跟腱是小腿三头肌,即腓肠肌和比目鱼肌的肌腹下端移行的腱性结构,止于跟骨结节,是人体最粗最大的肌腱之一,对机体行走、站立和维持平衡有着重要的意义。
跟腱炎是一种由于跟腱反复受到剧烈拉伸产生劳损后引起的退行性病变,多见于跟腱反复受力的人群,患者主要表现为足跟后部疼痛和肿胀,通常在活动后加剧。本文聚焦止点性跟腱炎,介绍其典型症状,诊断及治疗。

图1:跟腱的解剖示意图

图2:跟腱炎示意图
(一)跟腱炎的分类?
▶根据症状持续时间:
1、急性跟腱炎:症状持续时间少于2周;
2、亚急性跟腱炎:症状持续时间在3-6周;
3、慢性跟腱炎:症状持续时间大于6周。
▶根据病变部位:
1、止点性跟腱炎:是指跟腱在止点附近及其以近2cm范围内的无菌性炎症;
2、非止点性跟腱炎:在止点以近2-6cm范围内的无菌性炎症。
(二)止点性跟腱炎的症状
▶跟腱止点处(足跟后部)疼痛;
▶在脚跟活动和跟腱受力后加剧,严重者无法下地行走;
▶急性期患者可伴有跟腱肿胀、皮肤潮红的表现;
▶慢性期患者可伴有跟腱痉挛、僵硬的表现。

图3:跟腱止点处疼痛、肿胀
▶B超:能够显示跟腱和跟腱周围软组织的情况,跟腱止点处可见肿胀增粗。
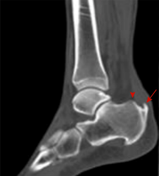
▶X线检査:可见跟腱止点处钙化、骨化等病变,严重者可见跟骨后上突增生(Haglund畸形)。
▶CT检査:可综合评估Haglund畸形和跟腱止点处钙化范围。
▶MRI检查:跟腱内部纤维断裂和增粗等改变,常伴有跟腱滑囊炎,对跟腱炎的诊断具有重要的意义。
图4:X线检査可见跟腱止点处钙化增生(长箭头), 跟骨后上突增生(箭头)

图5:CT检査可见跟腱止点处钙化增生(长箭头), 跟骨后上突增生(箭头)

图6:CT检査(3D重建)可见跟腱止点处钙化增生(长箭头), 跟骨后上突增生(箭头)

图7:MRI检査可见跟腱止点处钙化增生, 跟腱滑囊炎
(四)Haglund综合征
▶本病为足跟后上方跟腱止点处的无菌性炎症、跟骨后上突增生(Haglund畸形)与跟腱滑囊炎的一组临床征候群。
▶对于本病的治疗,首先还是主要以保守治疗为主,包括减少负荷,伸展和力量训练,使用中药方剂外敷并配合内服非甾体抗炎药抗炎镇痛,必要时可考虑局部封闭等。
▶对于严格保守治疗6个月以上治疗无效的患者,可采取手术治疗。

图8:Haglund综合征示意图
(五)手术治疗包括哪些方法?
▶开放性跟腱止点清理术;
▶开放性跟腱止点清理术+Hugland结节切除+止点重建术;
▶关节镜下清理术。

图9:开放性跟腱止点清理术手术切口示意图

图10:开放性跟腱止点清理术手术切口

图11:Hugland结节切除示意图

图12:Hugland结节切除的角度和范围

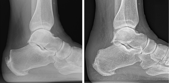
图13:Hugland结节切除术,左图为术前,右图为术后。

图14:关节镜下跟腱止点清理术,左图为外侧入路,右图为内侧入路。

图15:关节镜下跟腱止点清理术,左图为Hugland结节切除前,右图为切除后
(六)术后处理
术后石膏托固定6周,6周后穿跟腱靴逐渐负重行走,医生指导下过度到穿正常鞋直至完全正常行走及运动。

图16:跟腱靴