(本文内容、主张均为作者个人表达,与任何其他个人和单位无任何关系)

久违的“五一长假”又回来了!

5天的时间虽然不如早年间7天那么丰富,但是也足够你我去好好玩一玩了~

很多人选择开自己的车来一场一家人说走就走的潇洒旅行

(罗小医还要上班- -!)

开始旅行之前先要检查下自己的爱车
为什么要检查下自己的车呢?
因为要保证车子路上不会故障,不会影响出行的心情啦……

那你有检查下自己的牙齿么?试想一下:大风起兮云飞扬,安得猛士兮走四方。麻匪任何时候都要剿,不剿不行,你们想想你带着老婆出了城,吃着火锅还唱着歌,突然就被麻匪劫了……
搞错了……再来:

大风起兮云飞扬,幸得五一走四方。结果你带着老婆孩子出了城,吃着火锅还唱着歌,突然就被牙疼了,扫兴么?真TM扫兴!
那么我们想要过一个开心快乐不被牙齿问题扫兴的五一节需要关注点什么呢?
牙齿松动——万里长城永不倒,三寸牙齿皆叛变

牙齿松动,指牙齿松动程度超过正常生理范围。牙齿在健康状态有一定的活动度,主要是水平方向的,垂直方向更是非常微小,不超过0.02mm,不易被察觉。当由于某些疾病因素或其他因素造成牙齿的活动度大于这个范围时,就称作牙齿松动。
牙齿松动可急性引起或慢性缓慢进展,可伴有牙齿疼痛不适,也可不伴有。对人造成的主要影响是咀嚼食物是感觉无力或不适。
由牙齿松动的程度不同,临床上可分为Ⅰ度~Ⅲ度三个分度。
Ⅰ度牙齿松动为颊舌方向(内外方向)的动度在1mm以内,其他方向没有动度;
Ⅱ度牙齿松动有两种情况,一为颊舌方向(内外方向)的动度在1~2mm之间,二为牙齿有颊舌方向(内外方向)及近远中方向(左右方向)两个方向的动度;
Ⅲ度牙齿松动也有两种情况,一为颊舌方向(内外方向)的动度超过2mm,二为牙齿存在颊舌方向(内外方向)、近远中方向(左右方向)和垂直方向(上下方向)三个方向的动度。
从Ⅰ度~Ⅲ度牙齿松动的程度越来越重,对患者的生活也有越来越大的影响,一般情况下牙齿脱落或需拔除的可能性也越大。

牙齿松动可由多种原因引起。主要由两大方面的原因,一是牙根周围组织的改变,二是牙根本身的吸收变短。
牙根周围组织改变

1、慢性进展性的牙齿松动多由于牙周炎引起,这种松动多不伴有牙齿明显的疼痛不适,多会有咬物无力的症状。需要引起大家重视的是,我国的多数成年人,尤其是35岁以上的成年人患有慢性牙周炎。牙齿是靠牙根周围的骨组织和软组织包绕连接支持才能稳定地存在于口腔内的固定位置并发挥功能。
慢性牙周炎是一种慢性进行性的疾病,主要是牙周支持组织的慢性炎症,在疾病的早期并不引起牙齿松动,但随着疾病的进展,包绕牙根的牙槽骨发生慢性吸收,当吸收的程度超过牙根长度的1/2时,牙齿的支持力量减弱,会使牙齿的松动度增大。
可以理解的是,后牙多有多个牙根,包绕牙根的牙周支持组织也更多,前牙多是单根的,所以在牙槽骨吸收到相同的程度时,前牙多比后牙更加松动。另外,不容忽视的是,除慢性牙周炎外,侵袭性牙周炎也是一种特殊类型的牙周炎,患有侵袭性牙周炎的病人多在比较年轻时即出现了牙齿松动的症状,程度更重,进展更快,多在青春期或20岁左右发病,女性比男性更易发病。

2、如果牙齿的咬合状况不良,或有夜磨牙、紧咬牙的不良习惯,对牙齿的咬合造成了创伤,长期也会造成牙齿的松动。是不是因为咬合造成的创伤,还需要由口腔科大夫的专业检查来确定。同时需要注意的是,如果本身患有牙周炎的人,对咬合创伤也更加敏感,对相同的咬合创伤造成牙齿松动的程度也更加严重。

3、突发的牙齿松动多有明确的病因,如突然咬硬物、受外伤等。这种情况造成的牙齿松动多会伴有疼痛不适,并可能有牙齿的移位,即偏离原来正常的位置,重者会造成牙齿的脱落。这种情况应当尽早去医院治疗。

4、如果牙齿松动的情况伴有牙齿咬合疼痛或牙龈疼痛后发生,多是牙周膜组织的急性炎症水肿,从而造成了牙齿的松动。而造成牙周膜炎症水肿又可能有多个病因,若先前有牙齿对冷热刺激疼痛,或者自发的牙齿剧烈疼痛,可能是由于牙髓炎症的进展造成了牙根尖周组织的炎症,从而造成了牙周膜组织的炎症,这种情况应先处理牙髓和根尖周组织的炎症;若是有牙龈疼痛明显流脓的情况,可能是由于牙周脓肿造成的牙周膜的炎症,这也是牙周炎的一个表现,此时应先解决牙周的脓肿。

5.如果牙齿松动的情况出现在牙周手术后,那么这时的松动一般是暂时的,只是因为手术引起的局部组织有些充血所致。一般在几周之后水肿减轻后牙齿会回到原来的松动程度。
6.女性激素水平的变化可能会引起牙齿松动度的改变,如在月经期可能出现轻度的牙齿松动。
缺牙——嘴里还剩一个牙,吃东西还塞牙了……吃藕套眼儿里了
牙体缺损

牙体缺损是指由于各种原因引起的牙体硬组织不同程度的外形和结构的破坏和异常,表现为牙体失去了正常的生理解剖外形,造成正常牙体形态、咬合及邻接关系的破坏。.

牙体缺损常常对咀嚼、发育、面容、牙髓、牙周组织甚至对全身健康等产生不良影响。一般的牙体缺损可以采用充填的方法治疗,但如果牙体缺损严重,剩余牙体组织薄弱,无法为充填体提供良好的固位,剩余牙体本身和充填体无法达到足够的强度,或者为了达到更高的美观要求时,单纯用充填治疗不能获得满意的效果,就应采用修复治疗的方法。
牙体缺损的修复是用人工制作的修复体恢复缺损牙的形态、功能和美观。用于牙体缺损修复治疗的修复体包括嵌体、部分冠、全冠和桩核冠等。
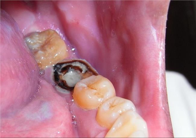
牙体缺损最常见的原因是龋病,其次是外伤、磨损、楔状缺损、酸蚀和发育畸形等。
龋病

龋病是由于细菌的作用造成牙体硬组织脱矿和有机物分解,表现为牙体硬组织的变色、脱钙软化和龋洞形成,病变进一步发展可伴随牙髓充血、牙髓炎、牙髓坏死、根尖周炎、根尖周脓肿等。龋坏严重者,可造成牙冠部分或全部破坏,形成残冠、残根。
牙外伤

由于牙冠受到意外撞击或咬硬物引起牙折,前牙牙外伤的发病率较高。死髓牙、隐裂牙等牙体自身强度下降等,也可在正常咬合力下引起牙折。牙外伤轻者表现为切角或牙尖局部小范围折裂,重者可出现整个牙冠折裂或冠根折断。
磨损

磨损表现为牙冠咬合面降低,常由于不良咀嚼习惯及夜磨牙等引起。全牙列重度磨损会造成垂直距离降低,导致咀嚼功能、美观的障碍,甚至引起领下颌关节病。
楔状缺损

又称牙颈部非龋性缺损,常表现为尖牙、前磨牙唇、颊面的牙颈部楔形缺损。发病率随年龄而增高。病因有磨损、酸蚀、应力等因素。常伴 有牙本质过敏、牙龈退缩,严重者可出现牙髓暴露甚至出现牙折。
酸蚀症

是牙长期受到酸雾作用而脱钙,造成牙外形损害。常见于经常接触盐酸、硝酸 等酸制剂的工作人员。表现为前牙区唇面切缘呈刀削状的光滑面,向切端渐薄,常伴有牙本质过敏,牙冠呈现褐色斑。
发育畸形

造成牙体缺损的发育畸形是指在牙发育和形成过程中出现形态、结构的异常。常见的造成牙体缺损的牙结构发育畸形包括釉质发育不全、牙本质发育不全、斑釉牙及四环素牙等。牙齿的形态发育畸形是发育过程中牙冠形态的异常,常见的有过小牙、锥形牙等。
釉质发育不全症轻者牙冠呈白玉色或褐色斑,严重者则出现牙冠形态不完整,釉质钙化不良,硬度降低,牙釉质表面粗糙且有色素沉着。

斑釉牙是在牙发育期间,由慢性氟中毒所致的牙体组织损害,牙冠表面出现白玉色或黄褐色斑块。

四环素牙又称四环素色素沉着,是在牙冠发育期间,由于受到四环素族药物的影响造成牙冠变色和釉质发育不全,牙冠呈灰褐色或青灰色,釉质透明度降低,失去光泽,严重者还可出现牙冠发育不全。

由于牙体缺损的范围、程度不同,以及牙列中牙体缺损患牙的数目多少,可能产生下列并发症症状及危害:
(1)牙体和牙髓症状
牙体表浅缺损可能无明显症状。如缺损累及牙本质层或牙髓,可出现牙髓刺激症状甚至出现牙髓炎症、坏死及根尖周病变。
(2)牙周症状
牙体缺损者发生在邻面,会破坏正常邻接关系,造成食物嵌塞,引起局部牙周组织炎症,并可能发生邻牙倾斜移位,影响正常的咬合关系。牙体缺损若发生在轴面,破坏了正常轴面外形,可引起牙龈炎。
(3)咬合症状
大范围及严重的牙体咬合面缺损不但影响到咀嚼效率,还会形成偏侧咀嚼习惯,严重者会影响垂直距离及出现口颌系统的功能紊乱。
(4)其他不良影响
缺损发生在前牙可直接影响患者的美观、发音。全牙列残冠、残根会降低垂直距离,影响到患者的面容及心理状态。残冠、残根常成为病灶而影响全身健康。
因此,牙体缺损应及时修复治疗以终止病变发展,恢复牙冠原有功能。
修复方法分为下列类型:
1.嵌体:为嵌人牙冠内的修复体。

2.贴面:以树脂或瓷制作的仅覆盖牙冠唇颊侧的部分冠修复体。

3.全冠:覆盖全部牙冠表面的修复体。
全瓷冠:以各种瓷材料制作的全冠修复体。

7.桩核冠:是在残冠或残根上利用插人根管内的桩固位,形成金属桩核或树脂核,然后再制作全冠的修复体。

牙列缺损

牙列缺损是指部分牙齿缺失导致的恒牙牙列不完整。牙列缺损会影响患者咀嚼、辅助发音的功能和美观,同时还可能影响口颌系统的健康。缺失牙的部位和数量不同,其影响的方面和程度也不同。为了恢复牙列缺损造成的功能障碍和对口颌系统健康的损害,通常采用人工替代材料修复的方法来恢复缺失牙的解剖形态和生理功能。常用的修复方式包括固定义齿、可摘局部义齿、覆盖义齿、种植义齿等,每种方式有其特定的适用范围(适应证)和优缺点。
1.咀嚼功能减退;受缺牙数量、部位及持续时间的影响;如前牙缺失的切割功能及后牙缺失的磨碎功能的影响,且久未修复的个别牙缺失,因邻牙向缺隙侧倾斜,移位及对颌牙伸长而致咬合紊乱,咀嚼效率降低。

2.牙周组织改变;缺牙后久未修复,邻牙倾斜移位,对颌牙伸长,出现邻牙牙间间隙,继发龋、牙周袋及牙周创伤等症状。

3.发音功能障碍;前牙缺失影响发音的准确性及清晰度,特别是唇音(吃、诗)、舌音(分、飞),舌齿音(德、特)。

4.颞下颌关节病变;长期多数后牙缺失,且久未修复,有可能造成颞下颌关节的病变:
(1)关系紊乱下颌不能正常行使功能。
(2)偏侧咀嚼咀嚼肌张力不平衡。
(3)多数牙缺失不能维持正常咬合垂直距离。
(4)咀嚼肌失去正常张力关节盘突关系失调。

牙列缺损的修复方式包括固定义齿、可摘局部义齿、种植义齿三种。
1.固定义齿

是利用缺牙间隙两端或一端的天然牙或牙根作为基牙,在其上制作固位体,并与人工牙连成整体,利用粘结剂将固位体粘固在基牙上。患者不能取摘的修复体。固定义齿适用于缺失牙数目不多,与缺牙间隙相邻牙牙周较健康的情况。如果缺失牙数目多,或邻牙牙周健康不佳,或有明显牙槽嵴组织缺损者,则不适合固定义齿修复。固定义齿优点:
①固位作用好,行使功能时不会向脱位。
②力由基牙传导、支持作用好。
③固定桥是一个新的功能单位,整体作用,稳定作用好。
④舒适无异物感。
⑤不影响发音。
⑥美观。
⑦不用摘戴,方便。
固定义齿缺点:适用范围受限;切割牙体多;固定义齿费用较可摘局部义齿高。
2.可摘局部义齿

是一种患者可以自行摘戴的牙列缺损修复体,利用天然牙、黏膜及骨支持,通过固位体卡环和基托将义齿固定在牙列内。恢复缺失牙及其周围缺损组织的解剖形态和生理功能。
与固定义齿比较,可摘局部义齿的优点是适应证广泛,很多不适合采用固定义齿修复的情况均可采用可摘局部义齿修复,比如缺失牙数目多、基牙牙周健康不理想、组织缺损等;可摘局部义齿的基牙不需要象固定义齿基牙那样大量磨除;可摘局部义齿的费用较固定义齿低,义齿损坏后可以修理,某些部位再缺失牙后可在原义齿上添加人工牙。
可摘局部义齿的缺点是义齿体积大,覆盖大量正常组织,初戴时常有恶心不适和发音不清,义齿与天然牙及组织间容易积存食物残渣和软垢,每天必须要反复摘戴义齿和清洁,否则影响余留牙的健康。
3.种植义齿

是将金属钛的种植体植入缺失牙部位牙槽嵴下方的颌骨内,种植体表面与骨组织形成紧密结合——骨整合,稳固的种植体相当于人工牙根,与上方的义齿人工牙(上部结构)连接,起到固定义齿、承受咬合力的作用。牙列缺损者的种植义齿多数采用粘结或螺丝固定的方式,患者不需摘戴义齿,感觉舒适,使用方便,功能效果好。
缺失牙多者,也可采取种植体与义齿活动连接的方式(种植覆盖义齿),患者需取下义齿清洁。种植义齿需进行手术,治疗周期长,费用较高。能否进行种植修复需考虑种植部位骨质量、修复空间、余留牙健康状况和全身健康状况等因素。
对于牙列缺损患者个体究竟选择何种修复方式,需结合缺失牙的数量、部位,牙槽嵴组织缺损程度,余留牙健康状况及可能的发展变化,全身健康状况,患者的要求、经济条件等因素,综合考虑。尽量获得既能很好的恢复功能,又能保护剩余牙和牙槽嵴健康,长期稳定的修复治疗效果。
4.修复治疗方案

很多牙列缺损患者的余留牙和其他组织还可能存在其他病变和问题,需要在修复缺失牙之前进行治疗。任何一种修复方式均应建立在相对健康、稳定的基础之上,才能保证一个长期稳定的修复效果。因此牙列缺损患者,尤其是情况复杂的牙列缺损者,在义齿修复前需要进行系统的口腔检查和相关检查(如X线检查),进行初步的牙列缺损修复设计,根据检查结果和修复设计,制定完善的治疗方案。
该治疗方案应包括修复前需进行的各项准备治疗和修复治疗的内容和时间安排,以及相关费用等。可能采用不同修复方式时,应针对每种可能的修复方式制定相应的修复治疗方案,说明每种方案的修复效果、治疗内容、费用等,患者可根据自己的要求进行选择。

希望大家能有个顺利且快乐的“五一”假期~