单枚弹簧圈完美栓塞输卵管

冯长征医生 发布于2024-10-07 10:00 阅读量61

本文由冯长征原创

输卵管间质部长约1cm,管腔狭窄,直径0.5-1mm。峡部在间质部外侧,长约2-3cm,直径约0.2-2mm。输卵管间质部和峡部的管腔是输卵管最细的部位,管腔比较容易封闭。输卵管间质部和峡部的总长度也就3-4厘米,一般栓塞弹簧圈长2厘米,栓塞段的长度也合适,因此输卵管间质部和峡部是最适合的栓塞的部位。

2013年在胃肠机上点片的造影片可以明确显示双侧输卵管间质部和峡部细,长度约4厘米。

微信图片_20240223171114(1).jpg


2014年5月在DSA上行输卵管近段介入栓塞术

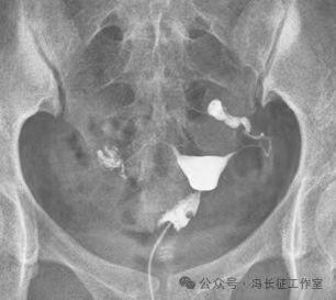
栓塞前造影也显示双侧输卵管间质部和峡部细长,适合栓塞。于是向双侧输卵管间质部和峡部各栓塞一枚3/2(长2厘米,一端直径小2毫米另一端直径大是3毫米,就是向宝塔一样,有时被称为塔圈)弹簧圈。

微信图片_20240223171147(2).jpg
微信图片_20240223171216(3).jpg


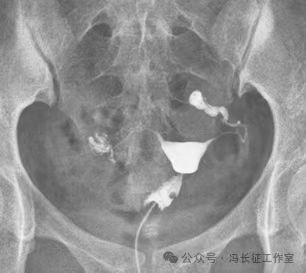
栓塞后造影显示弹簧圈固定在双侧输卵管间质部和峡部近段,造影剂未能通过栓塞段,说明输卵管管腔被完全封闭。

微信图片_20240223171250(4).jpg


介入栓塞手术报告单

微信图片_20240223171354(5).jpg


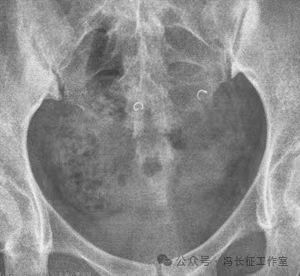
栓塞术后7个月于2015年1月做子宫输卵管造影复查看看栓塞效果

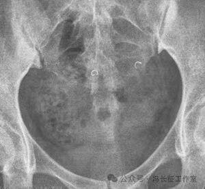
平片显示盆腔内2个C形高密度影为弹簧圈

微信图片_20240223171417(6).jpg

造影显示2个弹簧圈紧实固定在输卵管间质部和峡部近段。弹簧圈两端由于弹性回缩力的回缩呈C形,卡在输卵管内壁上,完全封闭管腔,造影剂未能进入通过栓塞段,栓塞段输卵管远端未能显影。

微信图片_20240223171446(7).jpg


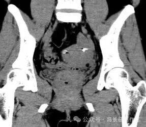
冠状位CT重建图显示宫底2侧的弹簧圈

微信图片_20240223171515(8).jpg


CT三维重建显示弹簧圈都成呈C形

该图片可能引起不适

继续查看

这就是一例单枚弹簧圈完美栓塞,明确显示栓塞单枚弹簧圈最严实。

相关疾病: