

最近咋没看到九龙坡坝坝舞一枝花李孃孃呢?
你不晓得啊,李嬢嬢胯胯轴儿遭了,好久都没有来了。

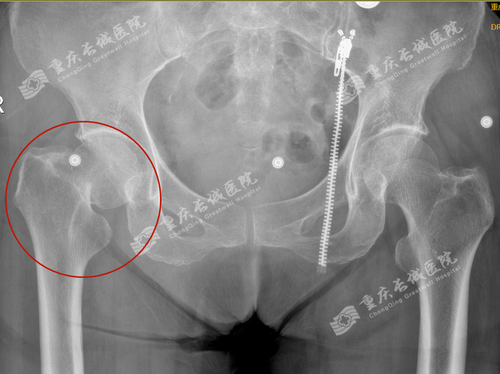
原来李嬢嬢在家行走时感到头晕不适继而摔倒,当即感到右髋部疼痛难忍,活动受限,不能站立及行走。本来打算在家忍忍,休息一下就好了,没想到疼痛越来越剧烈,家人立即把她送到我院骨一科(骨关节科)寻求专科治疗。让我们和李嬢嬢一起来了解一下胯胯轴儿吧!

髋关节(腹股沟部位)又称跨肘子、大胯,是躯干与腿相连接的部位,也是全身负荷体重最多、受力最重的部位,可以使你的躯干和腿能向前、后及侧面自主运动,与腹部和下腰部共同构成身体运动的核心部位,是控制下肢稳定的核心,在日常生活和运动锻炼中发挥着重要的作用。
髋关节是多轴性球窝状关节,由股骨的股骨头和髋骨的髋臼两部分组成,股骨头和髋臼外由厚韧的关节囊包绕,使得关节更加稳固。髋关节周围有大量的肌肉组织包绕为关节活动提供力量。两侧髋关节向上与骨盆连接在一起,并借骨盆与脊柱相接;向下通过股骨干与膝关节相连。此外,髋关节周围还有重要的神经血管包绕,如股动脉、坐骨神经,为关节提供血供和神经支配。

1.髋关节具有屈伸、收展、内外旋转三个自由度,三者常组合存在。
2.髋关节运动均会伴有腰部脊柱的运动,主要有7种运动形式:前屈、后伸、外展、内收、内旋、外旋、环绕,关节活动幅度在前屈和内收位时最大,髋关节的疾病和损伤通常会引起这两个部位的功能障碍。
3.髋关节的股骨头被深凹的髋臼包绕固定后,有大量的结缔组织密封,同时附着很多大而有力的肌肉,如臀大肌、臀中肌、内收肌等,能产生必要的扭转力,以满足身体在各个方向上的加速和减速运动和姿势控制的需要。

1.股骨头坏死
2.发育性髋关节发育不良
3.髋关节撞击综合征
4.类风湿性关节炎
5.强直性脊柱炎
6.色素沉着绒毛结节性滑膜炎
7.髋关节滑膜炎
8.髋部骨折
李嬢嬢就是属于此类情况,入院诊断为:右股骨颈骨折。



人工髋关节置换术是治疗股骨头坏死、髋关节发育不良、退变性髋骨关节炎、类风湿性关节炎等疾病终末期病变的最重要和最有效的手术之一。
人工股骨头置换创伤小、手术时间短、出血少、麻醉风险小,临床实用价值大。对于高龄、骨折前活动能力低、合并有多种疾病、全身情况较差的患者选择人工股骨头置换为佳。而双极人工股骨头在单极人工股骨头的基础上增加了一个摩擦界面,可提供更好的功能和活动范围,有利于减少髋臼关节面磨损,使术后疼痛、假体松动及下沉率减少。对身体条件较差的患者采用双极人工股骨头置换。随访中部分患者患髋有时会酸痛,但不影响关节活动,能满足老年人日常生活需要。全髋关节置换随着手术技术的提高,手术时间明显缩短,创伤减轻,且麻醉技术能及时处理手术并发症,手术风险明显降低。

经过髋关节置换的治疗,我们再来看李嬢嬢的时候,她已经又能走能跑啦,我们的九龙坡坝坝舞一枝花又回来啦!
