拇外翻是足部常见的畸形,可伴随疼痛不适,严重者会影响患者的日常活动,也会影响足部的美观和日常鞋型的选择。1994年美国足踝外科医师学会 (ACFAS)建议,在外科治疗前应先行保守治疗以缓解症状,并防止拇外翻畸形的进展。对于保守治疗效果不佳者,包括较剧烈疼痛或功能障碍,可行手术治疗。
近年来,随着微创技术的发展,拇外翻的微创治疗达到了手术时间短、恢复较快、满意度较高的效果。在本文中,笔者聚焦拇外翻的微创治疗,简述关节镜手术、经皮截骨术和小切口截骨术等微创技术的应用效果,旨在提高大众对拇外翻微创治疗的认识。
(一)微创手术分为哪几种?各自的优缺点是什么?
根据手术入路分为关节镜手术、经皮截骨术和小切口截骨术3类。
1.关节镜拇外翻微创矫形术的原理与传统的开放手术基本相似,主要是通过螺钉和骨间缝合固定进行矫正, 而不是采用第一跖骨截骨进行矫正。依托关节镜松解外侧组织、重建内侧副韧带和融合跖楔关节。
▶优点:在直视下畸形矫正更加彻底,术后骨连接不良风险较低。
▶缺点:关节镜下治疗拇外翻并不是常规术式,对手术操作技术要求高,学习曲线长,手术耗时长。

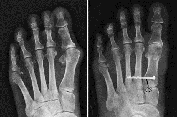
关节镜拇外翻微创矫形术

左图为拇外翻术前X片,右图为矫形术后X光片。
2.经皮截骨术是在术中X线透视下通过1~3mm小手术切口,使用骨钻进行截骨矫形。
▶优点:手术时间相对短。
▶缺点:非直视下截骨容易造成软组织损伤,截骨位置缺乏准确性,对术者的操作要求较高。

A图为第三代拇外翻微创技术专用器械;B图示采用铣钻经皮微创截骨。

C图为微创技术专用器械应用示意图;D图示拇外翻矫形后示意图。
3.小切口截骨术是通过1~2cm小切口在直视下使用往复锯进行截骨,无需 X线透视,术后使用克氏针内固定。20世纪80年代,温建民将小切口截骨术引入中国,结合中医手法微创治疗拇外翻。
▶优点:手术时间短,对软组织的破坏较小。
▶缺点:对术者的操作要求较高。

红色线为小切口截骨术的手术切口
(二)所有的拇外翻都适合微创治疗吗?
微创手术是拇外翻外科治疗的一个发展方向,但在手术适应证和具体手术方式方面尚无统一意见。因微创截骨术对畸形的矫正能力有限,因此更适用于轻、中度拇外翻患者(HVA<40°,IMA<20°)。
(三)目前哪一种微创技术更成熟?
部分医生认为,小切口截骨因在直视下操作,对周围软组织的损伤小,且手术时间短,手术者及患者无需X线暴露,术后并发症较少,操作相对简单,目前而言更适用于临床应用。
近期,由上海六院国家骨科医学中心牵头制定“拇外翻微创治疗”国际临床指南,并发表于骨科权威杂志《Journal of Orthopaedic Translation》。认为第三代微创拇外翻手术的技术核心是通过微创截骨内固定以获得良好手术效果,在临床上正逐渐推广。然而,该技术要求手术医生对相关解剖结构有深刻理解,在熟练掌握开放手术技术的基础上,经专业培训、持续练习和总结,才能熟练运用该技术。为此,该临床指南旨在针对第三代微创手术治疗拇外翻提出标准化建议,以最大限度减少并发症,提高手术成功率。

第三代拇外翻微创技术临床应用指南