鼠标手的几个知识点:鲜为人知,但很关键

陈超医生 发布于2024-06-02 23:55 阅读量3267

本文由陈超原创

鼠标手的规范名称为腕管综合征,是最常见的周围神经卡压性疾患,是正中神经在腕部的腕管内受卡压而引起手指麻木和功能障碍。本文介绍几个腕管综合征的重要知识点。


(一) 发病率

▶鼠标手的发病率为3%-10%,发病率逐渐增高且趋年轻化;

▶女性的发病率明显高于男性,男女比例约为1:9。

正中神经在腕管受到腕横韧带的压迫


(二)累及双手

▶60%-70%鼠标手患者累及双手;

▶余下的单侧鼠标手患者也有发展为双侧的趋势。


双侧鼠标手患者手部外观,双侧大鱼际肌均出现萎缩。


(三)神经病理性疼痛

鼠标手目前已归类为神经病理性疼痛,也就是说鼠标手是一种慢性疼痛;

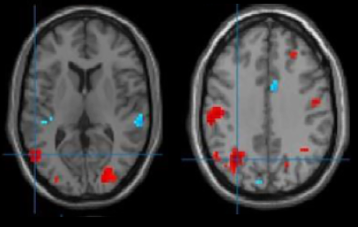
鼠标手是累及外周和中枢神经系统的疾病。

鼠标手的脑部功能核磁示脑部特定功能区出现可塑性变化


(四)手术治疗的效果如何?

手术治疗分为开放性小切口关节镜微创松解术

三种方法术后长期随访结果无差别;

▶三种方法术后短期随访结果有差异,关节镜微创松解术术后康复更快,使患者更早恢复日常工作和生活。


传统开放手术(左)与关节镜微创术(右)手术切口的恢复情况比较。


(五)对于双侧鼠标手,一侧手术治疗,另一侧也会缓解

  我们近2000例腕管综合征的临床研究证实,一侧手术可以缓解双侧;

  ▶初步研究证实,这一现象与大脑的可塑性改变密切相关。

相关疾病: