
病例分享:患者女性,60岁,主因“发现腹膜后复发肿物1周”入院。患者既往有两次 腹膜后肿物切除术及肠梗阻手术病史,因外院考虑手术难度大,遂就诊于我院。
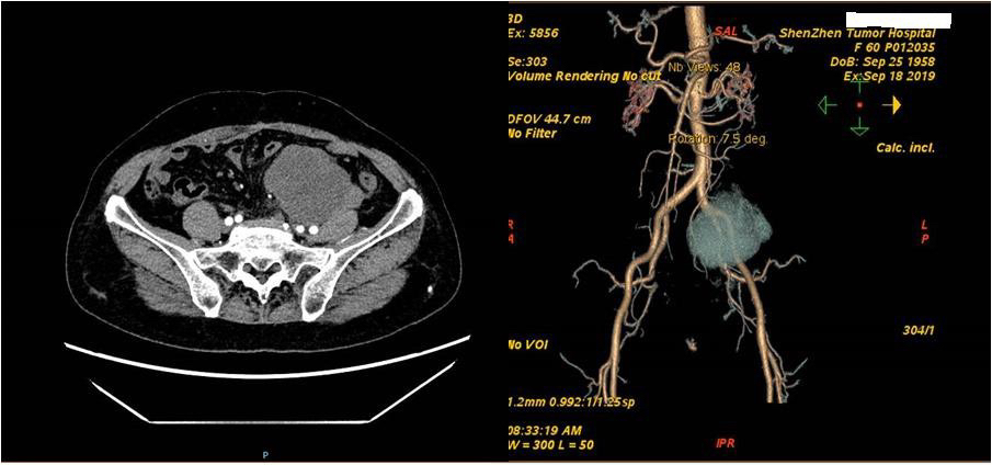
入我院后, 给予完善腹部CT等术前检查,考虑腹膜后-左侧髂窝见不规则分叶状肿块,约8.4×6.7× 7.9cm,包饶左侧卵巢静脉,肿块紧贴左侧髂总动脉、髂内、髂外动脉近端及左侧腰大肌, 左侧输尿管中段受压移位,致左肾轻度积液,考虑肿瘤复发。术前王天宝教授团队经过详细 评估后,考虑肿瘤与左侧输尿管关系密切,请泌尿外科会诊先行左侧输尿管双J管植入术。 完善术前准备后,遂于2019.09.19日全麻行腹膜后复发脂肪肉瘤切除术+部分乙状结肠切除 术+肠粘连松解术+左侧输尿管双J管置入术。术中:见肠粘连严重,小心仔细分离腹腔粘连 后,可见一大小约8*8*7cm肿物,质地硬,活动度差,与乙状结肠及其系膜融合,与左侧输 尿管紧密粘连,遂钝锐性结合逐步分离肿物,并切除部分乙状结肠及其系膜。手术用时3小 时,术中出血约500ml,术后病人安返病房。术后第2日查房,患者生命体征平稳,于床旁坐 起,无明显不适。
术前影像学资料
据悉,2019年王天宝教授团队已完成7例腹膜后肿瘤手术,其中4例为复发性腹膜后脂肪 肉瘤,最大者达18斤,另外骶前肿瘤3例,最大直径为12cm。证实王天宝教授团队在诊治腹 膜后肿瘤方面已达国内先进水平。
腹膜后脂肪肉瘤是来源于腹膜后脂肪的一种恶性肿瘤,临床上比较少见,发病率占全部恶性肿瘤的1%以下,但是在原发性腹膜后软组织肉瘤中却是最常见的,占41%左右,发病年龄在40岁到60岁之间比较多见,症状隐匿, 发现时多数肿瘤巨大,且与邻近的脏器关系复杂,手术难度大,往往需要联合脏器切除,手术切除困难,术后复发率高。(引自尚医健康)
中国医学科学院肿瘤医院深圳医院
地址 : 深圳市龙岗区宝荷大道113号
总机:0755-66618168
通讯员:中国医学科学院肿瘤医院深圳医院任培德