距骨软骨损伤是脚踝关节中一个关键骨头——距骨——顶部的软骨发生了破损或撕裂,其在普通人群中发病率较低,但在踝关节扭伤和骨折的人群中非常高,尤其是在运动员和年轻人中值得重点关注。
很多患者在初期症状并不明显,可能仅感觉踝关节深处有轻微疼痛或不适,容易被当作普通扭伤后遗症而忽略。这意味着,实际的损伤人数可能比统计的发病率更高。由于距骨软骨愈合能力极差(软骨组织无血液供应),延误治疗影响巨大,需要高度重视该疾病。早期诊断和正确治疗是获得良好疗效的关键。
(一)什么是距骨软骨?
▶距骨:是脚踝关节中的核心骨头,它上承胫骨和腓骨,下接跟骨。它负责将身体的重量传递到脚上,并实现脚踝的灵活活动。
▶软骨:是一种光滑、有弹性的组织,覆盖在骨头末端,起到缓冲和减少摩擦的作用。当这块软骨受损时,会产生一系列症状。

图1:距骨的解剖位置

图2:距骨软骨的位置
(二)距骨的功能是什么?
距骨是足部一块非常关键且形态独特的骨头,它上方连接胫骨和腓骨,下方连接跟骨,前方连接舟骨。它被誉为“足踝的基石” ,身体的重量通过胫骨直接压在距骨上,再由距骨分散到整个足部,类似榫卯结构。它承受着巨大的压力,是人体最承重的骨头之一。

图3:距骨的功能
(三)距骨软骨损伤的典型症状
▶深部疼痛:脚踝深处有持续性或间歇性的疼痛,尤其在承重(如走路、站立)、活动脚踝或按压脚踝前方时明显。
▶肿胀:脚踝周围可能会肿胀。
▶关节弹响或交锁:活动脚踝时可能听到或感觉到“咔哒”声,有时甚至会卡住,无法正常活动。
▶僵硬感:感觉脚踝活动不灵活,特别是在早晨或久坐之后。
▶不稳感:感觉脚踝容易“打软腿”或扭到,尤其是在不平的地面上。
▶踝关节积液:关节内可能因炎症而产生过多液体。
(四)距骨软骨损伤的病因
▶踝关节扭伤:这是最主要的原因。在严重的脚踝内翻或外翻扭伤时,距骨与周围的胫骨发生剧烈撞击,导致软骨受到挤压、撞击而损伤。
▶▶与踝关节扭伤的关系:高达50% 的踝关节扭伤会引发距骨软骨损伤,踝关节扭伤是导致该损伤的最主要原因。
▶▶与踝关节骨折的关系:超过70% 的踝关节骨折会合并距骨软骨损伤。
▶▶慢性踝关节不稳患者:约 30% 的患者合并软骨及骨软骨损伤,其中 85% 发生于距骨。
▶▶运动员是超高危群体:对于运动员,尤其是足球、篮球、体操等需要大量跑跳和变向的运动者来说,距骨软骨损伤的风险显著增加。他们的踝关节受伤概率是普通人群的9倍。
▶骨折:踝关节骨折通常会伴随软骨损伤。
▶慢性劳损:长期、反复的过度使用脚踝,常见于运动员。
▶缺血性坏死:由于血液供应不足,导致距骨局部骨组织死亡,继而引发其上方的软骨病变。
(五)如何诊断?
1.体格检查:医生会按压脚踝的特定部位(“踝穴”),检查是否有压痛点,并评估关节的活动度和稳定性。
2.影像学检查:
▶X光片:作为初步筛查,可以排除骨折和其他骨骼问题,但对于单纯的软骨损伤,X光片可能显示正常或仅见间接征象。
▶磁共振成像(MRI):是诊断的金标准。MRI可以清晰地显示软骨、韧带和其他软组织的状况,能准确评估软骨损伤的位置、大小、深度以及下方的骨骼是否受累(如水肿、囊肿形成)。

图4:MRI示距骨软骨损伤(红色箭头)
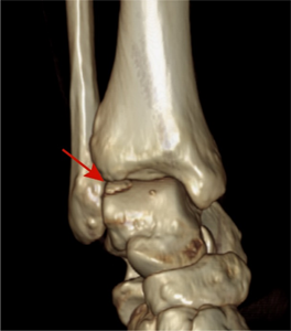
▶CT扫描:可以更精确地显示骨骼的形态和损伤的范围,对于规划手术方案非常有帮助。
图5:CT三维重建示距骨软骨损伤(红色箭头)
距骨软骨损伤分型主要用于评估损伤程度并指导治疗,常用分型包括改良Ferkel分型(基于CT)和Steven等提出的“距骨穹窿部解剖九分法”。不同分型侧重病变部位和骨结构改变,适用于评估骨缺损范围及手术规划。

图6:影像学分型(CT):I型,距骨顶部软骨下骨囊变,距骨顶部完整;Ⅱ型,软骨下骨囊变通入关节腔;Ⅲ型,软骨下骨骨折且无骨块移位;IV型,软骨下骨骨折且有骨块移位。

图7:“九区”分布频率示意图:距骨软骨损伤分布频率前四位由高至低依次为:①内侧中央部;②外侧中央部;③内侧前部;④外侧前部。
I-II级损伤:多采用保守治疗(制动、减重、理疗)。III-IV级损伤:需关节镜清理、微骨折术或骨软骨移植。
(七)距骨软骨损伤的治疗
1.保守治疗:
包括休息、石膏固定、避免患肢负重走路等。对于急性期MRI显示距骨骨髓明显的水肿和骨软骨切线骨折,骨折块分离不明显的病例,可以采取支具固定8周,主要目的是让患肢充分休息,8周后开始部分负重,满12周方能完全负重走路等,通常适用于骨骺未闭合的青少年以及分期属于I期或II期的患者。
有些研究却发现保守治疗对青少年患者的疗效也并不理想,对成年患者和分期属于Ⅲ期患者效果不佳。有研究表明通过改变运动方式、部分负重或石膏固定等,成年患者保守治疗的成功率仅为45%。
2.手术治疗
传统的踝关节切开、病灶清理术的优良率在40%-62.5%。通常需要做内踝或外踝截骨,手术创伤大,术后需要石膏固定数周,不利于患者早日恢复正常的生活和工作。
目前内镜下的治疗方法有:镜下单纯病灶清理术;镜下病灶清理加微骨折术(或钻孔术)。优点是手术创伤小、术后恢复快,治疗小面积的距骨软骨损伤效果良好,优良率为83%-93%。
较为常用的手术方法如下:
1)关节镜下病灶清理术
2)关节镜下钻孔术
3)关节镜下微骨折术
4)关节镜下逆行钻孔植骨术
5)踝关节自体骨软骨移植术与自体软骨细胞移植术
6)带骨膜的髂骨移植

图8:于距骨非负重区取骨及软骨移植填充距骨软骨损伤处。

图9:带骨膜的髂骨移植术:显露距骨软骨损伤部位并清理。

图10:带骨膜的髂骨移植术:取髂骨移植于距骨损伤部位并塑性。
手术的效果不能一概而论,它受到多种因素的影响。总的来说,对于合适的患者,选择正确的手术方式,手术可以显著改善症状、恢复功能,并取得良好的中长期效果,但它通常难以达到“完全恢复到受伤前状态”的水平。