鸟氨酸氨甲酰转移酶(OTC)缺乏症(ornithine transcarbamylase deficiency,OTCD),又称高氨血症Ⅱ型,是由OTC基因突变引起OTC酶活性降低或缺失,导致的鸟氨酸循环障碍疾病,是遗传性尿素循环障碍中最常见的类型。此病极为罕见,有报道显示OTCD发病率仅为1/80 000~1/56 500。

迟发型OTCD起病隐匿,首次急性发作即可出现昏迷、呼吸衰竭及致死性脑水肿,甚至猝死。根据发病年龄,以1岁为界将其分为新生儿型和迟发型,迟发型往往在首次发病前生长发育正常,临床表现缺乏特异性症状和体征,易被误认为胃肠疾患、肝病、食物或药物中毒以及颅内感染而延误诊治。本文结合具体病例,介绍认识该疾病的临床表现及发病机制,以期引起医务人员及家属对该病的重视。

临床病例
11岁男性,因“头晕、恶心3天,精神行为异常半天”为主诉入院,患者于入院前3天无明显诱因出现头晕,伴恶心感,干呕,尤其是进食后,食欲降低,当天有腹泻3-4次,无发热、无咳嗽、无腹胀,入院前半天前出现狂躁,胡言乱语,意识障碍,查生化提示血氨高达369umol/L,肝功能损伤,查血尿代谢筛查提示:鸟氨酸氨甲酰转移酶缺乏症,给予排氨等对症治疗,患儿生命转危为安。后经家属同意后行基因检测,重点关注尿素循环障碍相关基因,基因检测结果为其母为携带者,向患者及其母亲交代注意事项(避免高蛋白饮食、感染、应激等诱发因素)。
发病机制
OTC的编码基因位于X染色体短臂,主要在肝脏中表达。OTC基因突变引起鸟氨酸氨甲酰转移酶活性降低或缺失,导致鸟氨酸循环(尿素循环)障碍。OTCD为X连锁遗传病,患者多为男性,女性携带杂合致病变异也可能发病,10%~15%的杂合子女性有症状,但临床表现一般较男性轻,发病较晚。

正常情况下氨基酸在体内代谢产生的氨,经过鸟氨酸循环合成尿素,随尿排出。OTCD主要影响鸟氨酸循环,导致产生的氨不能顺利排出体外。

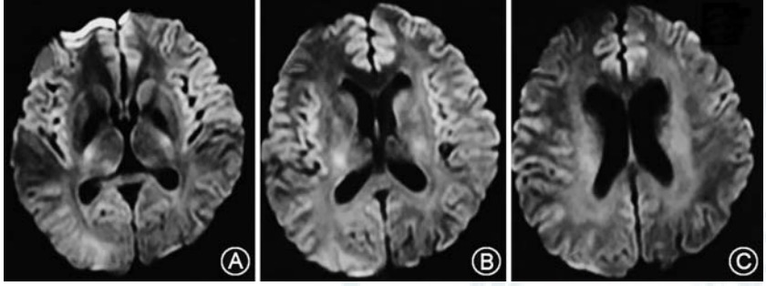
当氨在体内浓度甚高时,可导致脑水肿,诱发神经元和神经胶质细胞的变形、凋亡和坏死,还可以影响神经传导和大脑发育。头颅MRI多提示以额叶、岛叶皮质受累为主,急性发作期常见弥漫性脑水肿等,严重时可出现脑疝、梗死样表现。

临床表现
OTCD主要表现为高氨血症导致的中枢神经系统功能障碍及肝损伤。
迟发型患儿常于婴幼儿期起病,临床表现多样如肝大、癫痫、生长发育迟缓及行为异常等;儿童期发病的患者常表现为发育迟缓、肝大及慢性神经系统损伤如精神发育迟滞、烦躁易怒或发作性呕吐等症状。
大多数迟发型患者初次发病之前并无特异性症状,或仅表现为厌食高蛋白质食物,常因发热、禁食、高蛋白饮食、感染等因素诱导急性发病。急性期以高氨血症、神经精神异常为主要表现,如突发意识障碍、惊厥、一过性视力丧失等,同时可伴呕吐、肝功能损害甚至急性肝衰竭等症状,常有情绪异常、多动、幻觉、烦躁、狂躁等精神症状或攻击行为,严重时可发生猝死。
治疗
目前OTC缺乏症尚无特效药物治疗方法,临床治疗目的是减少产氨、促进氨排泄、降低血氨水平,并减少并发症的发生。急性期的治疗原则是降低血氨、稳定内环境、保护重要器官功能;长期治疗原则是控制饮食,服用降氨药物,预防高血氨危象的发生,尽量保证患者生长发育所需的营养。如果经饮食及药物治疗均不能缓解患者高氨血症,需进行肝移植。
总结与启发
对不明原因的呕吐、意识障碍及肝功能异常的患儿,特别是伴随头颅MRI提示额叶、岛叶皮质异常的,应高度警惕OTCD可能,必要时血尿代谢筛查,早期诊断、合理治疗是改善预后的关键。
