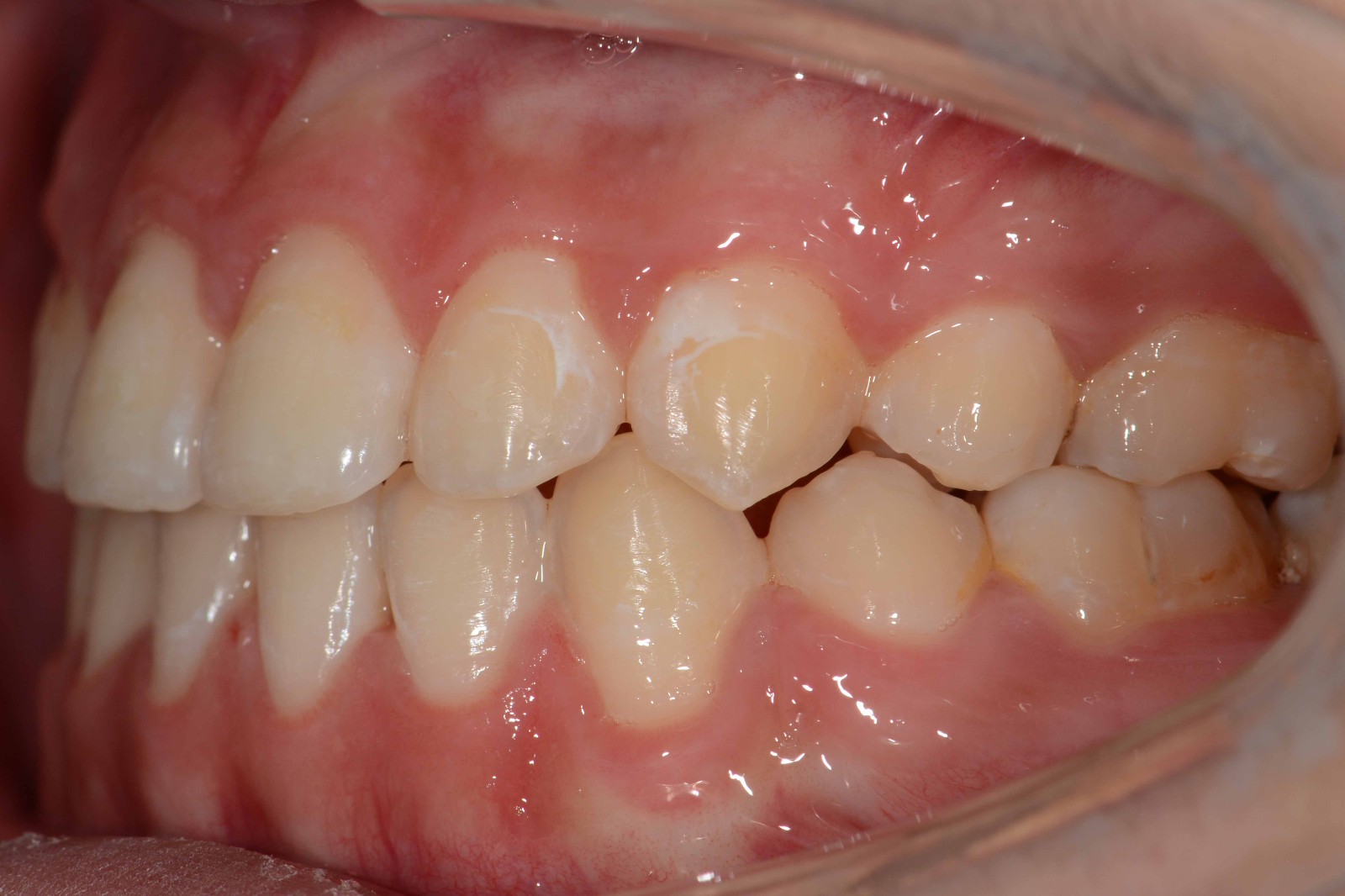
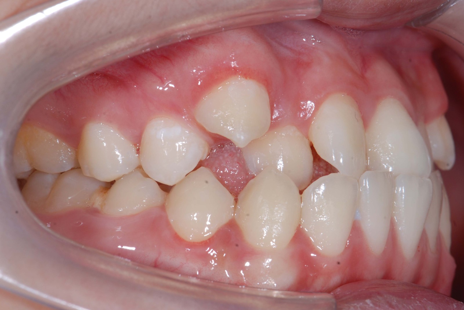
患者:14岁男性

主诉:地包天,牙齿不齐影响美观

检查:拍摄口内面像照,全景,侧位片,口扫,

ANB=3  

前牙反覆盖2mm 

高角

诊断:安氏III类错颌畸形   

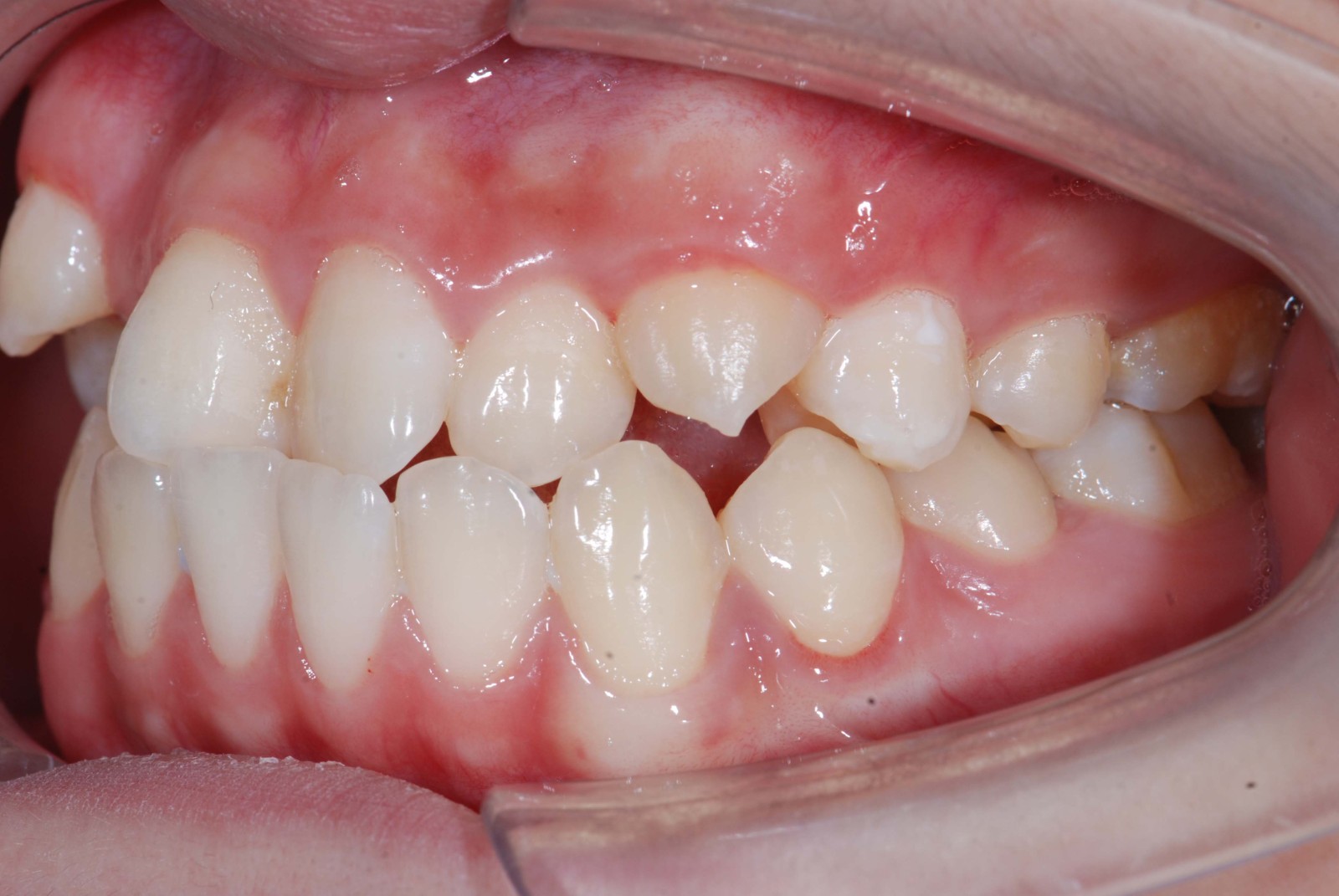
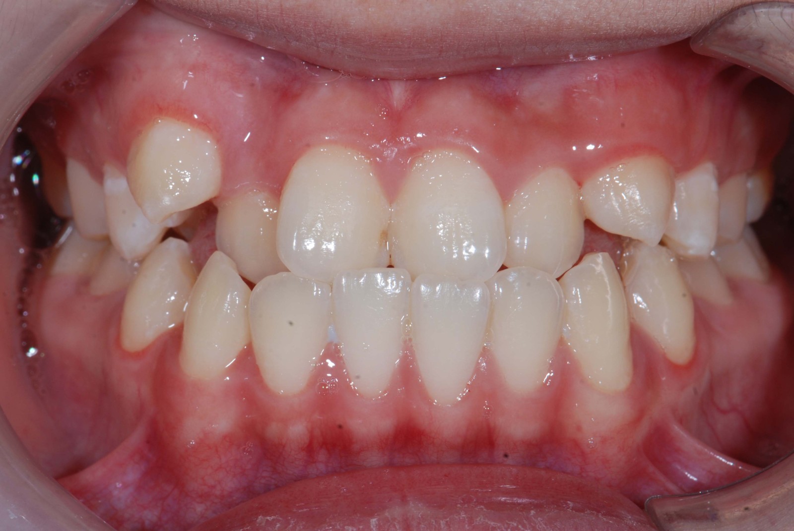
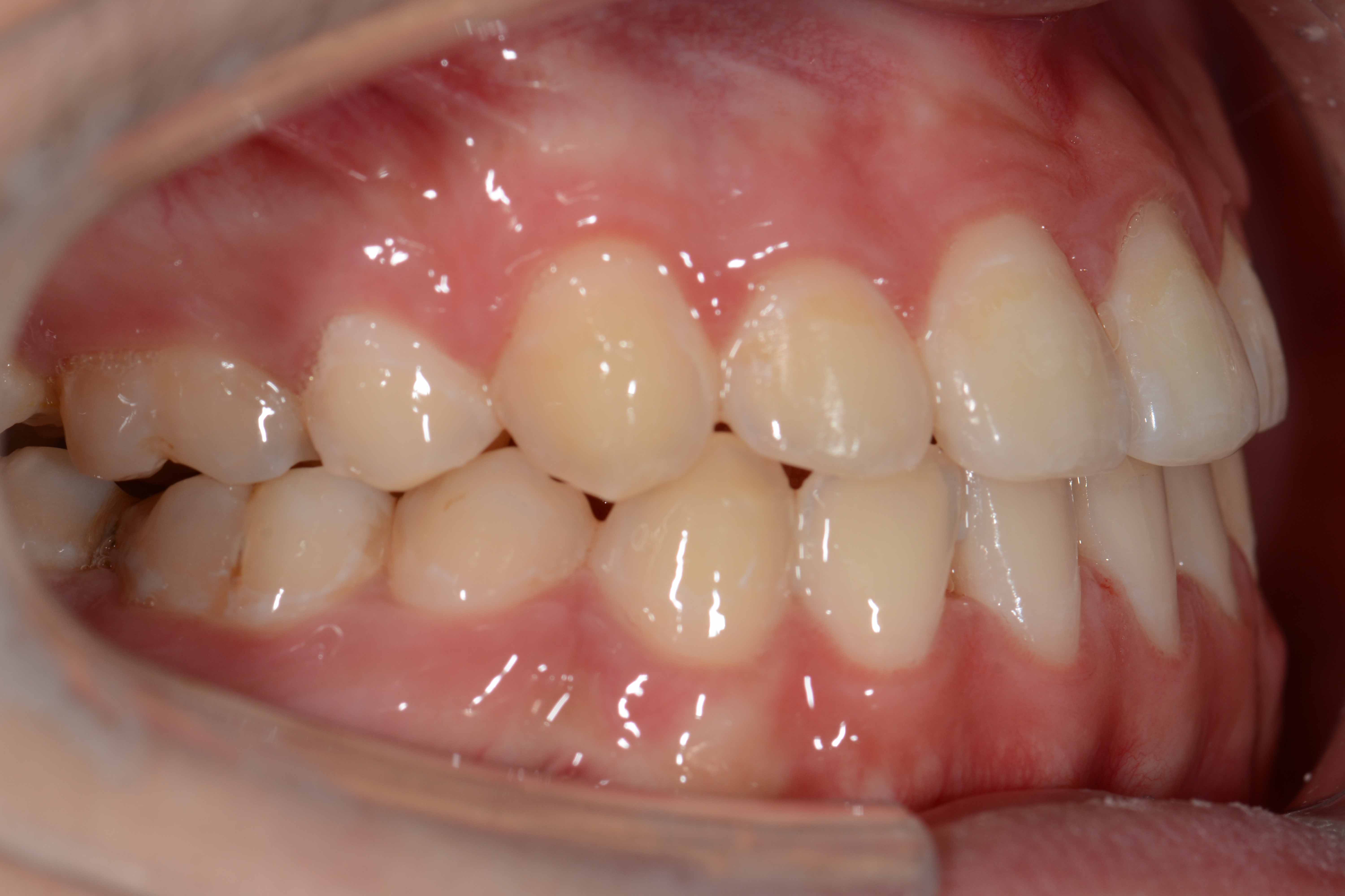
矫治计划:拔牙矫正,拔除14 24 34 44,排齐整平上下颌牙列,解除反颌,调整覆合覆盖,关闭间隙,精细调整,保持,定期复查。


治疗:拔除四颗第一前磨牙,固定金属自锁托槽矫正

矫正前



矫正后


相关疾病: