足底疼痛根据部位的不同,分为前足痛、中足痛和足跟痛。本文聚焦前脚掌(前足跖侧,足趾除外),根据不同的疼痛部位,介绍六种足部疾病及治疗方法。

图1:前脚掌疼痛的常见部位

图2:根据部位的不同,引起前脚掌疼痛的六种足部疾病。
(一)拇囊炎
拇囊炎是造成足部疼痛常见原因之一,是指足部第一跖趾关节的关节囊出现炎症,表现出疼痛、发红及肿胀的症状群,是遗传及其他因素综合所导致,常合并第一跖趾关节炎。

图3:拇囊炎
▶穿紧身不合脚的鞋子,尤其是高跟鞋和尖头鞋,会增加拇囊炎的风险。女性的发病率是男性的10倍。
▶拇囊炎单独发生的几率并不高,是拇外翻患者最容易出现的症状,但并不是所有的拇外翻畸形都伴有该症状。
▶对于症状较轻的拇囊炎,保守治疗具有较好的效果,包括穿宽松舒适的鞋子、穿戴拇囊炎垫和局部物理治疗。
▶对于畸形较重的拇囊炎患者,需手术治疗。一般以矫正拇外翻畸形为首要目标,对畸形的骨性结构进行三维矫正,同时去除增生骨突以及炎性增生的滑膜,从根本上纠正畸形,去除拇囊炎的病因。

图4:拇囊炎垫
(二)与籽骨相关的疾病
拇趾籽骨多为两个,如豌豆大小,位于第1跖骨头的下方,是第1跖骨头和跖趾关节负重压力的缓冲垫。

图5:籽骨相关疾病的疼痛部位
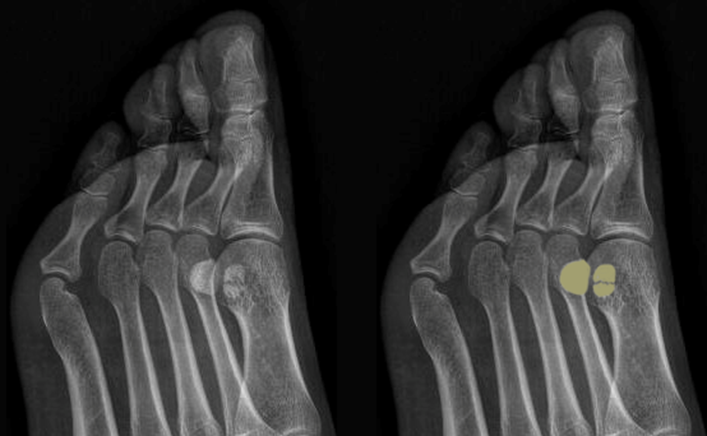
▶两部分拇趾籽骨:一个籽骨存在两个骨化中心,两者以软骨相连,发生率为15%,多发生在胫侧籽骨。外伤可导致软骨连接损伤,引起疼痛。
▶ 籽骨骨折:很少见,高处坠落或前足突然负重可致骨折。
▶核磁共振可以鉴别骨折和两部分籽骨。
▶治疗:确诊后先进行保守治疗,无效后可手术治疗,包括清创植骨,或部分籽骨切除。

图6:拇趾籽骨

图7:籽骨骨折
(三)转移性跖痛
引起跖痛症的原因很多,拇外翻引起的转移性跖痛最为常见。正常足部的负重点主要在第1、第5跖骨头以及跟骨,其他的部位受力较少。拇外翻会引起前足横弓的塌陷,最终造成第2或第3跖骨头降低,局部应力增加,导致转移性跖痛症。

图8:转移性跖痛的部位

图9:第2、3跖骨头局部应力增加,形成痛性胼胝(老茧)
▶保守治疗的方法包括使用跖痛垫和足横弓垫分散对疼痛部位的应力,缓解症状。
▶保守治疗能暂时缓解疼痛症状,根治跖痛症还需手术治疗。

图10:足横弓垫
▶手术治疗的方法是短缩并抬高跖骨,使之承受的应力降低,从而达到缓解疼痛的目的。

图11:跖痛症手术治疗的示意图
(四)Freiberg病
Freiberg病又称跖骨头无菌性坏死,是一种临床上相对少见的疾病,多发于第2跖骨头,会导致跖骨头扁平、塌陷,继而发生跖趾关节的退行性变。

图12:Freiberg病的疼痛部位
▶早期可进行保守治疗,包括减少活动量、使用足垫或行走支具减轻跖骨头应力等,目标不仅在于缓解症状,更重要的是逆转骨骺微结构的损伤。研究表明,早期如果保守治疗得当,患者可以长期没有症状。
▶依据疾病发展的不同阶段,手术治疗包括保留关节和不保留关节两类。

图13:Freiberg病患者第2跖骨头扁平、塌陷

图14:核磁共振示正常(上图)和病变的跖骨头(下图)

图15: Freiberg病保关节手术示意图

图16:跖趾关节置换术
(五)跖间神经瘤
跖间神经瘤又称Morton神经瘤,是足底的趾总神经受到刺激或压迫而引发的以疼痛为主要症状的疾病,该神经瘤并不是真正的肿瘤,而是神经外周产生的纤维增生。

图17:跖间神经瘤的疼痛部位
▶第3、4足趾间神经瘤的发病约占80%~95%,第2、3足趾间发病较少,约为15%~20%。
▶男女发病比例约在1:9,以中年女性居多,多数在40~60岁之间。
▶典型症状:感觉踩在一个鹅卵石上、或鞋里有小石子、或袜子有个褶皱。
▶保守治疗仅对早期的轻度病变有效,中、重度病变效果不佳。
▶手术治疗包括神经松解术(适于轻症患者)和神经瘤切除术。

图18: 跖间神经瘤发生的部位

图19:神经瘤切取后的外观
(六)小趾囊炎
小趾囊炎也称裁缝趾,与拇囊炎的形成机理类似。古时候,裁缝因长时间盘腿而坐缝衣服,足的外侧受到挤压,压力集中于第五跖骨头上,跖趾关节变形突起,形成胼胝,产生肿胀疼痛,故将这种病症称为裁缝趾。保守治疗可以缓解大多数患者的症状,保守治疗无效则需手术治疗。

图20: 裁缝趾形成的机理

图21: 小趾囊炎的病理改变

图22: 小趾囊炎护垫