足跟痛,也称作跟痛症,是指引起足跟周围疼痛的疾病的总称,大多与足跟部的慢性劳损和退变密切联系。
足跟痛根据部位的不同分为足底、足跟后侧和足跟侧方,本文聚焦足底疼痛,介绍引起该症的4种足部疾病,包括足底腱膜炎、跟骨下脂肪垫炎、跟下滑囊炎和Baxter神经卡压。

图1:引起足跟痛的解剖简图

图2:足跟痛的常见部位及病因
(一)足底筋膜炎
足底筋膜炎也叫跖腱膜炎,是引起足跟痛最常见的原因,是足底筋膜长期承受应力刺激而引起的足底筋膜的慢性劳损。

图3:跖腱膜发生退变的部位
▶它是一种退行性改变,而非炎症。
▶晨起下床脚跟着地时,疼痛最为明显,活动后缓解,行走过度时疼痛加剧。
▶易发人群包括①高弓足和扁平足患者;②教师、警察、芭蕾舞演员等长期站立和行走的职业人群;③徒步、长跑、和爬山的运动人群;④肥胖人群。
▶足跟的内侧足底处压痛最常见。

图4:跖筋膜炎的痛点
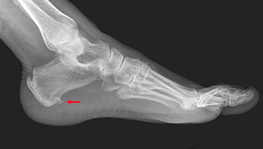
▶影像学检查可确诊,包括X光检查、超声和核磁共振。

图5:X光片示跟骨结节可见骨刺(红色箭头)

图6:核磁共振示跖腱膜在跟骨结节处可见明显增厚(红色箭头)
▶保守治疗对多数足底筋膜炎患者有效,当不能确定何种方法有效时,常需几种方法综合治疗,包括使用足跟缓冲垫、功能锻炼以及冲击波治疗等。

图7:足跟缓冲垫

图8:跟腱牵拉锻炼,站于拉筋板上,身体直立,使跟腱受到牵拉

图9:足底筋膜拉伸:毛巾拉伸
▶一些顽固疼痛的患者经过少应6个月的保守治疗后症状仍持续存在,应考虑手术治疗。

图10:采用关节镜微创技术清理病变组织和增生骨刺,术中定位病变部位

图11:术中X光示骨刺已清除
(二)跟骨下脂肪垫炎/萎缩
跟骨下脂肪垫位于皮肤与跟骨之间,其内由充满脂肪组织的多纤维隔结构组成,具有吸收应力,缓冲震荡的作用。但中老年后,脂肪垫内脂肪发生变性,弹性减退,使脂肪垫变薄,对跟骨结节的保护作用减弱,引起跟骨结节骨膜炎,引起疼痛。

图12:跟骨下脂肪垫的解剖3D图

图13:跟骨下脂肪垫炎/萎缩的病变部位及范围

图14:正常跟骨下脂肪垫(左)与脂肪垫炎/萎缩(右)的对比
▶该病目前不建议手术治疗,也不建议局部封闭治疗,应使用足跟缓冲垫或定制矫正鞋垫,辅以局部理疗、外用膏药、中医疗法等。
(三)跟下滑囊炎
多是由于增生的骨质对跟下滑囊长期慢性的压迫刺激,造成不同程度的炎症反应,刺激足部感觉神经末梢而引发疼痛。
▶好发年龄多在中老年人,女性多于男性,且多有外伤和慢性劳损史。
▶治疗同跟骨下脂肪垫炎。
(四)Baxter神经卡压
Baxter神经,称为足底外侧神经第一分支,也称为跟骨下神经。该神经卡压引起的足跟痛约占全部足跟痛的20%,但由于该病的确诊较为复杂,常常被漏诊和误诊。

图15:Baxter神经的解剖位置
▶Baxter神经卡压的临床症状与足底筋膜炎很相似。
▶Baxter神经支配小趾展肌,其被卡压后小趾展肌存在病变,但临床上很难检测到,核磁共振可以确诊。
▶疼痛多为炽热痛,延足底外侧放射。
▶多与足底筋膜炎并发。
▶确诊后首先选择保守治疗,包括冲击波理疗、皮质类固醇注射(局部封闭)和矫形器的联合治疗。
▶如果保守治疗无效,可手术治疗。

图16:Baxter神经卡压的解剖简图

图17:核磁共振显示小趾展肌萎缩伴脂肪化