拇趾籽骨(hallucal sesamoids),是位于第1跖趾关节跖面的两个芝麻籽形状的小骨,是位置最固定最恒定出现的足部籽骨,内侧和外侧的趾籽骨分别称为胫侧籽骨和腓侧籽骨,分别位于第1跖趾关节处内侧和外侧拇短屈肌内,共同构成籽骨复合体,其吸收大部分第1跖列的负重,减少摩擦,保护跨过第1骨头的拇长屈肌腱,增加足第1跖列固有肌的机械优势。拇趾籽骨退行性变或损伤可以引起第1跖趾关节处疼痛和功能丧失。

图1:拇趾的两个籽骨

图2:拇趾籽骨的解剖位置
站立时,拇趾籽骨位于跖骨头的后方,拇趾背伸时,籽骨移向远端以保护第1跖骨头跖面。垫脚尖时,籽骨(尤其是内侧籽骨)为前足内侧的主要负重点。内侧籽骨比外侧籽骨稍大且靠近远端。内侧籽骨平均长为12~15mm,宽为9~11mm;外侧籽骨平均长为9~10mm,宽为7~9mm。
拇趾籽骨可能出现先天性异常、关节炎、创伤感染、骨软骨炎和籽骨炎。常见的症状和体征包括第1跖趾关节压痛或活动时疼痛、活动范围受限、关节肿胀和跖屈或背伸肌力减弱。可出现第1跖趾关节滑囊炎,籽骨处胼胝(老茧)。如果籽骨压迫趾神经,可出现拇趾麻木和Tinel征。
▶半脱位和脱位
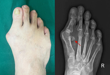
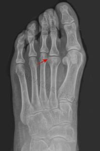
拇趾籽骨半脱位和脱位常见于中、重度拇外翻畸形的患者。随着拇外翻畸形程度的加重,止于近节趾骨基底以及外侧籽骨的收肌联合肌腱会导致拇趾旋前,当拇趾外翻移位时,第1跖骨会出现内收,籽骨与第2骨趋于保持正常的位置关系,第1跖骨与籽骨关节会出现半脱位或脱位。
随着籽骨脱位的发展,与其解除的骨间嵴会发生磨损。轻、中度拇外翻患者的轴位片可显示籽骨间嵴,有一定程度的变平,而重度患者骨间嵴可能消失。籽骨间嵴的过度磨损也会导致籽骨关节面的磨损,导致跖籽关节炎,引起疼痛。

图3:拇外翻患者往往伴有籽骨半脱位和脱位(箭头)
▶畸形或增生
拇趾籽骨先天性和获得性畸形或增生,可造成籽骨跖侧的皮肤角化、疼痛,甚至导致继发性溃疡。由于内侧籽骨的位置及其负重增加,内侧籽骨多出现难治性跖侧胼胝,持续的行走痛是籽骨过度增生或者畸形最为常见的症状。由于外侧籽骨通常受力较小,畸形或者增生发生率较低。
治疗方法包括:切除有症状的胼胝和使用跖骨垫、舟骨垫或者特制矫形装置减少籽骨处的负重和缓解症状。如果症状持续,可行籽骨修整或者切除术。

图4:拇趾籽骨炎会导致行走痛

图5:跖骨垫可缓解籽骨炎的症状
病例介绍1 拇外翻合并籽骨炎

图6:患者拇外翻畸形,籽骨部位行走时疼痛(箭头),可见痛性胼胝(老茧)

图7:X光片示第二跖骨头无菌性坏死(Freiberg病),跖骨头塌陷,跖骨短缩。上述病变导致拇趾籽骨局部应力增加,导致内侧籽骨增生,最终形成籽骨炎

图8:籽骨轴位片示内侧籽骨增生,右图为局部放大图(箭头)

图9:术中探查见内侧籽骨增生,部分关节软骨磨损、缺失。矫正拇外翻的同时,进行籽骨修整、清理

图10:术后复查拇外翻畸形已矫正,行走时无疼痛
病例介绍2 拇外翻合并籽骨炎

图11:患者拇外翻畸形,籽骨部位行走时疼痛。CT检查显示内侧籽骨较外侧明显增大(箭头),考虑为拇外翻合并籽骨炎。I期行拇外翻矫形+籽骨清理术,术后疼痛缓解,6个月后再次出现行走疼痛

图12:CT检查显示内侧籽骨增生,关节面不平整(箭头)

图13:术中定位内侧籽骨(左图),并切除籽骨(右图,箭头)

图14:术中见籽骨增大,关节面不平整,软骨部分缺损。患者切除籽骨后,经随访疼痛完全缓解
总结:拇趾籽骨炎容易被误诊,特别是拇外翻合并籽骨炎。在治疗此类拇外翻时,在矫正畸形的同时,应积极处理籽骨炎。病变较轻者可行籽骨修整、清理术;对于籽骨退变严重的患者,可行内侧籽骨摘除术。