患者张先生,在28年前患有痛风症状,双手、腕部、肘部、双足、双踝、双膝疼痛难忍,但未引起自身重视。
7年前,张先生发现全身多处长起大小不等的包块,也未及时到医院检查治疗,疼痛时也是只口服些止疼药缓解疼痛。


直至今年年中,张先生因右跟部后外侧包块开始出现破溃,反复流脓水六个月,才感觉病情严重,经多方打听后,遂到我院诊治。

经检查尿酸明显增高,初步诊断为:
2、右跟部包块溃疡感染
因右足跟外侧反复流脓水,为排除恶变的可能,综合各方面因素,最终选择先对患者在腰硬联合麻醉下行右跟部包块感染扩创,包块切除术,后将包块送病检,最终排除恶变,性质为痛风石。
患者及家属得知病检排除恶变结果后,心里的石头终于落下了,安心的接受术后恢复治疗。


经短暂住院抗感染等对症治疗后,患者右足跟外侧伤口愈合良好,顺利出院。
由于张先生经过手术后的右跟部恢复良好,未见明显增生及挛缩。所以两个月后,张先生再次来到手足显微外科,表示希望帮他切除身上的其他包块。



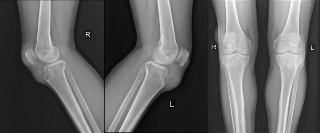
张先生再次入院,初步查体显示:右肘关节后侧、左膝关节髌骨上缘、左膝关节髌骨下缘、右膝关节髌骨上缘双侧、右膝关节髌骨下缘、右外踝、右足背近端等多处包块,左足第四趾末节指腹,性质为痛风石;其余多处关节增粗。

(术前)
结合几项相关检查,及患者的治疗意愿,决定采用手术切除其余包块,以达到最佳治疗效果。


术中包块切除



经过全身多处包块切除手术后,患者大部分痛风石得到清理,因患者右膝关节腔包块切除术后,关节腔与外界组织相通,少量关节液反复流出,经医护人员后期专业的治疗与精心护理,关节伤口愈合,关节功能恢复良好,顺利出院。


术后恢复良好



有些痛风石就算手术取出,相应的结构也已经受到破坏,导致术后无法正常行走。
温馨提醒:痛风治疗不规范,会导致发展成慢性关节炎、痛风石形成、肾脏病变等并发症。一旦被痛风“缠”上,切忌不痛就不查不治,及早、规范治疗才能有效降低痛风石各种并发症。
