踝关节扭伤是常见的运动损伤,占篮球运动损伤的45%,占足球运动损伤的31%。在非运动员的人群中,踝关节扭伤也很常见,其中外侧韧带的损伤最为常见。
踝关节外侧韧带损伤好发于15~35岁年轻人,距腓前韧带损伤的发病率最高。本文聚焦韧带损伤导致的踝关节外侧不稳,旨在扩展大众对这种常见损伤的认知。
(一)踝关节外侧的解剖
踝关节周围的骨与软组织结构是踝关节稳定的基础。这一复合体的共同作用使踝关节保持正常的活动而不发生脱位。
踝外侧的腓骨和附着其上的外侧韧带是踝关节稳定的的重要结构,主要的外侧韧带包括距腓前韧带、跟腓韧带、距腓后韧带以及外侧跟距韧带。
其他对踝关节和距下关节的稳定起作用的还有颈韧带、骨间韧带、下伸肌支持带等。
距腓前韧带位于踝关节的前外侧,起于外踝的前缘,向前内侧下方走行,止于距骨颈的外侧缘,外观呈现平行四边形,对维持踝关节的稳定性至关重要。

图1:踝关节外侧韧带示意图

图2:踝关节前侧解剖

图3:踝关节外侧韧带解剖:①距腓前韧带;②跟腓韧带;③颈韧带;④骨间韧带;⑤下胫腓前韧带

图4:距腓前韧带的解剖位置的局部放大图,绿色部分为距腓前韧带

图5:踝关节内翻扭伤导致距腓前韧带损伤的机制
(二)距腓前韧带损伤都有哪些表现?
▶踝关节扭伤时外侧常有撕裂感;
▶伤后出现肿胀和疼痛,负重行走困难;
▶韧带区域压痛;
▶踝关节屈、伸及内、外翻活动受限;
▶前抽屉试验(+),关节前外侧可出现抽吸体征(医生检查)。
▶分为机械性不稳和功能性不稳;
▶机械性不稳:急性踝关节扭伤后,损伤韧带的瘢痕愈合会导致韧带的松弛,是造成踝关节机械性不稳的主要原因;
▶功能性不稳:是指本体感觉缺失,控制觉障碍;
▶本体感觉包括关节位置觉、运动觉和负重觉;
▶机械性不稳和功能性不稳相互影响;
▶踝关节外侧不稳往往是两者的混合,难以区分。
(四)踝关节外侧不稳的诊断
▶踝外侧疼痛;
▶踝关节僵硬;
▶运动加重疼痛;
▶踝关节不稳定感,容易再次扭伤;
▶前抽屉试验(+);
▶外翻试验(+);
▶影像学检查:应力位X光、核磁共振。

图6:前抽屉试验

图7:距腓前韧带断裂或松弛时,抽屉试验可见距骨前移(右图,红色箭头),踝关节间隙增宽(绿色箭头)
(五)非手术治疗是否有效?
▶慢性踝关节外侧不稳的非手术治疗依赖于重建机械稳定性,以及增强腓骨肌腱复合体的本体感受输入。
▶大多数作者认为弹力绷带的持久性较差, U形支具比弹力绷带更能维持踝关节的稳定性。
▶对于严重的Ⅱ度或Ⅲ度损伤时,学者们对于应该施行手术解剖性修复还是保守治疗仍存在一些争议。
▶目前认为,医生应根据患者活动水平以及功能要求来调整治疗方案,尤其是对年轻的患者和运动员,希望伤后康复更快,要求踝关节功能更佳,则应选择手术治疗。

图8:绷带式护踝

图9:U形踝关节支具
(六)踝关节外侧不稳的手术治疗原则
▶恢复踝关节的稳定性;
▶恢复踝关节的功能;
▶保留踝关节的灵活性;
▶延缓患者需要截骨、关节融合或关节置换的时间。
(七)手术指征
▶明确扭伤史,>6个月,经常崴脚;
▶踝外侧疼痛;
▶距腓前韧带区域压痛;
▶前抽屉试验(+);
▶核磁共振显示距腓前韧带异常。
图10:左图为正常距腓前韧带(箭头所示),右图为距腓前韧带断裂(箭头所示)
(八)手术方式都有哪些?
▶开放手术
① 踝外侧韧带修复术(Brostrom术、改良Brostrom术等);
② 踝外侧韧带重建术(Christman-Snook术、 Evans术等)
③ 韧带加强术(Internal Brace)。
▶关节镜下微创术
① 韧带修复术(Brostrom术);
② 韧带加强术。

图11:Brostrom修复术

图12:Brostrom-Gould修复术

图13:Christman-Snook重建术(利用腓骨短肌)

图14:改良Christman-Snook重建术

图15:Evans重建术(利用腓骨短肌)

图16:韧带加强术所有的线带和锚钉

图17:韧带加强术

图18:关节镜下距腓前韧带探查修复术
(九)如何选择手术方式?
根据术前核磁共振的评估和术中探查结果,确定手术方式。
▶损伤韧带的残端足够 →→ Brostrom术;
▶损伤韧带的残端不够 →→ 重建手术;
▶韧带瘢痕愈合、松弛 →→ 韧带加强术。
(十)术前核磁共振评估距腓前韧带的损伤程度
▶磁共振下韧带的损伤分型
正常韧带的宽度(1.0-3.2mm);
增厚(>3.2mm);
缺损(<1.0mm)。

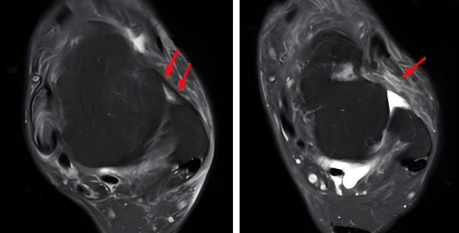
图19:左图为正常距腓前韧带(箭头所示),右图为距腓前韧带增厚(箭头所示)
(十一)各种术式的优缺点
▶开放手术无法定位关节内病变,预后时间更长,会造成本体感觉的恶化,依旧有15%的复发率。
▶关节镜技术关节内病变定位更明确,恢复快,不破坏本体感觉,复发率较低。
▶Brostrom术直接进行韧带缝合和锚钉固定,韧带修复后明显比自身韧带薄弱,无法恢复到受伤前的运动水平。此外,由于没有足够的强度,难以支持早期活动。
▶韧带加强术(Internal Brace)能够提供足够的强度,可进行早期负重行走,功能恢复满意。