最近门诊来了一个13岁的男孩,主诉是近一周出现头痛、眼胀伴恶心呕吐,一问家长才知道,孩子6年前就发现了脑子里有个巨大的囊肿,后面间断性的复查,最近却突然出现了症状。我调阅了孩子6年前的片子,然后立马给他安排了住院。

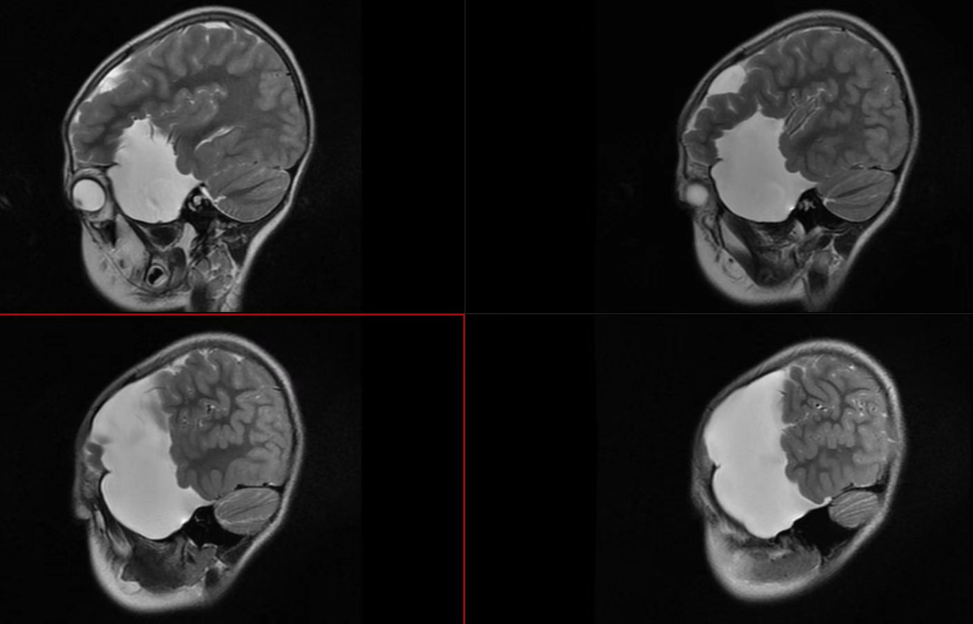
2019.8月颅脑核磁共振(脑内白色均匀信号为蛛网膜囊肿)
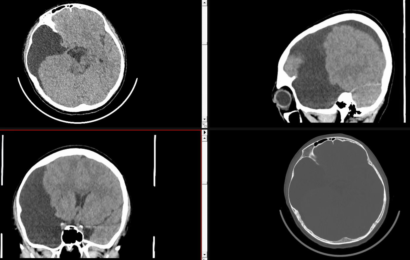
住院后完善颅脑CT,对比以前囊肿体积和范围都有增大,并且中线受压偏移,颅骨侵蚀变薄。

2025.7月颅脑CT(囊肿体积增大,侵蚀颅骨,中线移位)
其实门诊蛛网膜囊肿比较常见,借此机会跟大家科普一下这个疾病。
一、藏在脑中的“囊泡”是什么?
蛛网膜囊肿是一种先天性的良性脑部病变,本质是脑脊液在蛛网膜下腔异常聚集形成的囊性结构。它的囊壁由蛛网膜、神经胶质等组织构成,内部充满类似脑脊液的液体,就像颅内的一个“静默水泡”。据流行病学统计,人群中发病率约为0.5%,多在儿童及青少年时期偶然发现,男性患者略多于女性

1. 先天性因素:胚胎发育过程中,蛛网膜分裂异常导致局部脑脊液流动受阻,逐渐形成囊肿。
2. 继发性因素:少数病例可能由颅脑外伤、脑膜炎等后天因素引发,但占比不足10%。
需要注意的是,蛛网膜囊肿并非肿瘤,也不会癌变,属于非肿瘤性占位病变。
| 常见症状 | 具体表现 |
|---|---|
| 颅内压增高 | 头痛、恶心呕吐、嗜睡(多见于儿童) |
| 神经压迫 | 癫痫发作、肢体无力、视力/听力下降 |
| 颅骨发育异常 | 儿童可能出现头颅两侧不对称、巨颅畸形 |
| 罕见并发症 | 囊肿破裂出血、脑积水(需紧急处理) |
注意:头痛、头晕等症状缺乏特异性,需结合影像学检查确诊。
2. 鉴别诊断:需与表皮样囊肿、囊性肿瘤等区分,MRI的DWI序列有助于鉴别。
(多数无需干预,少数需手术)
1. 无症状者:定期观察
- 建议每6-8个月复查一次MRI,监测囊肿变化。
- 儿童患者需更密切随访,因其囊肿可能随颅脑发育而变化。
2. 有症状者:手术干预
手术指征:
- 囊肿持续增大并压迫脑组织
- 引发癫痫、严重头痛或神经功能缺损
- 合并脑积水或硬膜下血肿
主流术式:
- 神经内镜造瘘术:通过微创切口打通囊肿与蛛网膜下腔,恢复脑脊液循环,是首选方案。

- 分流术:将囊液引流至腹腔,适用于复杂病例,但存在分流管依赖风险。
后续给患者安排了神经内镜下治疗蛛网膜囊肿,目前恢复良好。家长们如果检查遇到了蛛网膜囊肿,不妨带着孩子来深圳大学总医院神经外科门诊咨询问诊。