平足是指患者站立负重时,足内侧弓塌陷为主要表现的常见足部畸形。国内文献报道平足的发生率为3.7%-8%,国外文献报道为2.7%-22%。调查群体的不同是导致发病率出现较大差异的主要原因。本文聚焦儿童及青少年平足症,介绍其治疗的核心理念。

图1:平足形成的示意图

图2:平足患者的足部外观
(一)足弓的发育
▶ 婴幼儿,也就是3岁之前,是没有足弓的。
▶ 之后,随着生长发育足弓逐渐形成,2~6岁为足弓快速发展的阶段,80%以上的5岁儿童足弓已成形。
▶ 如果7~8岁足弓没有形成,可能就不再发育,9岁以后足弓就不再有明显变化。所以,以7~8岁为界,如果有疼痛或严重畸形,经保守治疗无效,应手术治疗。
(二)平足的病理改变
▶ 足内侧纵弓扁平或消失。
▶ 足跟外翻
▶ 前足外展
根据平足的病理改变,治疗的策略是纠正塌陷的足弓、跟骨的外翻和前足的外展。
图4:观察足底显示平足患者的足纵弓塌陷。

图5:与正常足相比,平足患者的足跟出现外翻。

图6:平足患者的前足呈现外展。
(三)平足与平足症
平足是足部异常的一种体征,无论有无症状,均称为平足。平足症是指伴有足踝部疼痛为主要症状的平足。
▶ 大多数平足无症状,无需任何治疗。
▶ 少数畸形严重或症状明显者需要保守或手术治疗。
(四)平足症的分类
▶ 按病因分类:分为先天性平足和后天获得性平足;
▶ 按体征分类:分为柔软性平足和僵硬性平足;
▶ 按年龄分类:分为青少年型和成人获得型。
(五)柔软性与僵硬性平足
▶ 柔软性平足在儿童和青少年中常见,足弓仍保持一定的弹性,负重时足弓扁平,非负重时恢复正常。
▶ 僵硬性平足也会在儿童和青少年中出现,多为骨骼发育异常所致,手法难以矫正,比如跗骨联合、垂直距骨等。
▶ 随着年龄的增长,柔软性平足往往会发展为僵硬性平足,使治疗变得更为复杂。
▶ 柔软性平足治疗的目的是保留正常的关节活动、纠正畸形、解除疼痛。
(六)青少年平足症的非手术治疗
▶ 无论平足症处于何种阶段,首先考虑非手术治疗方法,建议在医生指导下进行功能锻炼、改变活动及生活方式、穿戴矫形鞋垫或支具。
▶ 足弓垫是最常用的矫形支具。
▶ 后跟杯的设计可限制并纠正足跟的外翻,使其维持在中立位。
▶ 其他矫形支具还包括定制型后跟稳定支具、亚利桑那系带式支具以及铰链型支具等。

图7:足弓垫的矫形原理,抬高足弓(黑色箭头),纠正足跟外翻(红色箭头)。

图8:足弓垫的矫形示意图

图9:平足患者使用足弓垫后的外观。

图10:足跟垫后部的设计(后跟杯)可纠正足跟的外翻。
(七)青少年平足症的手术治疗
▶ 包括软组织转移修复术、骨性手术和距下关节制动术。
▶ 距下关节制动术主要应用于青少年柔软性平足症。
▶ 当距下关节制动术矫正效果不满意时,可联合组织转移修复术和骨性手术,以达到满意的疗效。
(八)最佳手术时机
▶ 7~8岁之前足弓没有完全形成,7~8岁时可以手术。
▶ 10岁左右畸形较轻,是手术矫正的最佳年龄。
▶ 13岁以后常伴有其他畸形,需要多种手术的结合。
(九)手术适应证
▶ 非手术治疗无效,有症状的平足。
▶ 有症状的平足合并副舟骨畸形。
▶ 无症状,但有严重畸形。
▶ 由于平足引起的拇外翻。
(十)距下关节制动器的作用
① 纠正后足非生理性的外翻。
② 纠正距骨的内翻及跖曲。
③ 降低对内侧韧带及肌腱承受的应力。

图11:Hyprocure距下关节制动器

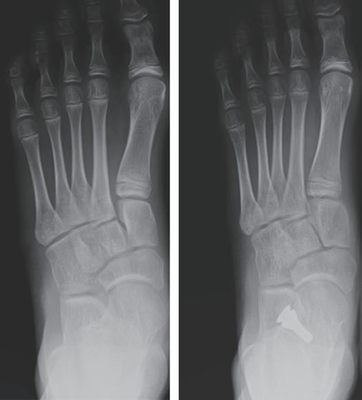
图12:Hyprocure距下关节制动器矫正青少年柔软性平足(正位X光片,右侧为术后)

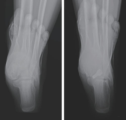
图13:侧位X光片,下方为术后。

图14:跟骨轴位X光片,右侧为术后,跟骨外翻已纠正。