输卵管积水主要是炎症和子宫内膜异位症等引起,因为有相同的病理基础,一般输卵管积水是双侧性的,也就是双侧输卵管积水。单侧输卵管积水主要见两种情况,一是位于盆腔比邻的器官感染等病变累及到同侧输卵管;二是输卵管术后比如输卵管妊娠保留输卵管。
输卵管积水分为两种:
放射科的子宫输卵管造影是诊断输卵管积水最准确直观的无创检查方法,同时还可以对输卵管粘膜功能做一个初步评估。
关于输卵管积水我们需要重点关注两点:
一、评估一下输卵管的粘膜功能是否正常,如果伞部和壶腹部粘膜功能大致正常(图1),就做输卵管积水伞端造口术。如果输卵管粘膜少或无,导致输卵管生殖功能丧失(图2),就直接做试管婴儿。
二是对于做试管婴儿来说,非交通性的输卵管积水因为输卵管近段已阻塞,积水不能倒流入宫腔,对试管婴儿没有影响,不需要处理积水,可以直接做试管婴儿。交通性输卵管积水,积水可以倒流入宫腔,在移植胚胎前需要对积水进行处理。目前处理输卵管积水的方法有两种:
为什么说输卵管积水最大的坑就是“输卵管积水致密栓塞”? 输卵管栓塞弹簧圈是COOK等公司生产的常规用于血管栓塞的铂金弹簧圈,弹簧圈是由做为支架的铂金丝和人造纤维制成,部分人造纤维突出铂金丝外侧呈毛刷状。出血的血管栓塞是通过栓塞的弹簧圈然后形成血栓闭塞血管腔的。而输卵管的栓塞是以机械性栓塞为主,通过纤毛为弹簧圈增加与输卵管壁的阻力,使弹簧圈固定在输卵管管腔内。随后2-3周,弹簧圈逐渐产生无菌性炎症刺激纤维组织增生,造成组织的良性增生,把它固定在输卵管内,阻止了输卵管再通的可能性。最终为弹簧圈阻断了输卵管腔内的通道,使输卵管远段积水不能倒流入子宫腔,不再影响移植胚胎的着床和持续妊娠。输卵管的肌肉像我们肠道的肌肉一样是平滑肌,输卵管腔也像我们的肠腔一样有一定的扩张性。输卵管间质部和峡部肌层较多且厚,有明确的收缩和舒张。尤其需要指出的是输卵管峡部有收缩和逆行收缩的节律。输卵管间质部长约1cm,管腔狭窄,直径0.5-1mm。峡部在间质部外侧,长约2-3cm,直径约0.2-2mm。输卵管间质部和峡部的管腔是输卵管最细的部位,是最适合的栓塞的部位,输卵管间质部和峡部的总长度也就3-4厘米。输卵管栓塞铂金弹簧圈最常用的是2-2(长2厘米,两端直径都是2毫米)或3-2(长2厘米,一端直径小2毫米另一端直径大是3毫米,就是向宝塔一样,有时被称为塔圈)。弹簧圈在装载器内推出后有比较大的回缩性,在外界回缩呈弹簧状。一般栓塞一枚弹簧圈可以完全栓塞间质部和峡部的输卵管管腔,而且一枚2厘米长的弹簧圈的两端由于弹性回缩力的回缩,像哑铃一样两端较粗大,可以卡在输卵管内壁上,完全封闭管腔(图3),所以栓塞一枚弹簧圈栓塞最牢固。就像红酒瓶塞一个塞子的最紧实,只有栓塞位置不好才补栓多一个串联的弹簧圈。比如长江6000多千米, 100多米宽的三峡大坝就可以堵住。10多厘米长的输卵管,栓塞一个2厘米长合适的弹簧圈完全可以阻塞输卵管管腔。我一般是一侧输卵管栓塞一个3-2的弹簧圈。我以前多次讲课也都讲过一侧输卵管只栓塞一个弹簧圈。
图3 栓塞的一枚弹簧圈位于间质部和峡部近段,完全栓塞管腔
所谓的致密栓塞,就是栓塞多个弹簧圈。在栓塞手术的当时如果多个弹簧圈并联栓塞在一起,使输卵管管腔明显扩张,有可能超过肌肉的扩张限度,肌肉再也回缩不回来了,就不能封闭输卵管管腔,达不到栓塞的目的。就向橡皮筋拉的太长,失去弹性,再也没有收缩能力了,只能扔掉。即使输卵管管腔的扩张没有超过肌肉的扩张限度,术后每个弹簧圈都是各自回缩,就会出现弹簧圈移位或弹簧圈之间形成间隙不能封闭输卵管管腔(图4,图5和图6)。如果多个弹簧圈栓塞串联在一起,比邻的弹簧圈互为支架,支撑起输卵管管腔使管腔持续扩张,弹簧圈不仅容易移动,而且两端也不易回缩封闭管腔,输卵管管腔封闭的也不严实(图4,图5和图6)。而且弹簧圈移动输卵管管腔的纤维组织不容易增生。因此致密栓塞不仅是多花钱多受罪,而且还没有栓塞一个合适的弹簧圈栓塞的严实。
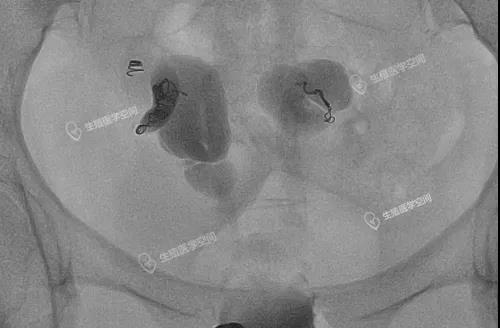
图5:双侧输卵管均栓塞多个弹簧圈
这两例都是所谓的致密栓塞,手术的医生自己也不自信,栓塞后手术结束前也不敢做一个造影看看效果。图4手术费花了1万9千多,右侧输卵管前几个弹簧圈掉进了宽大的积水管腔,没用一点栓塞作用。左侧输卵管栓塞是串联加并联。图5手术费是2万4千多,双侧输卵管栓塞的前几个弹簧圈都掉进了远段宽大的积水管腔,没用一点栓塞作用,起作用的就是最后一个弹簧圈。
图6:栓塞后没做造影看看效果,术后1个月和3个月复查弹簧圈都出现位置和形态改变
是一位做了双侧输卵管“致密栓塞”后,做试管婴儿还发生宫外孕。
余X,女,31岁,2020年7月9日在线咨询我,没想到2个月后的2020年9月13日她爱人又在线咨询我说上个月试管移植后出现了宫外孕。
图7:右侧2个基本并联弹簧圈,左侧3个串联部分并联弹簧圈
双侧输卵管积水在移植前我做的双侧输卵管均栓塞单个弹簧圈,移植怀孕后她发给我的怀双胎的信息。
图9:双侧输卵管均栓塞一个弹簧圈
邱XX,女,32岁,江西省赣州人,家里是做生意的,生活富足,开放2胎后想儿女双全。在江西省赣州市做超声提示双侧输卵管积水,就在胚胎移植前找我做双侧输卵管积水栓塞术。 在我多点执业的私立医院给她做栓塞术时造影发现她双侧输卵管没有积水,大致是通畅的,原来超声发现的不是输卵管积水,应该是输卵管系膜囊肿。就没有给她做栓塞术,就做个子宫输卵管造影就结束了。