视网膜母细胞瘤(retinoblastoma,RB)在儿童发病率仅次于白血病,是儿童眼部最常见的原发性恶性肿瘤,发病率约1/20000,近年来有增加趋势,全球每年新增RB病例约7202~8102例,具有家族性和遗传性倾向[1-2]。该肿瘤多发生于3岁以前,25%双眼受累,发病率在眼部肿瘤中占据首位,占眼部肿瘤的33.8%,眼内肿瘤为70%(图1)。恶性程度高,可引起全身转移而死亡[1,3]。目前,应用最广泛的治疗方式为眼球摘除术、全身联合化疗以及局部放疗[2,4]。尤其是进展期Rb(Reese-Ellsworth V级)患儿不得不选择全眼摘除来保全生命,摘眼率几乎100%,遗留的终身残疾给家庭及社会带来重大负担[5]。近年来,国外出现超选眼动脉介入灌注美法仑治疗眼内期视网膜母细胞瘤的临床报道,虽然病例数较少,但结果显示了较高的有效率和保眼率 [5-7]。武警总医院神经血管外科自2009年起开展超选眼动脉介入灌注美法仑治疗眼内期视网膜母细胞瘤技术,取得一定疗效,现就其技术要点及临床安全性、有效性进行分析总结。
资料与方法
1.一般资料:2009年4月至2012年6月在武警总医院视网膜母细胞瘤治疗中心诊断为眼内期RB并行超选眼动脉介入灌注美法仑治疗的患儿53例,患眼65只。其中,男性28例,女性25例,年龄范围4~48个月,平均20.1个月。全部患儿均经眼底镜、眼部B超、眼眶CT、眼眶核磁共振检查后确诊。术后随访时间2~41个月,中位时间12.1月。
2.入组条件及观察指标:本研究为回顾性研究,获得医院伦理委员会批准。患儿肿瘤均为初发或复发Rb Reese-Ellsworth分级 V级,占视网膜面积50%以上。按照国际眼内期RB分期(IIRC) C期8只眼(12.3%),D期38只眼(58.5%),E期19只眼(29.2%)。在接受此项治疗前1个月无全身化疗、放疗及局部治疗史。除原发病表现外,无其它异常症状及体征。术前全部患儿心电图、心肌酶、肝功能、肾功能、凝血功能、外周血三系检查均正常。无介入治疗禁忌症。术前与患儿家长充分沟通,并签署介入治疗手术同意书。治疗前后全身表现变化、眼局部变化及介入技术相关并发症为主要观测指标。全身表现指标包括体温、心率、心肌酶、肝肾功能、血常规变化,分别于术前、术后3d和术后10d三次记录。患眼局部检查包括术后眼球运动、眼周及眼睑皮肤肿胀、间接检眼镜、眼部超声、CT或MRI,除观察肿瘤大小在治疗前后变化外,还要观察有无玻璃体出血、眼动脉血管畸形、肿瘤与黄斑、视乳头等重要功能区的关系,有无玻璃体种植、视网膜下种植及视网膜脱离等。
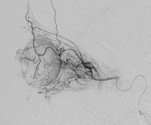
3.超选眼动脉介入灌注美法仑治疗眼内期视网膜母细胞瘤(RB)技术要点:(1)路径选择:超选介入动脉内灌注化疗技术的核心目的是通过微导管超选患侧眼动脉血管,将化疗药物缓慢灌注至眼动脉内,经眼动脉的视网膜中央动脉等肿瘤供血动脉进入肿瘤组织,在肿瘤局部形成高血药浓度,而不会有大量化疗药物进入全身血液循环。A.颈内动脉-眼动脉型:大多数病例采用的路径,微导管在微导丝引导下放置于眼动脉开口处或进入眼动脉开口。B.颈外动脉-眼动脉:在眼动脉纤细或闭塞的病例中采用。其中比较常用的途径为颈外动脉-脑膜中动脉/脑膜副动脉-眼动脉。(2)微导管到位标准:微导管到位后,透视下使用1ml注射器缓慢沿微导管推注造影剂,推注过程中见眼动脉及其分支显影,脉络膜染色均匀,且未见造影剂逆流至颈内动脉或颈外动脉其他分支,说明微导管到位理想。化疗药物灌注完毕后,重复以上操作,明确微导管未移位,如移位则可考虑追加化疗药物(图2)。(3)化疗药物选择、剂量、灌注方式及疗程:美法仑(Melphalan)的化学名称为左旋苯丙氨酸氮芥,是一种细胞周期非特异性药物,主要用于多发性骨髓瘤、乳癌和卵巢癌的治疗,主要副作用为抑制骨髓,近年来用于内视网膜母细胞瘤介入化疗[5-7]。美法仑药物剂量大小与采用的路径类型相关,A路径美法仑剂量为6~8mg/眼/次,B路径美法仑剂量8~10mg/眼/次。药物采用输液泵持续泵入,泵入时间大于30min。一次化疗后1个月复查化疗效果,根据检查结果决定是否继续超选介入动脉内灌注化疗治疗。(4)患儿介入安全注意事项:限制患儿造影剂总剂量在4ml/kg体重(威视派克320);注意放射线防护,尽可能使用小视野,低X线剂量,限制透视时间,降低脉冲(3~6fps),使用铅衣遮挡性腺。(5)操作步骤:静脉麻醉,1%利多卡因局部逐层皮下及股动脉鞘周围浸润麻醉,以Seldinger技术穿刺右股动脉,见到鲜红搏动性出血后,经穿刺针置入导丝,置入动脉鞘时应保持动脉鞘旋转进入,置入后贴膜固定。4F单弯造影导管行常规患侧颈内、颈外动脉造影,根据造影结果选择治疗路径。微导管在微导丝引导下根据微导管到位标准放置到位,配药及药物泵注。
结 果
1.治疗效果:本组53例患儿(65只患眼)中,14例18眼行1次化疗,35例43眼行2次化疗,4例4眼行3次化疗,累计行超选眼动脉介入灌注美法仑治疗116例次,其中A途径98例次,B途径18例次,手术技术成功率100%。53例患儿65只患眼中,55只患眼肿瘤不同程度缩小,有效率84.6%(图3),10只患眼因肿瘤进展而行眼球摘除(15.4%)。未行眼球摘除的55只患眼随访至今,均未发现疾病进展。
2.术后并发症:(1)全身并发症:全部病例治疗后未出现发热、心率异常、休克及败血症等全身症状,术后血常规及生化检查未出现严重的白细胞、血红蛋白及血小板减少,无明显肝肾功能损伤。(2)眼部并发症:最常见并发症为眼睑肿胀(20/65,30.8%)及眼睑下垂(15/65,23.1%),2例患儿2只患眼(2/65,3.1%)出现玻璃体出血,1例患儿1只眼(1/65,1.5%)出现眼球外斜,1例患儿1只眼(1/65,1.5%)出现眼球固定。所有患儿均未出现眼内蜂窝织炎、视网膜萎缩等其它局部并发症。(3)手术并发症:全部患儿均未出现麻醉意外,介入手术过程顺利,心率平稳,术后MRI检查均未见脑血管损害及脑损害等并发症。术后无股动脉穿刺部位血肿或腹膜后血肿。
讨 论
视网膜母细胞瘤是一种对化疗相对敏感的肿瘤,全身化疗在视网膜母细胞瘤患儿的治疗过程中取得了较为理想的结果,提高了保眼率,是目前视网膜母细胞瘤治疗的主要手段[8-9]。但是全身化疗可以引起骨髓抑制、败血症、继发肿瘤等严重并发症,是临床医生难以克服的难题,从而限制了全身化疗在视网膜母细胞瘤治疗过程中的应用范围[8-9]。因此为了克服全身化疗的弊端,临床医生进行了一些化疗方式上的改进。1958年, Reese[10]等人采用直接颈动脉穿刺注射TEM(triethylene melamine)的方法进行视网膜母细胞瘤局部化疗;1966年,Kiribuchi[11]采用经额动脉和眶上动脉注射5-氟尿嘧啶进行局部化疗治疗视网膜母细胞瘤;上世纪80年代末开始,日本人开始采用介入技术下球囊封堵,颈内动脉内灌注技术(及采用股动脉穿刺,将球囊导管放置于患侧眼动脉以远,充气后阻断血流,同时在其近心端颈内动脉内进行化疗药物灌注)注射美法仑治疗视网膜母细胞瘤。以上所有的尝试都是试图通过提高肿瘤滋养血管(主要是眼动脉)内化疗药物浓度,减少全身的化疗药物的使用量来降低全身化疗的并发症发生率。实践证明这几种方法的确从不同程度降低并发症的发生率,并且取得了比较理想的治疗效果。尽管这些方法与传统全身化疗比较有所改进,但从严格意义上来说,这几种方法并非真正意义上的超选动脉内灌注化疗技术,因为化疗药物灌注过程中仍有大量药物进入靶血管以外的正常血管内,降低药物利用率并增加了出现并发症的风险。2008年Abramson[5]首次报道了采用经股动脉穿刺-微导管超选眼动脉灌注美法仑方法,即超选介入动脉内灌注化疗技术,治疗了10例Reese-Ellsworth V级的视网膜母细胞瘤患儿的结果,治疗效果令人鼓舞。研究表明此种方法与全身化疗比较可将眼动脉内化疗药物浓度提高10~30倍,而外周血内浓度微乎其微,大大降低全身性并发症的发生率。此外,经眼动脉灌注的化疗药物还能进入体循环,再经体循环二次流入肿瘤病灶,起到二次化疗的作用[12]。此研究中10例患儿中最终只有2例因病情继续进展而摘除眼球, 同时无一例患儿出现化疗所引起的全身性并发症,而在没有此种治疗方式之前,Reese-Ellsworth V级的RB患儿的摘眼率几乎是100%。本组病历患儿的治疗结果显示,采用超选介入动脉内灌注化疗技术治疗的有效率高达84.6%,其中10只患眼因肿瘤进展而行眼球摘除(15.4%)。未行眼球摘除的44只患眼随访至今,均未发现疾病进展。疗效与国外报道结果基本一致[5-7]。
视网膜母细胞瘤患儿发病年龄80%以上小于3岁,本组报道患儿最小仅4个月,患儿血管纤细,介入操作难度大,同时眼动脉的起源有非常多的解剖变异,眼动脉除直接起源于颈内动脉外,还可以起源于颈外动脉系统,为此项技术的实施增加了非常大的困难[2,5,7]。超选眼动脉介入灌注美法仑治疗眼内期视网膜母细胞瘤(RB)技术为有创治疗,需要患儿在麻醉下进行,术中麻醉药物、化疗药物及放射线损伤是否会引起患儿脏器功能受损,是否会影响患儿造血功能,是否可引起继发肿瘤,患儿能否耐受治疗眼局部毒性等均为开展此项技术必须面对的问题。Carol等[13-14]认为经眼动脉介入化疗引起的全身并发症可能与下列因素有关:(1)对造影剂反应;(2)手术时间较长;(3)美法仑的灌注量大、灌注时间长及药物浓度高。而眼部局部并发症可能与美法仑局部高灌注后引起动脉血管上皮细胞坏死或对眼内的神经产生毒性作用有关[15]。本组资料及国外报道结果证明,通过仔细血管造影分析,轻柔操作,微导管到位理想,减少造影剂使用剂量及手术时间等方法,可大大提高超选眼动脉介入灌注美法仑治疗眼内期视网膜母细胞瘤(RB)技术成功率和安全有效性,使术后并发症的发生率明显降低[5-7]。
虽然此项技术治疗效果较为理想,但由于对技术设备的要求较高,即使在世界范围内,目前也仅在几家大型的医学介入中心开展。此项治疗的远期治疗效果需要大宗病例对照研究以及长期的患者随访观察。总之,超选介入动脉内灌注化疗技术是一种安全有效地治疗手段,大大降低视网膜母细胞瘤患儿的摘眼率,是视网膜母细胞瘤治疗方式的重要突破,也是视网膜母细胞瘤规范综合治疗的重要组成部分。
