足底筋膜炎的典型症状是足跟疼痛,是由于足底筋膜长期承受应力刺激而引起的足底筋膜的慢性劳损。严格来讲,它是一种退行性改变,而非炎症。晨起下床脚跟着地时,疼痛最为明显,活动后缓解,行走过度时疼痛加剧。

(一)什么是足底筋膜?
也叫跖腱膜,起自跟骨结节的前内侧面,向远端扩展至5个足趾下形成束带,是一种厚韧的纤维腱膜。它的功能主要是维持足弓和保护足底组织。
人在步行时会反复牵拉跖腱膜,从而重复牵拉跟骨结节。当肥胖或足部力量减弱时,跖腱膜牵拉跟骨结节的力量增大,会使跖腱膜发生退变,引起疼痛。

跖腱膜的解剖结构

跖腱膜发生退变的部位
(二)什么原因导致足底筋膜炎?
▶足弓异常:比如患有扁平足 、高弓足。
▶长时间站立或行走的职业:教师、警察、芭蕾舞演员等。
▶特定的运动:如长跑、长时间行走和爬山等。
▶肥胖:体重超重会给足底筋膜带来较大的负荷。
(三)如何确诊足底筋膜炎?
▶足跟痛:足跟的内侧足底处压痛最常见;

足跟痛的痛点
▶激惹试验:患者可自检,一只手让足趾背屈,绷紧足底筋膜,用另一只手的拇、食指沿筋膜从足跟向足弓按压,会诱发疼痛;

激惹试验
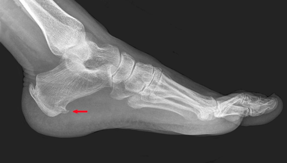
▶X光片:部分患者跟骨结节处有骨刺,骨刺的有无、大小与疼痛无直接的相关性;

跟骨结节可见骨刺(红色箭头)
▶核磁共振: 可清楚地显示跖腱膜增厚及周围组织的炎性改变。

跖腱膜在跟骨结节处可见明显增厚(红色箭头)
(四)足底筋膜炎的保守治疗都有哪些?效果如何?
保守治疗对多数患者有效,当不能确定何种方法有效时,常需几种方法综合治疗。
1. 穿软而厚底的鞋子,使用足跟减压垫或硅胶缓冲垫,能缓解症状。

足跟减压垫

足跟缓冲垫
2.夜间休息时,可佩戴足踝支具固定踝关节5°-10°背伸,以防止踝关节跖屈,减少足底筋膜的挛缩,缓解疼痛。

铰链式足踝支具
3.功能锻炼:临床研究证实,每天反复的跟腱、跖腱膜牵拉锻炼使83%的患者解除了疼痛。

跟腱牵拉锻炼,站于拉筋板上,身体直立,使跟腱受到牵拉。

前足站在台阶边缘,毛巾卷垫于前足下方,身体直立,牵拉跟腱和足底腱膜。

足底筋膜拉伸:毛巾拉伸

足底筋膜拉伸:滚动动态拉伸
4.冲击波治疗:在疼痛部位使用声波治疗,能缓解疼痛。临床研究证实有效,但机制不清。
5.封闭治疗:经药物治疗和理疗效果不佳者,可考虑封闭治疗,通常效果良好,但存在足底筋膜断裂和脂肪垫退变的风险。
(五)什么情况下需要手术治疗?
一些顽固疼痛的患者经过非手术治疗后症状仍持续存在,就应当考虑手术治疗。美国足踝协会(AOFAS)指出选择手术治疗之前至少应经过6个月到1年的保守治疗。
众多的研究证实,>95%的患者对手术效果满意,而术后的伤肢制动也使手术治疗获得更好的疗效。
手术治疗目前分为三种:
▶开放部分跖腱膜切断术
▶微创跖腱膜切断术
笔者的临床经验证实,关节镜下足底筋膜清理松解术创伤小,康复快,并发症发生率低,效果满意。足底筋膜炎的手术治疗将在单独的章节详细介绍。