

困扰陈婆婆十六年的苦恼
重庆的陈婆婆十六年前不明原因地开始出现膝盖疼痛,有时忍忍就能好转,有时疼痛难忍就去附近的按摩店做做按摩、针灸症状也能缓解,一直未引起重视。随着时间的推移,最近半年陈婆婆的双膝疼痛愈加明显,甚至无法正常行走,出现跛行,严重影响正常生活,听说我院骨一科以治疗关节疾病为特色,遂来我院骨一科就诊。
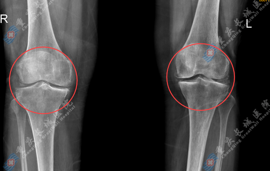
经检查,陈婆婆确诊为:双膝重度骨性关节炎、双膝关节囊积液。


骨性关节炎:膝关节炎主要指膝关节骨关节炎 (knee osteoarthritis, KOA)。该病是一种以膝关节软骨退行性病变和继发性骨质增生为特征的慢性关节疾病,膝关节炎症状往往进展缓慢,随着时间推移逐渐出现膝关节疼痛、肿胀、僵硬、畸形等,导致患者不能灵活活动,严重者可完全无法行动。
膝关节囊积液:滑膜炎是临床常见病,主症是膝关节积液。


双膝关节置换解决陈婆婆十六年苦恼
人体膝关节的表面覆盖软骨,能吸收震动承受压力。软骨特别是半月板在运动时是人体最易受伤的部分,一旦关节受损,就会造成关节疼痛、功能障碍,人工关节置换能有效的重建关节功能,提高患者的生活质量。
人工全膝关节包括股骨假体、胫骨假体和髌骨假体,由金属制成的股骨髁、胫骨托及UHMWPE制成的胫骨垫和髌骨假体几部分组成。

第一次:右侧人工膝关节表面置换术

第二次:左侧人工膝关节表面置换术

陈婆婆因为第一次右膝关节置换在我院骨一科(骨关节科)体验了优质舒适的医疗服务,出院半个月后果断选择我院进行第二次左膝关节置换。患者两次手术均平稳顺利,术后当天下地,跟踪疼痛管理,全程康复指导,且选择了科室无陪护护理特色服务。
在多学科的保驾和支持下,我院以手术医生、麻醉医生、护理人员和执业药师组成的疼痛管理团队,应用多模式镇痛、超前(预防性)镇痛技术,在手术前、手术中、手术后根据每位患者具体情况,进行多模式、个性化、全程疼痛管理,加速康复,提高患者就医体验感和舒适度。
“无陪护”指的是患者住院期间的护理由懂专业、懂技术的护理团队来完成,不需要家属陪护。无论病情观察、治疗处置、心理护理、健康教育、生活照护、快速康复包括营养用餐都是专业、专科的人来提供,让家人放心、患者身心愉悦。
另外,我们为陈婆婆安排了专业康复师全程指导系统完成康复训练。住院全程在没有劳烦家属的情况下,体验了“多学科护航、家属无陪、疼痛管理、康复管理”一站式骨病管理服务。


每次一周,前后大约一个月的时间,解决了困扰陈婆婆十六年的大问题,终于摆脱了膝关节无休无止的疼痛、红肿、酸胀。她也可以帮儿女带带孙子,约上老姐妹出去跳跳舞啦,开朗的笑声传遍了病房。临走之前,陈婆婆和女儿一起为我们骨一科(骨关节科)点上一个大大的赞!患者出院满意笑容,是长城人不变的追求!








审核丨詹学锋、张安骐
图片丨周 渝、张安骐
编辑丨杨 柳