2025年8月16日,经国家骨科与运动康复临床医学研究中心综合评估与审慎研究,认定深圳市人民医院为“国家骨科与运动康复临床医学研究中心--深圳手足外科中心”。
国家骨科与运动康复临床医学研究中心由国家科技部、卫健委、军委后勤保障部和国家药监局于2019年5月正式批复成立,是目前国内骨科与运动康复领域唯一的临床医学研究中心。

本次国家骨科与运动康复临床医学研究中心落地深圳,为深圳足踝外科和手外科,提供了加速发展的快车道,也是深圳市足踝外科患者的福利。本中心将依托国家中心以及广东省足踝外科领域的优势资源,为深圳市足踝外科患者提供最大的医疗保障和服务。
深圳手足外科中心在下述几种疾病的诊疗具有显著优势,也是重点发展的方向。
(一) 拇外翻
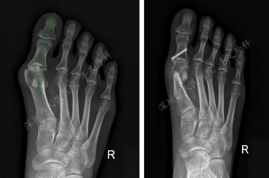
拇外翻畸形是一种足部常见的畸形,主要表现为拇趾在第一跖趾关节处向外侧偏斜移位,严重者可伴有疼痛,影响患者的日常活动,同时会影响足部的美观及日常鞋型的选择。本中心采用微创和传统手术方法矫正不同类型的拇外翻。

图1:拇外翻常合并拇囊炎,位于拇趾跖趾关节内侧,常伴有红肿和疼痛。
图2:经截骨矫形后(Scarf截骨),拇外翻畸形被矫正。
(二) 平足症
平足是指患者站立负重时,足内侧弓塌陷为主要表现的常见足部畸形,国内文献报道平足的发生率为3.7%-8%。本中心聚焦儿童及青少年平足症的矫正。
图3:与正常足相比,平足患者的足纵弓塌陷。

图4:观察足底显示平足患者的足纵弓塌陷。

图5:与正常足相比,平足患者的足跟出现外翻。
图6:跗骨螺钉置入是儿童柔韧性平足症的微创治疗技术,通过植入螺钉增强距下关节稳定性,改善足部功能。
图7:跗骨螺钉置入明显改善了足部功能。
图8:跗骨螺钉置入明显纠正了足跟外翻。
在踝关节扭伤的病例中,外侧韧带损伤最为常见。其中,距腓前韧带是最薄弱、最容易损伤的结构,其撕裂伤的发生率最高。随着对踝关节扭伤的认识有了长足的进步,大部分此类损伤得以早期诊断,经过及时的保守治疗往往能获得满意的疗效,但部分患者仍需手术治疗。本中心通过关节镜微创技术修复踝关节韧带损伤,获得了满意疗效。
图9:距腓前韧带(绿色)的解剖位置和损伤机制。
图10:距腓前韧带关节镜下修复。
图11:距腓前韧带加强术:使用人工纤维绳连接两个钉子,并通过调整纤维绳的张力来确保韧带的稳定性。
(四)距骨软骨损伤
距骨软骨损伤是踝关节距骨顶部的软骨发生了破损或撕裂,其在普通人群中发病率较低,但在踝关节扭伤和骨折的人群中非常高,尤其是在运动员和年轻人中值得重点关注。本中心采用多种技术,包括肋骨软骨移植术和髂骨移植术对不同类型的损伤进行修复。

图12:距骨软骨损伤。
图13:肋骨软骨切取。
图14:肋骨软骨移植术治疗距骨软骨损伤。
(五)踝关节炎
踝关节炎是踝关节软骨退化引发的炎症性疾病,主要表现为疼痛、肿胀、活动受限,常见于中老年或关节损伤人群。本中心采用关节镜下滑理术,截骨矫形术,关节融合术和踝关节置换术治疗不同类型的踝关节炎。
图15:全踝关节置换术。
深圳手足外科中心(深圳市人民医院)将以精湛的技术和贴心的关怀为足踝疾患的患者排忧解难。