青少年拇外翻一般是指在11岁到19岁之间发生的拇外翻,约40%的成人拇外翻患者20岁以前就已发生拇外翻畸形。尽管青少年拇外翻手术治疗的病例只占所有病例的10%以下,但青少年外翻的治疗较成人更困难,具有较高的畸形复发率。本文聚焦青少年拇外翻的发病特点和治疗方法,希望对此类患者有所帮助。

图1:拇外翻形成的机制
(一)什么原因导致青少年拇外翻?
▶目前认为,青少年拇外翻是多因素的作用,遗传因素在本病的发生中占有更重要的作用。据报道,68%-80%的患者有家族遗传史。
▶其他如穿鞋,第1跖骨头的形态,内侧跖楔关节的倾斜和稳定性和神经肌肉疾病等都可能对拇外翻的形成有影响。
(二)青少年拇外翻与成人拇外翻有什么不同?
▶青少年拇外翻患者一般疼痛不是主要症状,多为影响穿鞋来就诊。
▶拇趾内侧的拇囊一般较小,外翻程度和跖骨内侧骨赘都较小。
▶跖、趾骨的骨骺在年龄小的患者尚未闭合,约有一半的患者具有适合的跖趾关节。
▶对于第1跖趾关节不适合或半脱位的患者,畸形有进行性发展的可能。
▶部分患者伴有内侧跖楔关节不稳定、跟腱挛缩和其他足和下肢的畸形,如平足、短肢畸形、膝内外翻畸形等。
▶在青少年外翻患者中,跖趾关节骨性关节炎、跖骨头软骨损伤、跖间神经瘤很少见。

图2:红色箭头所指部位为骨骺,手术时应避免损伤
(三)青少年拇外翻的保守治疗
夹板、足垫和足部支具等可用于青少年外翻的非手术治疗。但只能暂时减轻拇外翻症状,很难控制跟外翻的发展。因此,非手术治疗适用于较小的儿童,等待骨骺闭合后手术治疗。
(四)哪些需要手术治疗?
1. 非手术治疗失败。
2. 患者疼痛较重,影响穿鞋,畸形进行性加重。
3. 合并平足症、足趾畸形,如锤状趾、骑跨趾的出现,需要手术治疗。
4. 对于手术时机的选择仍有不同意见。有些医生认为手术可能会影响骨骺发育,应等到骨骺闭合后再进行。而另一些医生认为,畸形的进行性发展可能对跖趾关节产生永久的影响,应早期纠正。
(五)青少年拇外翻的分型:Pontious将青少年外翻分为两型
1. I型患者畸形出现的早,有家族遗传史,畸形明显,可伴有其他畸形,如足下垂、足外翻等加重拇外翻畸形的力量,应早期手术治疗。
2. Ⅱ型患者畸形不重,发展慢,可以予以观察或非手术治疗。
▶拇外翻测量最重要的三个角:
▶▶正常:拇外翻角HVA <20°,第1、2跖间角IMA<9°,跖骨远端固定角 DMAA <7.5°
▶▶轻度:20度< HVA <30度之间;11度< IMA<13度之间
▶▶中度:30度
▶▶重度:HVA>40度以上;IMA>16度以上
以上数据只要达到一项,即可定位该类型。

图3:拇外翻角(HVA)和第1、2跖间角(IMA)的测量

图4:跖骨远端固定角(DMAA)的测量,青少年拇外翻常伴有DMAA增大

图5:近节趾骨近端固定角的测量,青少年拇外翻常伴有该角度的增大
(六)手术方式有哪些?
1. 远端软组织手术:单纯软组织手术对于纠正青少年跗外翻作用有限,一般需要合并其他手术共同使用。

图6:软组织松解术
2. 第1跖骨远端截骨术:绝大部分用于成人拇外翻治疗的第1跖骨远端截骨术也都适合用于青少年。

图7:用于成人拇外翻治疗的Scarf截骨也可用于青少年
3. 第1跖骨近端截骨术:成人采用第1跖骨近端截骨术的适应证一般为IMA(第1、2跖骨间角)>15°。对于青少年拇外翻来说,畸形可能将来进一步发展,可早期采用第1跖骨近端截骨术将IMA缩小到0°甚至轻度负角。因此,IMA<15°时也可行此类手术。

图8:用第1跖骨近端截骨术
4. 跖骨-楔骨手术:由于一些医生认为第1跖骨内翻是引起外翻畸形的主要原因。对于严重的第1跖骨内翻和内侧跖楔关节过度内侧倾斜的青少年外翻,采用内侧楔骨开放性截骨。一般需要同时行跖骨远端截骨,以进一步纠正畸形。

图9:楔骨开放截骨术
5. 骨骺闭合术 在儿童外翻,可以使用骑缝钉固定阻滞第1跖骨基底外侧骨骺生长的方法达到纠正第1跖骨内翻的目的。取出骑缝钉恢复骨骺生长。同时结合跖骨远端截骨术和软组织手术。
6. 近节趾骨截骨术:纠正拇趾的外翻畸形以达到更好的矫正效果。
(七)小结
1. 青少年拇外翻常合并松弛性扁平足,术后容易复发;
2. 常合并趾间关节外翻;
3. 拇外翻家族史;
4. 需2或3个部位联合截骨;
5. 15岁前手术效佳;
6. 影响足部美观,合并阳性家族史可作为手术指征;
7. 青少年在发育期,术后有一定的复发几率;
8. 跖骨远端关节固定角增大是青少年拇外翻的重要特征;
9. 跖楔关节异常倾斜致第一跖骨内翻是青少年拇外翻的一个主要致畸因素;
10. 手术注意保护骨骺。
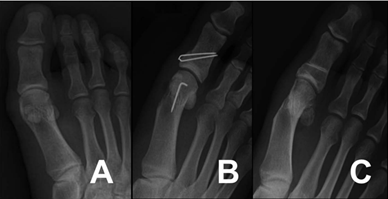
(八)病例示例

图10:A为术前X光,B和C分别为内固定和术后随访X光

图11:左图为术前足部外形,右图为术后外形