足跟痛,又称为跟痛症,是由一系列疾病导致的足跟部疼痛症候群,对于青少年而言,跟后部疼痛多见。此部位疼痛是指跟腱在止点周围及其以近2cm范围内的疼痛。
本文聚焦青少年跟后部疼痛,介绍引起该症的3种足部疾病,包括跟骨骨骺炎、跟腱滑囊炎和跟腱炎。

图1:跟后部疼痛范围

图2:儿童跟后部疼痛常见部位及病因
(一)跟骨骨骺炎
也叫跟骨骨突炎、Sever病或Haglund病,一种生长发育期儿童易患的足跟疾患。由跟腱反复牵拉跟骨骨骺部分造成的足跟部疼痛,多见于8~14岁爱运动的青少年,单、双侧均可发病。

图3:跟骨骨骺炎
▶很多孩子过早单一专项运动、过长的训练时间、过量的训练强度易发此症。
▶ 患儿表现为足跟部后下方两侧压痛,活动时加剧,可伴有局部肿胀,出现足尖行走或跛行步态,通常根据临床症状可诊断此病。
▶X线检查可见跟骨骨骺密度不均匀性增高,骨骺形状不规则,或扁平,或碎裂。但正常儿童也可以出现类似的X线表现,确诊需得结合临床。

图4:跟骨骨骺炎的X线表现,右侧为正常侧,左足跟骨骨骺可见密度增高(箭头)

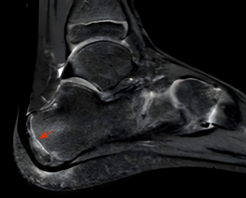
图5:核磁共振示骨骺密度最高(箭头)
▶治疗以制动、辅具治疗、理疗及运动疗法为主。
1.休息及减少活动;
2.跟腱牵伸,防止跟腱挛缩,加强踝关节周围肌肉力量训练,平衡功能及本体感觉训练;
3.红外线,蜡疗,超声波等理疗;
4.本病待骨骺闭合后可自愈,预后良好。

图6:跟腱牵拉锻炼,站于拉筋板上,身体直立,使跟腱受到牵拉。
图7:毛巾拉伸
(二)跟腱滑囊炎
跟腱滑囊有两个,其一位于跟腱与跟骨之间,称为跟腱前滑囊;另一个位于跟腱与皮肤之间,称为跟腱后滑囊。本文所指的滑囊炎为跟腱后滑囊,多见田径、球类运动员和年轻女性,青少年发病率较低。

图8:跟腱滑囊炎
▶对于青少年患者,该病目前不建议手术治疗和局部封闭治疗,应以局部理疗和药物治疗为主,预后效果好。
(三)跟腱炎
跟腱炎是由于跟腱反复受到剧烈拉伸产生劳损后引起的退行性病变,主要表现为跟后部疼痛、肿胀和僵化,活动后加重。
青少年跟腱炎发病率不高,多认为是运动过量引起的,也可能与劳损、外伤、感染等原因有关,应根据病因进行治疗。
▶跟腱炎分为止点性和非止点性跟腱炎,儿童以止点性跟腱炎多见。
▶治疗应先选择保守治疗,包括合理休息、辅具治疗、物理治疗和康复治疗。
▶合并拇外翻、平足或副舟骨的患儿,需前往足踝外科,根据症状进行综合治疗。

图9:跟腱炎