(本文内容、主张均为作者个人表达,与任何其他个人和单位无任何关系)

久违的“五一长假”又回来了!

5天的时间虽然不如早年间7天那么丰富,但是也足够你我去好好玩一玩了~

很多人选择开自己的车来一场一家人说走就走的潇洒旅行

(罗小医还要上班- -!)

开始旅行之前先要检查下自己的爱车
为什么要检查下自己的车呢?
因为要保证车子路上不会故障,不会影响出行的心情啦……

那你有检查下自己的牙齿么?试想一下:大风起兮云飞扬,安得猛士兮走四方。麻匪任何时候都要剿,不剿不行,你们想想你带着老婆出了城,吃着火锅还唱着歌,突然就被麻匪劫了……
搞错了……再来:

大风起兮云飞扬,幸得五一走四方。结果你带着老婆孩子出了城,吃着火锅还唱着歌,突然就被牙疼了,扫兴么?真TM扫兴!
那么我们想要过一个开心快乐不被牙齿问题扫兴的五一节需要关注点什么呢?
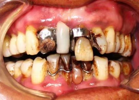
蛀牙——那些牙上面嘿嘿(黑)呵呵(褐)哕哕(灰)的凹坑

蛀牙俗称虫牙、龋齿,是细菌性疾病,因此它可以继发牙髓炎和根尖周炎,甚至能引起牙槽骨和颌骨炎症。如不及时治疗,病变继续发展,形成龋洞,终至牙冠完全破坏消失。未经治疗的龋洞是不会自行愈合的,其发展的最终结果是牙齿丧失。

龋齿一种由口腔中多种因素复合作用所导致的牙齿硬组织进行性病损,表现为无机质脱矿和有机质的分解,随病程发展而从色泽改变到形成实质性病损的演变过程。其特点是发病率高,分布广。是口腔主要的常见病,也是人类最普遍的疾病之一,世界卫生组织已将其与癌肿和心血管疾病并列为人类三大重点防治疾病。
临床上可见龋齿有色、形、质的变化,而以质变为主,色、形变化是质变的结果,随着病程的发展,病变由釉进入牙本质,组织不断被破坏、崩解而逐渐形成龋洞,临床上常根据龋坏程度分为浅、中、深龋三个阶段,各自表现如下:
1.浅龋

亦称釉质龋,龋坏局限于釉质。初期于平滑面表现为脱矿所致的白垩色斑块,以后因着色而呈黄褐色,窝沟处则呈浸墨状弥散,一般无明显龋洞,仅探诊时有粗糙感,后期可出现局限于釉质的浅洞,无自觉症状,探诊也无反应。
2.中龋

龋坏已达牙本质浅层,临床检查有明显龋洞,可有探痛,对外界刺激(如冷、热、甜、酸和食物嵌入等)可出现疼痛反应,当刺激源去除后疼痛立即消失,无自发性痛。
3.深龋

龋坏已达牙本质深层,一般表现为大而深的龋洞,或入口小而深层有较为广泛的破坏,对外界刺激反应较中龋为重,但刺激源去除后,仍可立即止痛,无自发性痛。
4.龋坏
在X线片上呈黑色透射区,对难以确诊者(如邻面龋),可借助X线片协助诊断。

不想让你的旅行美食被突如其来的酸痛打扰,就一定要早点把蛀牙补好哦~
龋病治疗的目的在于终止病变过程,阻止其继续发展并恢复牙齿的固有形态和功能。由于牙齿结构特殊,虽有再矿化能力,但对实质性缺损无自身修复能力。除少数情况可用药物外,均需根据牙齿缺损的范围、体积采用充填术、嵌体或人造冠修复治疗,以恢复形态和功能。
1.药物治疗

药物治疗是在磨除龋坏的基础上,应用药物抑制龋病发展的方法,适用于恒牙尚未成洞的浅龋,乳前牙的浅、中龋洞。常用药物包括氨销酸银和氟化钠等。
2.补牙

对已形成实质性缺损的牙齿,充填术是目前应用最广泛且成效较好的方法,其基本过程可分为两步:先去除龋坏组织和失去支持的薄弱牙体组织,并按一定要求将窝洞制成合理的形态。然后以充填材料填充恢复其固有形态和功能。
3.嵌体

用金属或其他材料制成与牙齿窝洞适合的修复体,镶嵌在洞内,称为嵌体;盖在合面的为高嵌体。
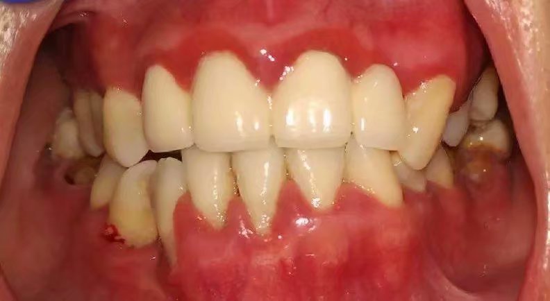
牙龈红肿、出血——那些血盆大口的尴尬记忆

牙龈出血是口腔科常见症状之一,是指牙龈自发性的或由于轻微刺激引起的少量流血。轻者表现为仅在吮吸、刷牙、咀嚼较硬食物时唾液中带有血丝,重者在牙龈受到轻微刺激时即出血较多甚至自发性出血。一般而言,牙龈的慢性炎症是牙龈出血的常见原因,故牙龈出血多见于牙周炎和牙龈炎患者;但有时也可以是某些系统性疾病的口腔表现,这时应予以足够重视。

可分为局部因素和全身因素(或疾病)。
局部因素
① 菌斑、牙石的局部刺激。菌斑、牙石的聚集,可由食物嵌塞、不良修复体、不良的口腔卫生习惯等引发,引起牙周组织炎症,如菌斑性牙龈炎、牙周炎等。

② 其他局部刺激因素(非菌斑牙石)及不良习惯。机械、化学、不良修复体、不良充填体、不良矫治器及张口呼吸等的刺激下,引发局部炎症,如增生性龈炎、牙周炎等。

③ 局部组织过敏。局部接触过敏原时,引发过敏反应,波及牙龈时,牙龈红肿极易出血。如浆细胞性龈炎。

④ 牙龈外伤及牙周手术。
全身因素
① 内分泌的改变。在性激素升高、孕酮激素升高的影响下,使牙龈组织在轻微刺激下,引发非特异性炎症,导致牙龈出血、渗出增多、牙龈增生等。如青春期龈炎、妊娠期龈炎及牙龈瘤。

② 全身性疾病。如血液系统疾病、糖尿病、心血管疾病、肝肾功能异常、肿瘤等。致病方式通常是使全身的免疫力下降,进而导致对于局部刺激的抵抗力下降,诱发牙龈炎症;凝血系统障碍;血管的器质性变化、血流的动力学改变等等。

③ 其他一些作用于全身的外界因素。如吸烟、抗凝血药物的服用等。

牙龈出血可分为被动性出血和主动性出血(自发出血)。
一、被动性出血:主要表现为在刷牙、进食、吸吮时,牙龈的毛细血管破裂出现渗血,血量少,多在唾液中可见有血丝或所吃食物上及牙刷毛中有血液染色,经过冷水含漱后可自行停止。

二、主动性出血(自发出血):指轻微刺激可引起牙龈大量出血,或者无任何刺激时牙龈出血,出血范围广泛,量多且不易止住,这种症状往往和病人全身健康状况有关。

牙龈出血常伴有口臭。
① 对于急性牙龈出血,首先应应急止血,如填塞、压迫出血部位、缝扎牙龈乳头、牙周塞治等,必要时短期全身应用止血药物,但应严格控制适应证。
② 鉴于牙龈出血多由局部因素引起,a)应及时去除局部刺激因素,包括龈上洁治、龈下刮治去除菌斑牙石等致病因子;治疗食物嵌塞;去除不良修复体、充填体、矫治器;纠正口腔不良习惯等。b)口腔卫生宣教,控制菌斑,培养良好的口腔卫生习惯,包括早晚正确刷牙、牙线、牙签的合理使用、定期的牙周检查及牙周支持治疗;c)戒烟、增加蔬果摄入量等。
③ 对于可疑与全身健康状况有关的牙龈出血,要给予足够的重视,及时行相关检查,如血常规、凝血相、肝肾功能等,针对系统疾病采取治疗措施。
(未完待续)
