距骨软骨损伤是运动医学领域常见的踝关节疾患,主要表现为距骨负重关节软骨或软骨下骨的损伤。该病与创伤性踝关节损伤密切相关,约50%-70%的急性踝关节损伤患者会合并此病症。

图1:距骨软骨损伤

图2:影像学分型(CT):I型,距骨顶部软骨下骨囊变,距骨顶部完整;Ⅱ型,软骨下骨囊变通入关节腔;Ⅲ型,软骨下骨骨折且无骨块移位;IV型,软骨下骨骨折且有骨块移位
随着足踝外科的发展,对距骨软骨损伤的认识有了长足的进步。根据距骨软骨损伤的程度,治疗方法有所不同。当损伤面积较大(通常>1.5cm²)、深度较深(累及软骨下骨)或既往其他手术失败时,肋软骨移植是一种重要的选择。
本文聚焦肋软骨移植术修复距骨软骨损伤,并介绍了我们的经验。同时,作为替代,也介绍了膝关节股骨软骨移植术。
(一)膝关节股骨软骨移植术

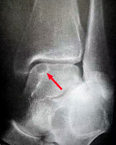
图3:X光片示距骨软骨损伤(红色箭头)

图4:CT示距骨软骨损伤

图5:左图示距骨软骨损伤,右图为清理后的骨缺损

图6:膝关节股骨软骨移植示意图

图7:左图为骨软骨植入方式,右图为术中外观
(二)肋骨软骨移植术

图8:CT示距骨软骨损伤及损伤范围测量

图9:肋骨软骨的切取

图10:肋骨软骨的移植,左图为移植前,右图为一致后外观

图11:X光片示手术前(左)和手术后(右)对比
肋软骨自体移植是治疗大面积、难治性距骨软骨损伤的一项突破性技术,实现了距骨软骨损伤的完美修复,适于年轻、活动要求高、损伤严重的患者,它提供了恢复关节功能、缓解疼痛并避免关节置换的宝贵机会。